概述
兒童腦室周圍白質軟化症(Periventricular Leukoˉmalacia,PVL)是缺血缺氧性腦病的一種後期改變,並且是造成早產兒腦癱(主要是痙攣性下肢癱或四肢癱)的主要原因,PVL是一種繼發性腦白質病,見於早產兒及產後窒息的存活兒童,由於缺血缺氧性腦實質損傷,引起腦室周圍白質軟化,導致雙側痙攣性偏癱、四肢癱、智慧型低下。現在一般認為PVL與缺血、缺氧及感染有關,PVL主要損傷軸索與少突膠質細胞,但發病機制目前尚未清楚。PVL好發於早產兒,其原因可能與不同發育階段腦部不同的損傷機制有關,妊娠早、中期腦部異常多為發育畸形,而晚期(後3個月)多為腦血管性改變。腦室周圍血供分別來源於腦室區和遠腦室區的終動脈,未成熟兒終動脈深支的側支循環尚未建立,妊娠晚期開始階段該部對缺血缺氧敏感,皮質僅在病變範圍很廣泛時才受累,故PVL多見於早產兒。妊娠晚期到結束,側支循環已建立,敏感區改為皮質及皮層下白質和基底節區,足月兒的缺血、缺氧性腦損傷多見於上述部位。
臨床診斷
PVL可導致腦癱(主要是痙攣性雙下肢癱、四肢癱)、智慧型落後、抽搐,以及各種眼的異常,如眼震、斜視、視力降低等,其臨床症狀與CT、MRI改變密切相關。其典型CT表現為:側腦室體部與三角部擴大,外形不規則;三角部及體部周圍腦白質明顯減少,重者半卵圓中心的白質也明顯減少;腦溝、裂加寬加深,皮層下灰質直接逼近腦室壁,其間幾無白質成分。MRI比CT敏感,主要表現為:腦室周圍白質T2WI高信號;側腦室體部與三角部擴大,外形不規則;三角部及體部周圍腦白質明顯減少,重者半卵圓中心的白質也明顯減少;腦溝、裂加寬加深,皮層下灰質直接逼近腦室壁,其間幾無白質成分。
超聲診斷
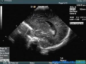
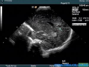
腦白質軟化早期超聲可見腦室周邊白質回聲增強,邊界不清,沒有占位效應,如果沒有這方面的意識,此時容易漏診,因此在顱腦超聲檢查時,能夠顯示各個腦室的切面均需觀察其附近腦白質回聲是否均質,有無回聲增強,隨著時間推移,其內可見液性囊區,比較容易被超聲發現!新生兒缺血缺氧性腦病、顱腦損傷為常見病因。
一般這種患兒多在新生兒期檢出,有顱內感染、宮內感染或者產傷的病史,顱腦超聲檢查時需注意腦白質回聲是否均質,早期病變與周圍正常組織對比度不是很明顯,易漏診!
兒童腦室周圍白質軟化症
兒童腦室周圍白質軟化症