兒童松果體區腫瘤松果體區腫瘤(tumor of pineal region)在兒童期的發病率較成人高2倍以上。腫瘤可致腦積水及顱高壓使鄰近結構受壓導致雙眼不能上視、耳鳴、聽力減退和造成內分泌紊亂,性功能減退肥胖、嗜睡等。不同的腫瘤類型發病年齡可略有差異生殖細胞瘤的發病高峰年齡為12~14歲畸胎瘤的發病高峰為7~8歲而此部位的膠質瘤的發病高峰為13~15歲。松果體區腫瘤男性占絕對多數,本組男性占79.8%松果體區腫瘤兒童與成人在病理性質上有所不同,兒童以生殖細胞瘤和畸胎瘤多見,而成人以神經膠質瘤和腦膜瘤多見。本組來源於胚生殖細胞的腫瘤占69.4%,其中生殖細胞瘤占36%,畸胎瘤占26%。來自於膠質細胞的腫瘤占20%而來自於松果體實質細胞的腫瘤為8%。
流行病學
Hoffman報導該類腫瘤占兒童顱內腫瘤的5.2%,本組連續統計手術證實的松果體區腫瘤111例,占同期兒童顱內腫瘤的5.6%。發病年齡以學齡期比較常見。
病因
兒童松果體區腫瘤錯構瘤實際上並非真正的腫瘤,而是先天性腦組織發育異常Diebler等認為本病是發生於妊娠第5~6周的一種神經管閉合不全綜合徵,由正常腦組織形成的異位腫塊,組成此種畸形的神經細胞類似於灰結節中的神經組織神經上皮組織腫瘤有兩類。一類由神經系統的間質細胞(即膠質細胞)形成,稱為膠質瘤;另一類由神經系統的實質細胞(即神經元)形成,沒有概括名稱。由於從病原學和形態學上,現在還不能將這兩類腫瘤完全區別而膠質瘤常見的多所以將神經元腫瘤包括在膠質瘤中。神經上皮起源的腫瘤是最常見的顱內腫瘤,約占顱內腫瘤總數的44%
發病機制
除畸胎瘤有完整包膜,為局限性非侵襲性生長,其餘腫瘤大多呈侵襲性生長,並可沿腦脊液發生播散性種植或遠處轉移如骨、肝及淋巴結等。主要有以下三大類:
1.腫瘤阻塞 三腦室出口引起梗阻性腦積水及顱高壓。
2.鄰近結構受壓症 如壓迫中腦四疊體上丘導致雙眼不能上視,下丘腦內側、膝狀體受壓,可有耳鳴、聽力減退
3.內分泌紊亂 松果體區腫瘤可分泌褪黑激素,影響垂體分泌促性腺激素,可表現為發育遲緩,性功能減退、肥胖、嗜睡等。
臨床表現
兒童松果體區腫瘤1.顱內壓增高(95.5%) 腫瘤突向三腦室後部或向前下發展使導水管狹窄及閉鎖,可早期引起梗阻性腦積水致使顱內壓增高。
2.臨近腦受壓症狀 腫瘤壓迫四疊體上丘可出現雙眼上視困難(Parinaud綜合徵)、瞳孔散大或不等大,光反射消失(占61.4%);腫瘤生長壓迫下丘及內側膝狀體可出現耳鳴或聽力下降;腫瘤向下發展壓迫小腦上腳或上蚓部可出現軀幹性共濟失調及眼球震顫;腫瘤直接侵犯或沿腦室播散轉移至丘腦下部可導致尿崩、嗜睡等下丘腦受損症狀。
3.內分泌症狀 腫瘤壓迫正常的松果體細胞使褪黑激素分泌減少,去除了褪黑激素對性腺激素分泌的抑制,可導致性早熟(占17.1%),如圖1所示也有少數表現為性徵發育停滯。
4.其他症狀 部分患兒可出現癲癇發作雙側錐體束受壓的症狀。
5.椎管內轉移 生殖細胞瘤可因腫瘤細胞脫落髮生椎管內轉移,出現脊髓受損的表現
併發症:
可致腦積水,共濟失調可導致尿崩,性早熟性徵發育停滯,癲癇等
診斷
患兒有顱內壓增高及雙眼上視困難時,應考慮三腦室後部腫瘤的可能性如男童伴有性早熟者應考慮此區的畸胎瘤
鑑別診斷:
與其他病因引起的腦積水,共濟失調等疾病相鑑別,輔助檢查MRI檢查和腦脊液細胞學檢查,有助鑑別診斷。
檢查
兒童松果體區腫瘤實驗室檢查:
腦脊液中脫落腫瘤細胞學的檢查對診斷有幫助;血清和腦脊液中腫瘤標記物絨毛膜促性腺激素(HCG)、甲胎蛋白(AFP)和癌胚抗原(CEA)含量增高有助於診斷還可作為療效評價和復發監測的指標。
其它輔助檢查:
1.頭顱X線平片 除顱內壓增高的徵象外,生殖細胞瘤可見病理性鈣化斑。
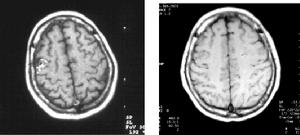
2.CT 松果體細胞瘤多呈邊界清楚的類圓形病灶,等或等高混雜密度有散在的鈣化,發生室管膜下轉移時可見腦室周圍帶狀略高密度的病灶。生殖細胞瘤邊界不規則,有時呈蝴蝶狀,多有彈丸狀鈣化,有的可見側腦室內播散,可以此確診,如圖2所示。畸胎瘤含有脂肪、骨骼及牙齒故多呈混雜密度,有低於腦脊液密度的脂肪密度區和接近骨質密度的高密度區。MRI:對腫瘤的周圍結構顯示較好,有信號不均及強化明顯的特徵(圖3)。
相關檢查:甲胎蛋白 癌胚抗原 絨毛膜促性腺激素 腦脊液
治療
兒童松果體區腫瘤一般主張先手術切除腫瘤,目的為明確腫瘤性質,減小腫瘤體積為放療創造條件。生殖細胞瘤是顱內腫瘤中對放療最敏感的腫瘤。對高度懷疑生殖細胞瘤,但不具備手術切除條件的患兒可在做腦室腹腔分流術後,行放射治療傳統的放療方案是全神經軸放射治療,包括:腫瘤灶50~55Gy,全腦和脊髓30~36Gy以防止播散轉移,此方案效果良好能將患兒10年期生存率提高到85%~100%。目前研究多是用聯合化療來減少放療的範圍和劑量,以防止放療造成的兒童生長發育停滯的副反應現已取得普遍認同的方法是:首先根據腫瘤CTMRI影像學特點結合血液腦脊液中腫瘤標記物(AFP,β-HCG)含量測定及腦脊液中腫瘤細胞學檢查結果,對腫瘤性質做初步判定,必要時可做立體定向活檢常用的化療藥物(如卡鉑、長春新鹼、環磷醯胺等)可用作試驗性化療,在化療過程中對影像學及腫瘤標記物複查以評價腫瘤對化療的敏感性如果化療反應敏感則在化療療程結束後做減量放療,有人只減少放療劑量(瘤灶30Gy;脊髓軸21Gy)而不減少照射範圍近來有人在化療後對腫瘤做局部小範圍、低劑量(24Gy)的放射治療也取得良好效果。而對於松果體區生殖細胞瘤以外的生殖細胞腫瘤,除成熟畸胎瘤預後較好外(手術切除後10年期PFS為92.9%),其他類型均表現顯著侵蝕性雖然對放、化療也有一定效果,但3年期整體生存率僅為27.3%。
預後預防
預後:
視腫瘤性質大小、侵犯部位有否轉移及治療是否徹底而定大的高度惡性的、或有下丘腦浸潤或轉移的腫瘤,預後極差生存期不到1年其餘預後相對較好,有報導3年存活率達61%。
預防:
參照一般腫瘤的預防方法了解腫瘤的危險因素,制定相應的防治策略可降低腫瘤的危險。預防腫瘤的發生有2個基本線索,即使腫瘤在體內已經開始形成,它們也可幫助機體提高抵抗力,這些策略如下所述:
1.避免有害物質侵襲(促癌因素) 就是能夠幫助我們避免或儘可能少接觸有害物質。
腫瘤發生的一些相關因素在發病前進行預防。很多癌症在它們形成以前是能夠預防的。1988年美國的一份報告詳細比較了國際上惡性腫瘤相關情況,提出許多已知的惡性腫瘤其外部因素原則上是可以預防的即大約80%的惡性腫瘤是可以通過簡單的生活方式改變而預防。繼續追溯1969年Higginson醫生所作的研究總結出90%的惡性腫瘤是由環境因素造成的。“環境因素”、“生活方式”即是指我們呼吸的空氣喝的水、選擇製作的食品活動的習慣和社會關係等。
2.提高機體抵禦腫瘤的免疫力 能夠幫助提高和加強機體免疫系統與腫瘤鬥爭
我們目前所面臨的腫瘤防治工作重點應首先關注和改善那些與我們生活密切相關的因素,例如戒菸、合理飲食、有規律鍛鍊和減少體重。任何人只要遵守這些簡單、合理的生活方式常識就能減少患癌的機會。
提高免疫系統功能最重要的是:飲食、鍛鍊和控制煩惱,健康的生活方式選擇可幫助我們遠離癌症。保持良好的情緒狀態和適宜的體育鍛鍊可以使身體的免疫系統處於最佳狀態,對預防腫瘤和預防其他疾病的發生同樣有好處。另外有研究顯示適當活動不僅增強人體免疫系統,而且通過增加人體腸道系統蠕動而降低結腸癌的發病率。在這裡我們主要認識飲食在預防腫瘤發生方面的一些問題。
人類流行病學和動物實驗研究顯示維生素A對降低患癌的危險性起著重要的作用維生素A支持正常的黏膜和視覺,它直接或間接參與身體大多數組織功能維生素A存在於動物組織中如肝臟、全蛋和全牛奶,植物中是以β-胡蘿蔔素和類胡蘿蔔素形式存在,在人體內能轉化為維生素A。維生素A的過度攝入可以造成機體的不良反應而β-胡蘿蔔素和類胡蘿蔔素則無此現象,血中低維生素A含量增加患惡性腫瘤的危險性研究表明那些血中低水平維生素A攝入的人增加患肺癌的可能,而對於吸菸者血中低水平的維生素A攝入者有加倍患肺癌的可能維生素A及其混合物可以幫助清除體內的自由基(自由基可以引起遺傳物質的損害),其次能夠刺激免疫系統和幫助體內分化細胞,發展成有序的組織(而腫瘤的特徵是無序的)。一些理論認為維生素A能夠幫助早期受到致癌物質侵襲發生變異的細胞逆轉過來而成為正常生長的細胞。
另外有一些研究建議單純補充β-胡蘿蔔素藥物並不能降低患癌症的風險,相反使肺癌的發病略有增加,然而,當β-胡蘿蔔素結合維生素C、E和其他抗毒素物質它的保護作用就顯示出來了。其原因是當它自己消耗時也可增加體內的自由基,另外不同的維生素之間存在互動作用,人和鼠的研究均顯示套用β-胡蘿蔔素可以降低體內40%的維生素E水平,比較安全的策略是吃不同的食物保持維生素的平衡來抵禦癌症的侵襲,因為有些保護因素至今我們還未發現。
維生素C、E是另外一種抗腫瘤物質,它們能夠預防食物中致癌物質如亞硝胺的危害,維生素C能保護精子不受基因學破壞而降低其後代患白血病、腎癌和腦瘤的危險。維生素E能降低皮膚癌的危險,維生素E與維生素C一樣具有抗腫瘤作用,它是抗毒素和清除自由基的清道夫。維生素A、C、E的聯合套用產生的保護機體抵抗毒素的作用要比單獨套用為好。
目前有關植物化學的研究引起人們的普遍重視,植物化學就是在植物中發現的化學物質,包括在植物中發現的維生素和其他物質。已經發現幾千種植物中的化學成分,其中許多具有抗癌作用。這些化學物質的保護機制不但降低致癌物質的活性而且增強機體免疫力抵禦致癌物質的侵襲。大多數植物提供的抗氧化劑活性超過了單純維生素AC、E的保護作用,例如一杯甘藍只包含了50mg的維生素C和13U的維生素E,但它的抗氧化劑活性相當於800mg的維生素C和1100U的維生素E的抗氧化活性可以推斷水果和蔬菜中的抗氧化劑效果遠比我們所知道的維生素的效果要強。無疑天然的植物產品將有助於今後的防癌工作。
