先天性肺動脈狹窄病因病理
肺動脈狹窄作為單發畸形為常見先天性心臟病之一,約占先天性心臟病的10%~20%,其中以瓣膜狹窄最為常見,約占70%~80%。
肺動脈狹窄的基本血液動力學變化是右心排血受阻,右心室收縮壓升高,導致右心室肥厚。
臨床表現
隨狹窄的程度而不同。常見的症狀為易疲乏,勞累後心悸及氣急。體格檢查於胸骨左緣第二肋間聞及響亮、粗糙的收縮期雜音,伴有震顫,肺動脈瓣區第二音正常或減低,且可聽到肺動脈區噴射音。心臟雜音於出生時即存在,為臨床特徵性的表現。
影像學表現
1.典型X線表現:
(1)心臟呈“二尖瓣”型,輕度增大,主要為右室增大。
(2)肺動脈段凸出,多為中至高度凸出,呈直立狀.其上緣可接近主動脈弓水平。
(3)肺血減少,肺血管紋理纖細、稀疏,與肺動脈段明顯凸出形成鮮明對比,兩肺門動脈陰影不對稱(左側>右側),在診斷上頗具特徵。
2.超聲心動圖:有助於確定診斷。
3.磁共振成像:
可在任意方向層面成像,顯示主、肺動脈、瓣口及右室流出道,對於觀察狹窄部位、範圍及程度很有幫助。
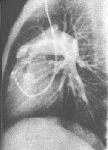
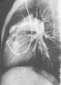
4.心血管造影:
以右室造影為宜,取正、側位投照。注入造影劑早期,心室收縮,可以觀察到含有造影劑的血柱自狹窄口射出,稱為“噴射征”,藉此可測量瓣口狹窄程度。
鑑別診斷
需與法魯氏四聯症鑑別。

