法魯氏四聯症病因病理
法魯四聯症包括:肺動脈瓣或右室漏斗部狹窄、室間隔缺損、主動脈騎跨和右心室肥厚,是幼兒和兒童期最常見的紫紺性先天性心臟病。
臨床表現
患者發育較遲緩,一般有不同程度的紫紺出現,常在出生後即有或不久後出現。動脈血氧飽和度自65-97%。在胸骨左緣2-4肋間有震顫及收縮期雜音。
影像學表現
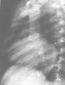
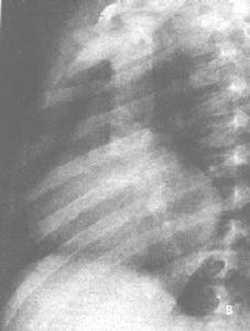
1.典型X線徵象;
(1)肺血減少,肺內血管紋理稀疏、纖細,肺門陰影小、搏動弱。
(2)心影呈“靴型”,心腰凹陷,心尖上翹,右心室增大。
(3)重症四聯症的X線特點:
①肺血減少明顯,有側支循環形成的表現。
②心臟呈中度至高度增大。
③主動脈擴張明顯。
2.超聲心動圖:
可進一步顯示室間隔缺損、肺動脈狹窄、主動脈右移的病理改變,有助於確立診斷。
3.心血管造影:
主要為選擇性右室造影並輔以左室造影。右室造影在右室、肺動脈充盈時.左室和主動脈提早顯影,反映心室水平右向左的分流和主動脈騎跨。右室造影直接顯示肺動脈狹窄的部位、類型和程度及肺內動脈分支的情況,為本病診斷提供據。
鑑別診斷
需與法魯氏三聯症鑑別。

