發病機理
乾酪性肺炎(cascouspneumonia)為小兒繼發性肺結核中最嚴重的病型之一。在小兒抵抗力非常低下,對結核菌的過敏反應十分增強的情況下,帶有大量結核菌的乾酪樣物質進入肺組織即可造成乾酪性肺炎。最多見為支氣管淋巴結乾酪樣物質破潰入支氣管引起;有時可能為原發灶液化崩潰進一步擴散而成;肺內新鮮的血行播散性結核病變可迅速融合溶解變成小葉性乾酪性肺炎;此外在續發性肺結核浸潤性病變可呈現大量乾酪樣壞死變成乾酪性肺炎,但較少見。
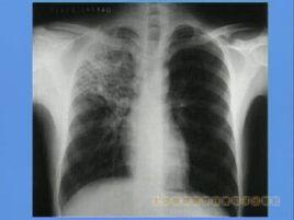
臨床表現
大葉性乾酪性肺炎多見於嬰幼兒,小葉性者則多見於較大兒童。前者起病多較急,有高熱和嚴重中毒症狀,後者可較緩,有長期低熱和慢性中毒症狀。多有咳嗽、吐痰甚至咯血。肺部可聽到支氣管呼吸音或管狀呼吸音,及大量響亮中、小水泡音。X線攝片在大葉性乾酪性肺炎可見大片濃密陰影,內有透亮區;在小葉性乾酪性肺炎可見兩肺散在密度不均之團塊狀陰影,內有蜂窩狀透亮區或大小不等之無壁空洞。血象可見:中性多形核粒細胞高度增多及核左移現象,血沉加速,痰及胃液中可找到大量結核桿菌。鑑別診斷應與大葉性肺炎、支氣管肺炎或肺膿腫相鑑別。本型病程嚴重,預後不佳。但如能及時積極進行抗結核藥物治療,多數病例可吸收好轉,後廣泛鈣化而治癒;部分患兒可轉變為慢性纖維空洞型肺結核;少數就診過晚可很快死亡,此即所謂"奔馬癆",多見於青春期少女。

