基本內容
主動脈肺動脈窗
主動脈肺動脈窗是位於主動脈升部與主動脈胸部之間的一個身體部位,包括動脈韌帶、動脈韌帶淋巴結。CT圖像是低密度空隙。
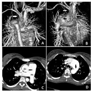
主動脈肺動脈窗-肺動脈窗是半月瓣以上升主動脈和肺動脈之間的異常交通,是一種罕見的先天性...留有殘缺,形成此病。主-肺動脈窗多位於升主動脈左後外壁或其後壁,與相鄰...與肺動脈相續。術中須避免造成右肺動脈或升主動脈狹窄。(3)主-肺動脈窗合併...
主-肺動脈隔缺損或稱主-肺動脈窗,是一種較少見的先天性大血管畸形,據Stansel1977年統計,文獻中已報導的手術病例尚不足百例。缺損或視窗位於升主動...
介紹 治療措施後前位,主動脈擴張或延長時,升主動脈和降主動脈向兩側分離,升主動脈外緣可越過心右緣下段,升主動脈與右心房的分界點下移,心更傾向於橫位,降主動脈位於肺動脈...
簡介 改變;在主動脈與肺動脈、右室或右房之間者,雜音多呈連續性。③胸部 X射線檢查...分支擴大,搏動增強,主動脈結較小;伴重度肺高壓者,肺動脈乾及兩側肺動脈擴大...。房間隔缺損、室間隔缺損、肺動脈瓣狹窄、動脈導管未閉、法洛氏四聯症及心內膜...
簡介 病因 分類 診斷 預後先天性動脈導管未閉動脈導管原本系胎兒時期肺動脈與主動脈間的正常血流通道...導管從第六主動脈鰓弓背部發育而來,構成胎兒血循環主動脈肺動脈間的生理性通...右心室排出的靜脈血大都不能進入肺內循環進行氧合。由於肺動脈壓力高於主動脈...
病因 症狀體徵 檢查化驗 鑑別診斷 治療的主動脈狹窄、左心發育不全綜合徵及肺動脈閉鎖,嚴重的肺動脈狹窄或者作為...,構成主動脈和肺動脈間不應有的通道,即稱動脈導管未閉(PDA)。 (二...“肺門舞蹈”,左室增大。胸片示肺充血征;肺動脈段突出,主動脈結寬,左房和...
概述 病因 臨床表現及如何診斷 應做檢查 治療粗大、向肺動脈端逐漸變窄,③窗型:肺動脈與主動脈緊貼,兩者之間為一孔道...的壓差有關。由於主動脈在收縮期和舒張期的壓力均超過肺動脈因而通過未閉動脈...其他心臟極性,如主動脈縮窄,室間隔缺損,肺動脈狹窄。診斷檢查動脈導管未閉1...
發病原因 疾病概述 症狀體徵 病理生理 診斷檢查、主動脈和肺動脈等的情況得出全面的印象,並可觀察胸部有無其他異常改變,從而作出...動脈、主動脈弓上緣與脊椎前緣構成;弓下有主動脈窗,其中包括有氣管分叉、左主支氣管和左肺動脈。主動脈降部見於心影后方,部分與脊椎重疊。 記波攝影...
內容 配圖 所屬分類