《鞍區的顯微解剖與手術》本書文字簡練,內容新穎,配有插圖5OO余幅,供對照參考。它是神經外科醫師、進修醫師和研究生的良好工具書和參考書。也可供神經內科醫師、耳鼻咽喉科醫師、解剖學教師及大專院校醫學生參考。
書籍信息
作者:王守森,章翔主編
出版社:人民軍醫出版社
出版時間:2005-5-1
字數:668000
版次:1
頁數:475
紙張:膠版紙
ISBN:9787801945129
包裝:精裝
由南京軍區福州總醫院神經外科王守森副教授、第四軍醫大學西京醫院神經外科章翔教授主編的《鞍區的顯微解剖與手術》,已由人民軍醫出版社出版,在全國發行。
內容介紹
鞍區病變目錄資料
第1章鞍區解剖和手術研究的發展史
第2章鞍區結構的顯微解剖
第一節蝶鞍
第二節蝶竇
第三節篩小房
第四節鞍區的腦膜結構
第五節視神經、視交叉及視束
第六節視神經管
第七節前床突及床突間隙
第八節海綿竇
第九節下丘腦
第十節垂體
第十一節大腦動脈環
第十二節頸內動脈
第十三節動眼神經及動眼神經鞘
第十四節Liliequist膜
第3章鞍區相關的蛛網膜下池
第一節嗅池
第二節外側裂池
第三節頸動脈池
第四節視交叉池
第五節終板池
第六節環池前部
第七節腳池
第八節後交通動脈池
第4章鞍區的手術間隙
第一節視交叉前間隙
第二節視神經/交叉一頸內動脈間隙
第三節頸內動脈外側間隙
第四節經終板入路
第五節頸內動脈分叉上間隙
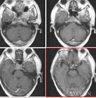
第5章鞍區的醫學影像解剖
第一節鞍區的X線平片
第二節鞍區CT和MRI的影像斷層解剖
第三節鞍區DSA
第四節多層螺鏇CT與PET—CT在鞍區腫瘤中的套用
第6章鞍區病變的症候學
第一節神經眼科症候
第二節鞍區病變常見的綜合徵
第7章鞍區手術入路
第一節經蝶人路
第二節經篩小房一蝶竇人路
第三節額下入路
第四節翼點人路
第五節顱底人路
第六節鞍區“鎖孔”顯微手術概論
第七節鎖孔人路的臨床套用
第8章鞍區腫瘤的治療原則及圍手術期處理
第一節鞍區腫瘤的手術原則與手術人路選擇
第二節鞍區腫瘤的術前評估
第三節垂體腺瘤的分類、分級和藥物治療
第四節顱咽管瘤治療方法的選擇
第五節神經導航在鞍區手術中的套用
第六節鞍區術後併發症防治措施
第七節鞍區手術合併急性上消化道黏膜病變的治療
第八節鞍區手術合併下呼吸道感染的治療
第九節鞍區腫瘤的圍手術期護理技術
第9章垂體腺瘤的外科治療
第一節垂體腺瘤術中的解剖學觀察
第二節經蝶竇入路垂體腺瘤切除術
第三節經翼點入路垂體腺瘤切除術
第四節額下人路垂體腺瘤切除術
第五節巨大垂體腺瘤的外科治療
第六節神經內鏡輔助下垂體腺瘤切除術
第七節垂體卒中的外科治療
第八節多發性垂體腺瘤的診斷與治療
第九節復發性垂體腺瘤的處理
第10章顱咽管瘤的外科治療
第一節顱咽管瘤的手術人路選擇及手術技術
第二節經鼻蝶人路顱咽管瘤切除術
第三節經胼胝體人路切除顱咽管瘤
第四節神經內鏡在囊性顱咽管瘤治療中的套用
第五節顱咽管瘤的立體定向間質放療
第11章鞍區腦膜瘤的外科治療
第一節鞍結節腦膜瘤
第二節鞍膈腦膜瘤
第三節蝶骨嵴內側型腦膜瘤
第12章海綿竇區腫瘤切除術
第13章鞍區其他腫瘤的手術治療
第一節視神經膠質瘤
第二節鞍區生殖細胞瘤
第三節上斜坡腫瘤
第14章鞍區腫瘤的立體定向放射外科治療
第一節垂體腺瘤的放射外科治療
第二節顱咽管瘤的放射外科治療
第三節海綿竇腦膜瘤的放射外科治療
第15章鞍區動脈瘤的手術治療
第一節前交通動脈動脈瘤
第二節後交通動脈動脈瘤
第三節脈絡膜前動脈動脈瘤
第四節眼動脈動脈瘤
第五節頸內動脈分叉動脈瘤
第六節頸內動脈海綿竇段動脈瘤
第16章鞍區囊性病變的外科治療
第一節Rathke囊腫
第二節鞍區蛛網膜囊腫
第三節神經內鏡鞍上蛛網膜囊腫切除術
第17章創傷性視神經損傷與視神經管減壓開放術
第18章原發性空蝶鞍的外科治療
常見鞍區病變
鞍區病變病理:由原始的生殖細胞衍生而來,好發於松果體區,其次為鞍上池。腫瘤多發生於男性青少年。生殖細胞瘤對放射線非常敏感。
該瘤通常無包膜、無鈣化、出血、壞死或囊性變,屬低度惡性腫瘤,多呈浸潤性生長,常有不同程度和形式的轉移,易向蛛網膜下腔及腦室系統種植、播散。可以多發。
臨床表現:臨床表現是內分泌紊亂,表現為上視障礙和性早熟,同時可伴有下丘腦功能障礙,如尿崩、煩渴、嗜睡及肥胖。其他症狀與腫瘤部位有關,松果體區腫瘤可阻塞中腦導水管,造成顱內高壓。鞍區腫瘤則首先表現出視力障礙,然後出現頭痛、嘔吐、多飲多尿及垂體功能低下。
CT表現:
①腫瘤最常見於松果體區,位於鞍上區腫塊常累及漏斗。
②CT平掃多呈等密度或稍高密度腫塊,無出血、壞死及囊性變,可分葉,但境界清楚;瘤體本身鈣化少見,典型松果體區生殖細胞瘤常見腫瘤包埋松果體鈣化灶。
③增強掃描呈中等至明顯的均勻強化。
④室管膜下轉移可表現為沿腦室壁線狀或條片狀強化,沿腦脊液向蛛網膜下腔播散表現為腦表面、腦池的線狀或結節狀強化。
2.顱咽管瘤:多為囊性或囊實性腫塊,鈣化多見。純實性者可呈稍高密度,並可強化,與生殖細胞瘤不易鑑別。
3.星形細胞瘤:一般腫瘤較大,密度偏低,後期可出血,腫瘤通常位於下丘腦,並沿視交叉或視束延伸,可在眼眶內形成腫塊。
4.腦膜瘤:好發於成人,兒童罕見。腫瘤部位偏前,伴骨質增生、硬化及有蝶竇的過度氣化。
5.垂體大腺瘤:發生於鞍內,多向鞍內鞍上生長。腫瘤易出血、壞死。鞍窩大,鞍底骨質變薄、下陷,海綿竇也可以受累包繞。
6.另外,還有動脈瘤、(表)皮樣囊腫、珠網膜囊腫、Rathke囊腫、轉移瘤、畸胎瘤等也需加以鑑別。
