法國serf種植牙一、關於法國serf種植牙
法國Serf種植牙是歐洲三大品牌之一,已經有20多年的臨床套用時間,到目前為止未出現不良反應。Serf是由世界種植鼻祖lang教授設計,既保留了ITI骨結合時間段和頸部光滑面與軟組織貼合好易清潔維護的優點,又避開了其他種植牙容易透出金屬的缺點,更適合亞洲人牙齦比較薄的特點。
法國Serf種植牙目前是世界上唯一一款帶獨立成形鑽的植體,因為這種鑽頭是一次性的可以最大限度避免交叉感染,另外可以保證所備的洞與相應的植體完全貼合,最大程度保證了種植的成功率。
二、法國serf種植牙優勢
1、植體與骨結合好。種植體與骨結合時間段、頸部光滑面和軟組織貼合好,容易清潔;不容易露出金屬體的特點,是一種更適合亞洲人牙齦薄的種植牙。
2、種植成功率高。自帶鑽頭,可以確保植體洞與植體完全貼合,大大提高種植成功率。
3、基台可選性強。可根據不同的牙齦厚度,選擇不同高度的癒合基台。
4、符合國際標準。符合ISO5832-3(ASTM等級5),且經過陽極反應處理,實現完全無菌。
5、植體自帶鑽針:擁有四種類型種植鑽針,適用於各種牙槽骨密度類型。
三、法國serf種植牙八大特點
1、2.7mm內六角系統
2、1.2mm高光滑部件,用於處理生物性表面。
3、微型螺紋,保護皮質骨。
4、噴砂表面成品。
5、各種深度不對稱性巨觀螺紋,控制旋緊漸進式骨壓迫。
6、植體材質符合ISO5832-3(ASTM等級5)
7、自鎖末端,簡化手術流程
8、圓形無創傷跟端部,保護竇腔膜
四、法國serf種植牙過程
1、選取長度
2、預備
3、鑽針控制器
4、最終形成鑽針
5、種植體滅菌處理
6、種植體植入
7、處理螺絲
五、法國serf種植牙適應症
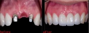
1、單顆牙脫落的患者
單顆牙缺失種植案例對於很多單顆牙缺失的患者來說,如果做烤瓷牙修復,則需磨掉鄰牙,對鄰牙傷害比較大,而法國serf種植牙系統修復後的牙齒,不需要磨牙,植體植入牙槽骨即可做固定,很好的解決了做烤瓷牙帶來的不足。
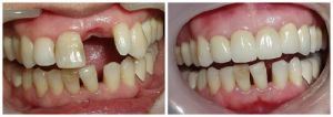
2、多顆牙缺失的患者
多顆牙缺失種植案例此時傳統假牙的修復,其效果均不會太理想,而法國serf種植牙系統修復後的牙齒,多顆植體植入作為固定牙根,每個牙齒都是獨立受力體,能恢復達到真牙80%的咀嚼力。
3、全口牙或半口缺牙的患者
對於很多全口或半口缺牙的中老年患者來說,多採用活動假牙修復。由於長期缺失牙或牙槽骨吸收,可能會出現因舌體運動和咀嚼食物時假牙移位或效果不佳,造成口腔黏膜潰瘍等,而法國serf種植牙系統,修復後的牙齒穩固牢靠、咀嚼效率高,則完全可避免以上情況發生。
