種植牙簡介
種植牙是用口腔醫學方式,將與人體生理相容性極高的人工牙根種植到牙槽骨,並與之產生骨結合,
種植牙手術 種植牙採用先進的“植入”術再造,在種植牙根上鑲嵌牙冠。效果自然逼真,美觀耐用,無可替代,被譽為人類第三副牙齒。適合治療前牙脫落,缺牙後方沒有真牙,全口或半口缺牙等符合牙齒種植條件的患者。
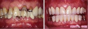
種植牙前後對比圖種植牙的手術過程
1、牙周檢查(治療牙周病)
輕微的牙周病僅侵犯牙齦,若不及早治療則會蔓延至深部而破壞周膜、齒槽骨與骨質。有牙周病的人在植牙前一定要先將牙周病治療好,否則牙周病的細菌很可能會沿著植體侵襲牙床骨,以致骨質流失,植體周圍的地基不見了,植體便會失敗。
2、骨質評估(補骨技術)
植牙前應該進行骨質評估,通常缺牙愈久,缺骨情形就會愈嚴重,一旦齒槽骨寬度不夠,那么在植牙前,最好先做引導骨再生長,或是骨重塑生長,骨再生,讓牙床骨的條件足夠植牙。一般來說,是以人工合成骨粉,或去除病塬的動物異種骨來做補骨的動作;必要時甚至必須透過全身麻醉,自患者的下巴或智齒後方齒槽骨進行自體取骨移植。
3、照全口電腦斷層
前置作業還有一項不可或缺的是,照全口電腦斷層評估骨質立體位置,可幫助牙醫師精準了解病患口腔的狀況,不用再如同“盲人摸象”一般,並能減低病患對植牙手術的恐懼。
4、製作手術模板
醫師將手術定位模板製作精良,可使牙床骨的植體位置趨吉避凶地往較佳的方向定位,減少手術中突如其來的變數。
5、現場監看
手術最怕有意外!植牙可能的意外在上顎怕鼻竇打穿、在下顎怕打到下顎神經,最好有精良的監看系統,可以讓醫師邊植邊看,可更精準的將植體植到應到位的地方,不怕植太深,產生意外;植太淺,植體不穩固容易失敗。
6、骨整合檢測,咬合調整
植體種好了,醫師會依其經驗判定骨質是否足以可裝假牙,現在有骨整合檢測的新式儀器,可以判定骨質生長密度與速度,可做更科學、精確與快速的判斷。植牙手術因為需依骨頭現狀,而調整植入位置,所以在口腔中的植體是依循骨頭多寡,以及疏密度而有傾斜不正的狀況,此時假牙的咬合設計就非常重要。
7、牙周維護
植牙後首重牙齒清潔保養,因植牙仍像真牙一般,會遭受牙周病侵襲。若發生軟組織或硬組織問題時,無法及時做適當處理,可能會造成有病的植體,甚至成為失敗的植體。
種植牙的材料
一、碳素材料類:包括玻璃碳、低溫各向同性碳等。優點是生物體內有較高的穩定性,無生物降解作用。
二、高分子材料類:包括丙烯酸酯類、聚四氟乙烯類等。某些高分子材料與人體結構中的天然高分子有較近似的化學結構,但易被生物體降解並刺激生物體。
三、金屬與合金材料類:包括金、316L不鏽鋼(鐵一鉻一鎳合金)、鑄造鈷鉻合金、鈦及合金等。其優點是強度高、剛性好,但生物機械適應性和組織、骨適應性均較差。
四、陶瓷材料類:包括生物惰性陶瓷、生物活性陶瓷、生物降解性陶瓷等。具有機械強度高,耐腐蝕,無刺激和毒性,與組織相容性等特點。目前在臨床上也在使用。
五、複合材料類:即以上兩種或兩種以上材料的複合,如金屬表面噴塗陶瓷等。人體牙齒往往是包含著有機物和無機物複雜成分的複合體。上述單一材料由於受到單一結構的限制,往往不能滿足生物體的要求,因此複合材料的套用已日趨廣泛。如碳塗層金屬複合材料、多孔塗層氧化鋁材料等,相互取長補短,使性能更為完善。
種植牙壽命影響因素
1、種植牙的選擇:好的種植牙在質量和性能上更好。不會被患者所排斥,成功率自然更高。
2、患者身體健康情況:健康的口腔情況是種植牙壽命的保障,像牙齦炎、齲齒等口腔疾病對患者種植牙壽命健康也會造成影響。另外,患者如果身體健康,免疫能力自然提高,種植牙不易被口腔疾病侵害,其使用壽命自然更長久。
3、醫生和醫院的選擇:醫院的設備和醫生的技術是種植牙手術成功的保障,因此選擇一家好的醫院尤為重要。
4、對種植牙的護理:對種植牙的護理包括患者對對口腔衛生的打理,定期到醫院護理以及檢查等。種植牙的使用壽命和種植牙的健康與否有很大的關係,患者在完成了種植牙手術之後要定期去醫院檢查種植牙是否存在不良情況。
種植牙的優勢
1、原理科學
天然牙將口腔內的咀嚼壓力通過牙根傳遞至牙槽骨,而種植牙將咀嚼壓力通過人工牙根(種植體)傳遞至牙槽骨,生物力學原理相同,故能承受強大的力量,咀嚼效率較傳統假牙有大幅度提高。
2、穩固牢靠
種植牙和真牙一樣包括牙根和牙冠兩個部分,種植體(即人工牙根)用生物相容性極好的純鈦金屬製作而成,與牙槽骨通過骨結合連線在一起,十分堅固,可象真牙一樣紮根在患者的口腔里,根深蒂固,所以穩固。
3、保護鄰牙
種植牙在缺失牙的牙槽骨內植入人工牙根,並在人工牙根上安裝上烤瓷牙冠,有自己獨立的牙根固位,不需要依附鄰牙來固位,對健康的鄰牙不僅沒有任何傷害,還可以防止由於缺牙導致鄰牙的移位或牙齒鬆動。
4、保護牙槽骨
種植牙對整個牙槽骨起到很好的保護作用,人的牙齒和大樹一樣,大樹根深蒂固才能枝繁葉茂,牙齒缺失後牙槽骨就像水土流失,牙槽骨會出現不同程度的廢用性萎縮和吸收。種植牙的人工牙根深植於牙槽骨中,因此能有效防止牙槽骨萎縮和牙槽骨吸收。
5、舒適美觀
種植牙不需要藉助基托與卡環等結構來固位,外觀和功能上完全與真牙一樣,成功的種植牙口腔內無異物感,有利於保持口腔衛生,舒適美觀,使你忘掉假牙的存在。當然,種植牙維護也要像真牙一樣的愛惜,才能儘可能的延長種植牙的壽命。
6、適應症範圍更廣
隨著種植牙技術的不斷發展,種植牙的適應症不斷拓寬,幾乎任何缺失牙都可種植修復。因為種植牙是個獨立的種植體,不需要依附鄰牙的基托或卡環,即使是牙槽骨骨量不足,可以通過植骨的方式解決,即使在全口均無牙齒的情況下,仍然可以通過人工牙根的植入讓全口牙缺失的患者獲得固定義齒修復的機會。
種植牙的禁忌症
1、牙槽骨未定型的未成年人不能做種植牙。
2、有非常嚴重牙周病的口腔患者不能做種植牙。
3、做種植牙對醫生操作技術,醫院硬體設備要求較高,非大型口腔醫療機構不能完成。
4、有全身性疾病及免疫功能障礙的患者都不能做種植牙,如心臟病、血液病、糖尿病、腎病、骨代謝性疾病等。
價格因素
1、與種植牙的設備有關。臨床上開展種植技術需要配備較高的設備環境,例如大型X線診斷設備、臨床手術設備、技工設備、手術支持設備(心電監護、血象分析等)以及在義齒製作時需要的一些獨特的較貴重的修復材料等,這些都是種植牙相較傳統修複方法,價格要高出很多的原因。
2、與種植牙的人力投入有關。相較於傳統修復,種植牙對醫生的技術水平和經驗都要求更高。種植牙是由經過特殊培訓的種植外科醫生、種植修復醫生、種植技師及相應的助手組成的團隊來共同完成的,需要的人員成本比較大。不論是研究還是到最後的運用,種植牙技術都投入相當大的人力資源,所以種植牙價格高也就顯得很正常了。
3、與種植體的材料有關。與傳統方式相比,作為一項口腔微創修復技術,種植牙對材料的要求更高,因而,無論是材料精度方面,還是材料的理化性質方面,種植牙修復都對種植體的材料提出了更高的要求,這便是與傳統方式相比,種植牙價格無法降低原因之一。
種植牙的適應人群
1、牙齒缺失的人
專家指出如單顆牙齒缺失、多顆牙齒缺失、全口牙齒缺失的情況都適合做種植牙。單顆缺牙的患者通過種植牙恢復牙齒功能,並且不傷害健康的鄰牙。多顆牙齒缺失和全口牙缺失的患者,種植牙修復無論是外觀上還是功能上都是完美的方案。
2、長時間缺牙的人
針對長時間缺牙的人容易造成不同程度的牙槽骨吸收,牙槽骨吸收導致佩戴有卡環和基托的傳統假牙有困難,佩戴傳統假牙固位力差,不能發揮假牙的咀嚼功能的患者,需要通過種植牙來恢復正常的咀嚼功能。
3、門牙缺失的人
種植牙和真牙一樣包括牙根和牙冠兩部分,成功的種植牙外觀上完全沒有痕跡,因為有牙根所以功能上更牢固,因此更加適合門牙缺失的人。傳統的假牙必須要依託缺牙左右健康的鄰牙來固位,因此,門牙缺失的患者如果採用傳統假牙的方式修復,會有明顯兩個卡環外漏,嚴重影響了假牙修復的美觀效果。
種植牙特點
1.種植牙的特點之不需要活動牙必備的基托和卡環,沒有大面積的基托導致的味覺遲鈍與不舒適感;
2.體積小不外露金屬、美觀,種植牙更有利於保持口腔清潔衛生。
3.對於某些用傳統假牙修復困難或效果不佳的患者,口腔種植牙更具優越性。
4.它的咀嚼功能大大優於其它假牙;
5.種植牙的特點具有很強固位和穩定性,可象真牙一樣扎在患者的口腔里;
6.可少磨或不磨自己的真牙;這是種植牙的優點之一。這些都是種植牙手術的具體特點。
種植牙術前注意事項
1、良好的口腔環境是種植牙成功的保障,因此,這是屬於種植牙的術前注意事項之一。口腔檢查,特別是牙周檢查和治療非常重要。牙周炎患者因牙齒上有大量的細菌,種植牙手術時這些細菌可能進入傷口,大大增加種植體的感染機會,導致種植牙手術失敗。
2、種植牙的準備工作還包括了骨質評估,既然種植體要埋入牙槽骨內,那么牙槽骨的骨量和骨質量的好壞勢必關係種植牙手術成敗。因此種植牙手術前應該進行骨質評估。通常缺牙愈久,缺骨情形就會愈嚴重。專家提醒大家,缺牙時應儘早種植牙。
3、備好過渡義齒,大多數種植牙患者需要用臨時假牙幫助度過種植體和骨癒合的時間,種植牙手術前如能製作好臨時牙,術後患者就能馬上佩戴,不會影響正常的生活。因此,這也是屬於種植牙的準備工作。
種植牙術後注意事項
1、在植入人工牙根後應注意口腔衛生,飯後及時漱口,也可用藥液漱口,每天早晚均套用軟毛刷或棉花條清洗種植體基台一次。
2、在拆線後的三到六個月內,切忌使人工牙根晃動,不能用它用力咀嚼,以免牙根鬆動,使牙根周圍新形成的骨和纖維結締組織受影響,從而影響種植效果,這是保證種植效果極為重要的問題。
3、種植牙一般分為兩個步驟:第一次:植入人工牙根;第二次:在已經穩固後的人工牙根上鑲上固定義齒。植入人工牙根後,在未拆線前不能戴臨時的假牙,待7-10天拆線後,看是否需要修改再決定是否要戴。
種植牙可能出現的併發症
1、傷口裂開:縫合過緊或過松,尤其在誘發感染的情況下,更易導致局部傷口裂開,應及時清創,再次縫合,避免種植體暴露。這是種植牙引發的併發症之一。
2、出血:因粘骨膜剝離損傷大或黏膜下剝離廣泛,尤其是術後壓迫不良,均易發生黏膜下或皮下出血。如一期手術種植體穿出下頜下緣時,也可發生頦下淤血。局部淤血一般可在數日後吸收,可在術後早期冷敷,晚期熱敷。因全身因素,有出血傾向者,應對症處理。
3、下唇麻木:多因術中剝離時損傷頦神經或種植體植入時直接創傷所致。前者多可恢復,後者應去除該種植體,避開神經重新選位植入。
4、竇腔黏膜穿通:上頜種植時,由於骨量不足,容易穿通上頜竇或鼻底黏膜,勢必造成種植體周圍感染,因及時去除。
5、感染:多因手術區或手術器械污染以及其它併發症誘發感染。這也是種植牙引發的併發症。
6、牙齦炎:種植義齒修復後,由於口腔衛生不良或清潔方法不當,對暴露在口腔的種植體基台清潔差,被粘附在基樁上的菌斑刺激牙齦所致。菌斑的形成大多由於種植體基台表面光潔度受到劃傷,細菌得以在其上繁殖。因此,除種植體本身在生產加工時保證基樁光潔外,在手術操作、患者自我護理過程中都要對基台表面仔細保護。
種植牙種植體的類型
一段式種植體
一段式種植體是一種種植體基台與固位體為一段相連整體的一類種植體。一般情況下在進行一段式種植體手術時,醫生會將與骨組織結合的固位體和與牙齦組織結合的基台部分一次手術植入完成。因此非常的省時省力,一次進行的種植也省去了患者的不少麻煩,但是由於基台直接暴露在口腔,因此種植牙的基台容易受外力的影響而產生動度。兩段式種植體
兩段式種植體即種植體基台與固位體分為兩段而不是一個整體的一類種植體。兩段式種植體在手術時,固位體和與牙齦組織結合的基台是前後分別進行兩次手術植入完成的,因此稱作兩段式固位體,而在基台與固位體兩段之間是通過種植體中心螺絲將其相連成為一個整體。這種兩段式種植體的骨結合好,因此不容易感染到患者的義齒,屬於一種很好的修復體。骨結合式種植體
骨結合式種植體是指在人體活的骨組織與鈦種植體之間發生的牢固、持久而直接的結合,即負載力量的種植體的表面與有活力的骨組織之間存在結構上和功能上直接的聯繫,這種種植體與骨組織之間由於沒有任何結締組織存在,因此不會間隔以任何組織。是一種效果優異的種植體。
種植牙手術的價格
1、不同的醫生,種植牙的價格是不同的。對於同一個地方,同一家醫院來說,醫生是決定種植牙的一個因素,醫生的技術水準,也是可以決定價格的,有的醫生技術好的,它們的價格就不同,醫生技術稍微差的,他們的價格也就有所不同,醫生的技術主要就是經驗和知識的領先,這樣價格就不同了。
2、種植牙的美容冠種類不同,種植牙價格也是不同的。平時見過的美容冠的種類也可以有多種多樣,美容冠種類不同,價格各異,從而種植牙齒的價格也各不相同。此外,種植數量不同,種植牙的價格也是不同的。比如說,一些患者口腔狀況好,只需要做一顆種植牙,而有的患者缺失的牙齒數量多,需要做幾顆甚至數顆種植牙,自然價格就會大不一樣。
3、在臨床上,種植牙的品牌也有好多種,不同的品牌,種植牙價格大概多少也是不同的。平時見過的種植牙品牌可以有多種多樣,比如,瑞典NobelGuide種植系統、德國Friadent種植系統、美國百康種植系統,品牌不同,他們的價格就有明顯的差異,這點是毋庸置疑的。
