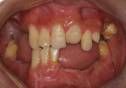
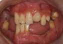
牙齒缺失
成人牙齒缺失,可能會有不同的原因。常見的缺牙原因,可能是由於早期的齲齒或意外事故所造成。
牙齒缺失最常見的現象是上排側面的牙齒缺少,缺失的牙齒通常是門齒、前臼齒及第三臼齒。另一種缺牙原因可能是牙齒受到壓阻,也就是無法長出到牙齦上面來。這會造成許多問題。最常發生受到壓阻無法長出來的牙齒是上犬齒、前臼齒及智齒。
症狀
部分缺牙包括單個或多個牙的缺失。單個牙的缺失一般好發於恆牙,可對稱發生也可單側發生,最常見的牙位是第三磨牙。 另外,上頜的側切牙和上下頜的第二前磨牙先天缺失率也相對較高,且常為對稱發生。個別乳牙的缺失極少發生。上頜側切牙、下頜側切牙和尖牙也可發生。其原因尚不十分清楚,一般認為有家族遺傳因素,個別可能是常染色體顯性遺傳。
危害
1、牙列的完整性遭到破壞:牙齒缺失後,若較長時間不修復,領近的牙齒由於失去了依靠和約束,會變得傾斜,易造成咬頜功能的紊亂。
2、牙槽骨萎縮:牙缺失後正常咬頜力對牙槽骨的生理性刺激不復存在,牙槽骨均會出現不同程度的廢用性萎縮,並且會給後期假牙修復及維持口腔頜面部的平衡和穩定帶來巨大困難。
3、咀嚼功能減退:牙齒缺失後,餘留牙齒髮生了一系列變化,使原本良好的咬頜關係發生變化,由於餘留牙之間有效功能面積相應減少,咀嚼效能降低。
4、食物嵌塞:正常牙齒與牙齒之間,排列得十分緊密,鄰近的牙齒移動後,牙齒與牙齒會出現縫隙,容易使食物嵌塞到牙齒間隙里,引起口臭、齲齒、牙周病等。
5、牙齒脫落:由於缺牙左右兩邊的牙齒無法獲得它們原先常有的支撐壓力,它們會在牙齦中變得傾斜不正,使牙齒逐漸鬆動,導致部分牙齒脫落。
應對措施
如果發現缺了乳牙或恆牙,應該去看牙醫,請牙醫及早採取補救措施。最常見的修復缺失牙的方法有三種,即活動義齒、固定義齒、種植義齒,它們各有所長。
1.活動義齒,它由卡環(老百姓俗稱“鋼絲鉤”)、基托、人工牙、支托組成,其原理是通過卡環“鉤住”剩餘牙齒來穩定假牙,基托連線人工牙來修復缺失牙。卡環與基托是多出來的附加結構,影響美觀、發音,會有異物感,另外,整個假牙每天必須取下清潔刷洗幾次,否則食物會進入假牙與牙齦之間,或粘附於假牙表面上,引發口腔疾病,甚至產生口腔異味。可見,活動義齒缺點較多,麻煩不少。
2.固定義齒,牙科醫生稱之為“固定橋”,老百姓多稱其為“烤瓷牙”。具體做法是把缺失牙兩邊的健康牙磨小,變成“橋墩”,然後做牙套套住兩邊磨小的牙齒,來架住缺失的牙齒(又稱橋體),這種方法無需每天取下來清潔,咀嚼功能較強,但有一個致命弱點,即為了修復缺失牙,需要磨削兩邊的健康牙齒,未鑲缺牙而先損好牙,實在可惜。如果恰好鄰牙本身就有問題,如齲齒、隱裂或者已經做過根管治療需要做牙套保護,選擇這種方法比較合適。
3.種植義齒,老百姓稱之為“種植牙”,其原理是在缺失牙的部位將純鈦的種植體植入牙床內。3個月後,種植體通過表面的生物活性塗層與周圍骨質發生骨融合,然後在種植體上安裝牙冠或牙橋,其結構與感覺類似於天然牙齒,無需取戴,咀嚼功能強,既克服了活動義齒的不美觀、不舒適、每天需清洗的缺點,又不需要磨削缺牙部位相鄰的健康牙。目前這種鑲牙法,成為口腔醫學界公認的缺失牙的首選修複方法。
牙齒缺失後常見的修複方法
補牙是牙齒缺失後傳統的修複方法
凡因齲齒、楔狀缺損、外傷等造成牙體組織缺損者都需要修補,以恢復其外形和功能。當病變已波及牙髓,甚至引起根尖周病時,應先治療牙髓,再行補牙。補牙包括窩洞製備和充填兩項主要步驟
充填材料應當具有無毒、耐磨、有抗壓強度、充填後體積不改變、與窩洞密合、不被唾液腐蝕或溶解、操作簡便及色澤美觀等性能。但目前尚無完全符合上述性能的材料,只能依據牙齒缺損部位、受力大小和美觀的要求等選用較為合宜的充填材料。一般在後牙多用銀汞合金,在前牙,特別是影響美觀的部位多選用樹脂類。
烤瓷牙是牙齒缺失實用的修複方法
數據顯示,烤瓷牙是目前套用最多的一種牙齒美容及修復技術。由於其逼真、美觀的形態、與自然牙相近的強度、能恢復90%以上的咀嚼功能等優點,正受到越來越多的愛美人士的青睞。
烤瓷牙修復缺失牙齒的優勢主是利用缺牙前後的牙齒做固位牙,加上缺牙將幾個烤瓷牙冠連在一起,將其粘固在固位牙上,便可以鑲復缺牙。烤瓷牙相比較種植牙而言更容易操作,也是價格比較適中的一種方法,一般在牙齒缺失後選擇做烤瓷牙修復用時間也不會很長。這符合了大多數人的求美迫切心裡。
種植牙是牙齒缺失的理想修複方法
種植牙是義齒修復的一種,種植牙和真牙一樣包括牙根和牙冠兩個部分,因此被美其名曰"根深蒂固"的種植牙。種植牙包括種植牙根和烤瓷牙冠兩個部分,種植牙根植入人體牙槽骨之後經過一段時間(3-6個月),種植牙根就與牙槽骨組織相融為一體,然後再在種植牙根上安裝上烤瓷牙冠,從形態上和功能上達到恢復牙齒缺失的目的。
術後注意事項
1、種植牙術後需要注意不要吃過硬的食物,如胡桃、骨頭、硬豆等。
2、種植牙術後防止受到外力的撞傷,一旦撞傷應立即到種植牙專科醫院處理。
3、種植牙術後注意,飯後及時漱口,每天早晚用軟毛牙刷或棉花條清洗種植體基台1次。
4、種植牙術後要做好種植牙後應定期來院複診。
優點
1、種植牙恢復牙齒的功能,其手術後新牙的咀嚼能力優於其他的牙齒修復手術。
2、種植牙是通過自身的人工牙根來進行手術的,對人體完好的牙齒沒有任何損害。
3、種植牙不使用卡環或者是牙套,因為人工牙根能夠和人體牙槽骨緊密的貼合,就像真正的牙根一樣在口腔里紮下根,十分的固定和穩固。
4、種植牙手術沒有突兀感,是整體變得協調和美觀。
5、種植牙手術對人體的創傷小,在手術後就能進食,患者無任何痛苦。而手術材料屬於和人體相容性極好的生物材料,人體不會有任何的不良副作用。即便手術失敗,也可以去除人工牙根,等到牙槽骨癒合後再次進行種植牙手術。
缺點
種植牙的價格比較的昂貴,國產的種植費用比較低,但是遠期效果不好,失敗率也比較高;進口的費用比較昂貴,但是遠期效果比較好,成功率比較高。
牙齒缺失不鑲牙的誤區
牙齒缺失後,刷牙時往往不容易刷到缺失牙與鄰牙相接觸的那個面,軟垢的長期堆積容易使鄰牙產生蛀牙或者是牙周疾病。牙齒缺失後不鑲牙還可能會引起相鄰或相
對的牙齒髮生傾斜或移位,嚴重時可產生咬合關係紊亂。因此,牙齒缺失後及時鑲牙是十分必要的。但生活中人們對鑲牙的認識往往存在如下三個誤區:
誤區一鑲牙不用著急,過幾年再鑲也不遲
當有牙齒缺失時,缺失牙相鄰的牙齒就會失去制約,逐漸向缺牙的間隙發生傾斜或者移位;缺失牙的對頜牙齒也會因為失去咬合力的刺激而向缺牙的部位逐漸過長,最終使缺牙間隙逐漸變小。
鄰牙的傾斜和對頜牙的過長,都會使鑲牙的難度增加。某些情況下需要將過長的對頜牙殺神經後磨短
才能鑲牙,有時鑲牙的條件甚至會完全喪失。缺牙的時間越長,出現上述情況的可能性就會越大。某些情況下,缺失的牙齒長期不鑲還可能會造成整個牙列的牙齒都
發生移位,產生咬合紊亂或是顳下頜關節的疾病。
牙齒缺失後3個月時是最佳的鑲牙時間。因為牙齒缺失後,牙槽骨有一個逐漸吸收的過程。3個月時,牙槽骨的吸收已趨於穩定;3個月之內,必要時可以鑲臨時的假牙。
誤區二不缺牙的一側能吃飯,就不鑲牙
長期只使用一側牙齒咀嚼,會造成這一側的肌肉發達,而缺牙一側的肌肉和頜骨因長期不使用和缺少
刺激,則會發生萎縮。這樣就會造成面部的不對稱,嚴重影響美觀。此外,長期使用一側牙齒咀嚼也可能會造成咬合紊亂和產生顳下頜關節疾病,單側牙齒長期負擔
過重也易引起牙周疾病。
誤區三等全部牙掉光,再鑲滿口假牙
當口內還有牙齒存在時,所鑲的假牙叫做局部義齒;當牙齒全部缺失時,所鑲的假牙叫做全口義齒,
也就是百姓常說的滿口假牙。戴用全口義齒容易出現固位力不足的缺點,也就是假牙不能穩定地位於牙床上,特別是下頜的假牙。如果口內還存在一些真牙,則可以利用其來加強假牙的固位力。此外,如果患者以前從未佩戴過假牙,直接佩戴全口假牙可能不容易適應。而從佩戴局部義齒開始,逐漸過渡到全口義齒,則相對較容易適應。

