簡介
在牙齒修復過程中,從設計到製備,每一具體步驟、操作,都必須顧及牙齒組織的保留。使牙體缺損部分得以恢復的醫療實踐。造成牙體缺損的原因主要為齲齒,其次為外傷、磨蝕、酸蝕等。修複方法可根據牙體缺損情況和使用材料情況,選用樹脂修復、全瓷修復、烤瓷修復等。
樹脂修復
介紹
樹脂修復是指因齲齒、 楔狀缺損、外傷等造成牙體組織缺損者,使用複合樹脂材料進行修補,以恢復其外形和功能。充填後的牙齒逼真,幾乎看不出是修補過的。樹脂類充填材料可以用於前後牙,稱牙色材料,樹脂修復有賴於良好的粘接修復技術。
口腔醫學中的粘接修復是在牙齒缺損,將樹脂類的充填物通過粘接材料固定到牙齒表面結構或其它修復材料上去達到修復或治療效果的技術。粘接力的發揮主要依靠高分子有機粘接材料(樹脂粘接材料)和各種粘接技術。
複合樹脂充填材料用於牙體修復已超過半個世紀的時間,隨著材料學技術的日新月異,粘接系統和複合樹脂材料已能夠達到既牢固又美觀的臨床使用要求,成為牙體直接修復中的首選技術。
直接 粘接修復技術的適應症包括修復各種原因造成的前牙牙體缺損及色澤、形態的異常等,修復的最終目的是恢復患牙的形態和美觀。
對於牙釉質的粘接需要使用磷酸酸蝕粘接系統,對於牙本質的粘接則使用全酸蝕或自酸蝕牙本質粘接系統,修復材料則應選擇複合樹脂材料。修復中可根據患者的要求及患牙的條件選擇單色、雙色和多色樹脂修復技術,以滿足不同的美學修複目標。唇舌側貫通的牙體組織缺損,應在舌側充填具有遮色效果的樹脂以減小口腔暗背景對修復體色澤的影響。唇面缺損的修復應體現牙體組織的細節和個性化解剖特徵。
對於外傷冠折牙齒的美學修復,可以用粘接系統將斷離牙冠與剩餘牙體組織對位粘接,必要時還可以打纖維樁增強固位。複合樹脂直接粘接修復技術有保守、隱形、快捷等優勢。
特點
1.優點
A.微創。牙體缺損幾乎不用備牙便具有超強的粘接力。並且符合現代口腔醫學的微創理念。在做貼面及牙體缺損的過程中僅僅需要全瓷貼面備牙量的1/2即可。
B.逼真。因其分層固化,所以擁有天然牙對於光線的反射及折射,做出來的修復真假難辨,肉眼幾乎無法察覺。適合前牙美學修復。
C.即刻。幾乎所有齲齒充填項目及小部分牙體缺損都可以隨治隨走。
D.高強度。複合樹脂無機物填料比例達到80%,表面處理部分具有高折射率的納米氧化鋯,內含有高折射率的新型玻璃填料。所以擁有超高強度。
2.缺點:價格較普通充填材料稍貴。
適用範圍
適應範圍廣泛幾乎可以用於所有的牙體缺損。
全瓷修復
介紹
全瓷牙全瓷修復是無金屬瓷修復的統稱,修復體不再使用金屬,而採用與牙齒顏色相近的高強度瓷材料製成,因此
較金屬基底烤瓷修復體更美觀,半透明度與天然牙近似,修復後牙齦邊緣表現更加自然,可達到仿真效果,且具有對周邊組織無刺激等優點,已被廣泛用於臨床。全瓷修復彌補了金屬烤瓷技術的諸多缺陷,且具良好的牙齒美容功效。
優勢
全瓷修複比傳統修復的優勢在於:
全瓷修復可以對人的牙齒進行個性化調整。但價格比傳統修復要高。
做全瓷牙的朋友可以提前看到修復的效果。整個修復過程可以跟醫生直接交流。
全瓷牙的生物相容性好,不刺激口腔組織,易清潔。
4.色澤形態逼真,咀嚼功能、穩固性都非常接近真牙。不會出現崩瓷、黑線等現象。
適應症
1、鑲復缺牙:關於缺少的牙齒,運用缺牙前後的牙齒做固位牙,加上缺牙將多少個全瓷牙冠連在一同,將其粘固在固位牙上,便可以鑲復缺牙。
2、矯正牙齒髮育異常:關於不一般的牙齒髮育,如過小牙,牙間隙寬,個別牙不齊,釉質發育不全等,這些經過全瓷牙修復後可以把牙齒的形狀、色調恢復到理想形態。
3、牙齒治療後修復:許多牙齒治療後會留下牙齒問題,如牙髓治療後易形成牙齒變色,補料零落及牙齒折裂,選用全瓷牙修復可預防。
4、修復牙齒髮黃髮黑的跡象:如四環素牙、氟斑牙、死髓牙等都可以通過全瓷牙的方式進行修復。
5. 種植修復:種植體植入後,進行上部牙體的修復。
技術分類
計算機CAD/CAM技術
代表產品:LAVA ,CEREC,CERCON,EVEREST,DCS,PROCERA
原理和工藝流程:計算機全瓷輔助設計和機加工系統,採用的原理基本相同,把工業上使用的CAD/CAM小型化,計算機全瓷製作過程分為:模型掃描,成像設計,修復體研磨,修復體燒制等過程。
技術和材料特點:計算機全瓷技術,設備昂貴,材料成本較高,技術先進,加工精度高,製作迅速。計算機全瓷技術使用的材料大多為氧化鋯和玻璃陶瓷,氧化鋯具有非常好的強度和美觀仿真性。適應症:嵌體、高嵌體、單冠、聯冠、常規牙橋、單端橋、嵌體橋、粘接橋、套筒冠、種植體基台及上部修復結構等。由於氧化鋯全瓷需非常好的精密度,建議使用聚醚或矽橡膠製取印模,以得到準確的模型。可使用普通水門汀或樹脂水門汀粘接。
2.鑄造瓷
代表產品:e.max press,EMPRESS2
原理和工藝流程:和金屬鑄造原理一樣,採用失蠟法,只是把金屬換成了瓷塊,鑄造過程採用真空鑄壓的鑄造機。
技術和材料特點:鑄瓷技術基本類似於常見的鑄造方法。鑄瓷材料比較透明,對於顏色較深的牙齦,不適合作鑄瓷修復,後牙也不適合做鑄瓷修復。鑄瓷橋超過三單位,只能用於前牙和前磨牙。
適應症:瓷貼面,瓷嵌體,單冠,前牙三單位橋、種植體基台及上部修復結構等。
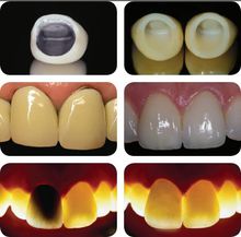
烤瓷修復
介紹
烤瓷熔附金屬全冠又稱金屬烤瓷聯合冠,簡稱金瓷冠,是瓷粉經過高溫燒結熔附與金屬內冠表面而形成的全冠修復體。
特點
金屬烤瓷牙和全瓷牙對比1、金瓷冠最大的優點是美觀效果和強度均較佳,結合了全瓷冠的美觀和金屬冠強度的優點
2、形態逼真,形態問題和顏色一樣,是大多牙齒美容失敗的重要原因。
3、烤瓷熔附金屬全冠的製作需與患者本人的適合:不能千人一面,一定要依據患者的年齡、職業、膚色、喜好等諸多因素仔細判斷、確定顏色和形狀,做到個性化,才能算真正為患者做到美容。
4、粘固對於美觀也非常重要,粘固全冠可以用比如:3M ESPE RrlyXTM Unicem、RrlyXTM Luting系列均是不錯選擇。
適用範圍
1.美觀要求較高者,前後牙均可採用。
2.變色牙,不宜用其他方法修復者。
3.畸形小牙、釉質發育不全等需要改善牙冠形態者。
4.前牙錯位、扭轉等不宜或不能採用正畸治療者,要求改善美觀。
5.根管治療後經過樁核修復的殘根殘冠。
6.單個牙牙體缺損的修復,也可作為固定義齒的固位體。
7.牙周病矯形治療的固定夾板。

