病因機制
牙槽骨吸收患牙周炎時牙槽骨的吸收主要由局部因素引起,全身因素的作用尚不明確。局部因素包括慢性炎症和咬合創傷,炎症和創傷可單獨作用或合併作用,從而決定骨吸收的程度和類型。
近年來的研究表明,與骨吸收有關的細胞受一系列因素的局部調節,如IL-1、IL-2、TNFα和淋巴毒素;前列腺素E2(PGE2)是牙周骨吸收最有力的刺激因素;IL-1和TNFα在牙周炎中能啟動組織破壞和骨吸收;IL-1是骨脫礦的最有效誘導因素;IL-6刺激破骨細胞分化和骨吸收,並抑制骨形成。
牙槽骨吸收
是牙周炎的另一個主要病理變化.
破壞方式可表現為如下幾種形式:
(一)水平型吸收 水平型吸收(horizontal resorption)是最常見的吸收方式.牙槽間隔,唇頰側或舌側的嵴頂邊緣呈水平吸收,而使牙槽嵴高度降低,通常形成骨上袋.
(二)垂直型吸收 垂直型吸收(vertical resorption)也稱角形吸收(angular resorption),指牙槽骨發生垂直方向或斜行的吸收,與牙根面之間形成一定角度的骨缺損,牙槽嵴的高度降低不多(除非伴有水平吸收),而牙根周圍的骨吸收較多.多形成骨下袋.
骨下袋根據骨質破壞後剩餘的骨壁數目,可分為下列幾種:
一壁骨袋,
二壁骨袋,
三壁骨袋,
四壁骨袋,
混合骨袋.
(三)凹坑狀吸收 凹坑狀吸收(osseous crater)指牙槽間隔的骨嵴頂吸收,其中央與齦谷相應的部分破壞迅速,而頰舌側骨質仍保留,形成彈坑狀或火山口狀缺損.
(四)其他形式的骨變化 由於各部分牙槽骨吸收不均勻,使原來整齊而呈薄刃狀的骨緣成為參差不齊.
骨吸收的程度一般按吸收區占牙根長度的比例來描述,通常分為三度.
Ⅰ度:牙槽骨吸收在牙根的頸1/3以內.
Ⅱ度:牙槽骨吸收超過根長1/3,但在根長2/3以內,或吸收大根長的1/2.
Ⅲ度:牙槽骨吸收占根長2/3以上.
臨床表現
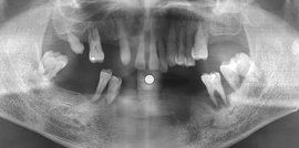
牙槽骨吸收的方式和程度,可通過X線片來觀察。正常情況下,牙槽嵴頂到釉牙骨質界的距離約為1~2mm,若超過2mm則可視為牙槽骨吸收。牙周炎的骨吸收最初表現為牙槽嵴頂的硬古板消失,或嵴頂模糊呈蟲蝕狀。
牙槽骨吸收治療方法
牙周治療的最終目標是創造一個在健康牙周組織的條件下,能行駛良好功能的牙列。其治療程式包括基礎治療(牙周潔治等);牙周手術治療(翻瓣術、植骨術等);修復治療階段;牙周支持治療(定期複查)
預防預後
建立養好的飲食衛生習慣,掌握正確的口腔保健知識是預防牙周病的重要手段。牙列整體預後與下面幾個方向相關:
1)牙周炎的類型
2)牙周支持組織破壞的程度
3)局部因素的消除
4)牙鬆動情況
5)餘留牙的數量
6)患者的依從性
7)環境因素
8)全身情況等

