概述
REITER綜合徵性鞏膜炎REITER綜合徵性鞏膜炎,以無菌性尿道炎、眼結膜炎和多發性關節炎為基本特徵,可瘵有皮肚皮膚黏膜及其它器官病變,發病前常有發熱,多見於成年男性。
REITER綜合徵性鞏膜炎是由於缺乏特異性的診斷試驗、特別是忽略眼或皮膚損傷無症狀的尿道炎或宮頸炎病變,使RS的發病率難以確定Keat的研究表明,RS是一種相對常見的類風濕性疾病,發病高峰年齡為18~40歲男性多見但RS的性別分布很難確定因在女性RS難以診斷,女性尿道炎和宮頸炎常是亞臨床的。這一疾病在兒童也難以確認,通常只有在流行性腸炎出現且其家庭成員已被確定為RS時,才能做出兒童患病的診斷。75%~90%的RS患者HLA-B27陽性。
REITER綜合徵性鞏膜炎,英文名:Reiter'ssyndrome-associatedscleritis,別名Reiter綜合徵(Reiter'ssyndrome,RS),是一種在遺傳易感人群中患腸炎或泌尿生殖器炎症後的“反應性關節炎”(reactivearthritis)。
病因
REITER綜合徵性鞏膜炎RS病因既與特殊的遺傳背景有關,又與特殊感染有關。在志賀菌(shigella)、沙門菌(salmonella)、耶爾森菌(yersinia)和克雷白桿菌(campylobacter)腸炎後,或在沙眼衣原體或支原體(mycoplasma)泌尿生殖器炎症之後發生。RS最早由Reiter在1916年描述為非特異性(非淋球菌)尿道炎、急性多發性關節炎和結膜炎。僅少數病例出現此典型的三聯征。重度RS銀屑病或銀屑病性關節炎與獲得性免疫缺陷綜合徵(AIDS)同時出現,說明這些疾病與免疫因素有關。在許多情況下尿道炎是作為一個促發因素,還是作為該綜合徵的一個表現尚健康搜尋不清楚在一個具有特殊易感遺傳背景的患者,可能與多種不同的微生物有關。
症狀
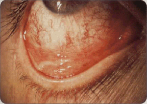
REITER綜合徵性鞏膜炎1.眼部表現 RS最主要的眼部病變是結膜炎和前葡萄膜炎,偶爾出現鞏膜炎和鞏膜外層炎。眼部病變一般出現在關節和泌尿生殖器病變之後。Lee等統計過113名RS患者,在診斷RS平均2.9年後發生眼部病變。
(1)鞏膜炎:僅有極少部分RS患者發生鞏膜炎,常在疾病的後期或其他的眼病如結膜炎或前葡萄膜炎後出現。最多見的類型是瀰漫性前鞏膜炎健康搜尋,雖然反覆發作,但不會發展為壞死性前鞏膜炎。所有患者的鞏膜炎發生在結膜炎和(或)前葡萄膜炎數次發作之後,並與中度前葡萄膜炎有相關性。凡反覆發作的前葡萄膜炎後發生瀰漫性或結節性前鞏膜炎,均應該進行RS或AS的詳細檢查。
(2) 鞏膜外層炎:鞏膜外層炎在RS也極少見,多為單純性或結節性鞏膜外層炎,多在活動性RS數年後出現
(3)結膜炎:RS最常見的眼部病變是結膜炎,其發生率為58%。結膜炎通常在關節炎或尿道炎後幾周內出現,偶爾可以是RS的首發表現。一般是雙眼輕度發病,有結膜囊黏液膿性分泌物、結膜乳頭和濾泡若不治療,結膜炎可持續7~10天,細菌培養陰性。偶爾出現小而無觸痛的耳前淋巴結腫大及瞼球粘連。
(4)前葡萄膜炎:12%的RS患者可出現前葡萄膜炎,常為單側非肉芽腫性伴有細小到中度的白色KP,前房及玻璃體細胞滲出,虹膜後粘連。除了嚴重的突發性葡萄膜炎外,一般無前房積膿由於虹膜後粘連(瞳孔閉鎖)、虹膜角膜角粘連和小梁炎,可引起繼發性青光眼。前葡萄膜炎在復發性RS患者中多見健康搜尋HLA-B27陽性和(或)骶髂關節炎的患者常出現前葡萄膜炎。在各種前葡萄膜炎的鑑別診斷中鶒,應考慮有RS的可能。
(5)其他眼部病變:健康搜尋在RS患者,角膜炎常與結膜炎或偶爾與前葡萄膜炎同時發生,但也可單獨產生。表現為上皮點狀角膜病變或進一步發展,融合成角膜潰瘍有時出現角膜前基質浸潤或小血管翳。偶有視盤水腫和復發性視網膜水腫,與AS性葡萄膜炎相類似,RS很少發生眼後節病變鶒。
2.非眼部表現 RS應被視為一個綜合徵,而不只是3個特殊表現的聯合。該綜合徵可表現為四聯征,也可僅有3個主要表現的2個,一些典型表現可能無意義或被忽視,多種損害也可能被誤診。全身症狀有發熱、食慾減退體重下降、乏力及心悸等。
(1)關節病變:本病中關節炎發生最晚而且持續時間最長,通常是急性發作非對稱性、少數關節受累鶒,特別是下肢,以膝、踝、髖等負重關節最多見,其他的關節如腕指、趾脊柱也可累及。約20%的RS出現骶髖關節炎和上行性脊柱炎。易出現韌帶、腱鞘炎和足底筋膜炎症。大多數關節最終完全恢復少數持續性或復發性可發展為永久性臘腸樣指關節畸形。
(2)泌尿生殖器:男性患者90%可發現尿道炎及前列腺炎、膀胱炎精囊炎、附睪炎、睪丸炎等,也可發生尿道狹窄女性患者發生宮頸炎、非特異性陰道炎。通常症狀不明顯。
(3)皮膚黏膜:約50%的RS患者有皮膚黏膜病變,多為漩渦狀龜頭炎,另一種少見但具有特徵性的皮膚病變是脂溢性角化症一般不遺留瘢痕而痊癒,但可復發,嚴重的脂溢性角化症可引起全身表皮脫落而死亡。10%的RS有口腔黏膜損害,初發為小丘皰疹以後融合成斑片,形成邊界不清楚、無痛性淺表潰瘍鶒,數天至數周后癒合少數患者出現甲下膿皰和甲周皮膚炎
(4)其他病變:其他少見的表現包括心臟傳導阻滯、心包炎、主動脈炎、澱粉樣變性、血栓性靜脈炎、胸膜炎、非特異性腹瀉、腦膜炎和全身大動脈炎等。像AS一樣,RS性血管炎健康搜尋是以大動脈為主。當RS患者出現某些少見而嚴重鶒的臨床表現如脂溢性皮炎(頰疹)、鵝口瘡、毛狀黏膜白斑、持續性淋巴結病、嚴重的全身症狀或迅速進展的關節病變時,要警惕有AIDS的可能,並詢問患者的性行為及是否有吸毒史。
併發症:
其他發生的眼部病變有角膜炎、視網膜炎、繼發性青光眼和視神經炎等鶒。
診斷:
RS的診斷注意依賴於臨床表現。RS的主要臨床表現是關節炎、非特異性尿道炎或宮頸炎、炎性眼病和黏膜皮膚病變有關節炎和其他3項中至少2項臨床表現,可確立RS診斷。因為大多數臨床表現無特異性,對可疑RS確診較困難;很少有標準能完全滿足或有可能滿足RS診斷的要求與AS一樣,HLA-B27陽性是否與RS的嚴重性增加有關,尚不清楚,僅指示RS的可能性但不能作為RS確診的指標。
治療
REITER綜合徵性鞏膜炎RS性瀰漫性前鞏膜炎可全身套用NSAID,常用吲哚美辛25mg,3次/d,或芬布芬(fenbufen)50mg,3次/d,均飯後口服。局部套用糖皮質激素滴眼液滴眼。如果用藥無效或停用糖皮質激素滴眼液鞏膜炎復發,可換用其他NSAID,同時套用糖皮質激素滴眼液滴眼。如果需要聯用其他藥物健康搜尋可短期給予潑尼松,與RA的治療方法一樣,可有效地緩解症狀。伴發葡萄膜炎者給予散瞳劑對病情進展快、反覆發作的鞏膜炎選用免疫抑制劑如甲氨蝶呤(MTX)7.5mg,每周1次。若病情未緩解,每3~4周增加劑量1次每次用量最大加至每周25mg若對MTX無反應,可用硫唑嘌呤(azathioprine),2mg/(kg·d)開始,以後根據身體的反應及耐受情況進行調整。同時給予抗生素可選用氨基糖苷類的妥布黴素、阿米卡星;青黴素類氨苄派拉西林;喹諾酮類及頭孢菌素類健康搜尋。抗生素治療宜早。
預防
REITER綜合徵性鞏膜炎Reiter綜合徵無特效療法,一般治療原則如下:
1.支持療法 急性期注意臥床休息,限制負重,注意清潔衛生。給予容易消化,高熱量飲食,補充維生素。
2.對症治療 急性期或關節炎首選非甾體類抗炎藥,如阿司匹林0.3~0.6g 3/d,吲哚美辛(消炎痛)25~50mg 3/d,炎痛喜康20mg 1/d,布洛芬0.2g 3/d,此外理療如超短波、紅外線、蠟療、泥療以及按摩等亦有所幫助。對尿道炎可作下腹部熱敷或鹼化尿液。結膜炎可用藥液沖洗及常用眼藥水點眼;嚴重眼病者可用皮質激素滴眼液。水溢膿性皮膚角化病可用角質溶解劑及小劑量皮質激素,如1%反共經考地松局部套用。
3.套用抗生素消除有關病原 發病初期可選用,但劑量不宜過大。這對尿道炎可能有益,但對關節炎和病程無多大影響。
4.腎上腺皮質激素 對持續性單關節炎、跖筋膜炎或跟腱炎病例局部套用甲基強的松龍40~80mg/d可能有效。過去認為全身套用腎上腺皮持激素有益,但現在已確定全身套用皮質激素,無論劑量大小對關節炎均無長久效益。
5.基它免疫抑制劑 嚴重病例用非甾體類抗炎藥無效時,可用硫唑嘌呤、環磷醯胺、氨甲蝶呤和6-硫基嘌呤。常用硫唑嘌呤每日1~2mg/(kg·d),4~8周可以獲效。其它藥物可根據患者情況選用可耐受劑量,對難治性或病程較長者有一定療效,但這些藥物毒副作用較大,用藥過程中必須密切觀察。

