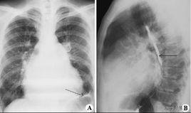
Kerley B線: 是由於肺間質水腫引起小葉間隔增寬,在兩肺下葉外側可形成水平線狀影,常位於肋膈角區,為長約1-3厘米、寬約1-2毫米的水平橫線,一般垂直於側肋胸膜(位於肋膈角上方與胸壁或膈肌垂直的條狀影子) ,是肺小葉間隔內積液的表現,是慢性肺淤血的特徵性表現。
相關詞條
-
Kerley B線
Kerley B線,是由於肺間質水腫引起小葉間隔增寬,在兩肺下葉外側可形成水平線狀影,常位於肋膈角區,為長約1-3厘米、寬約1-2毫米的水平橫線,一般垂...
-
克利線
克利線(Kerley lines)是胸部影像學下的一種影像學徵象,一般出現於間質性肺水腫患者。
簡介 相關疾病 種類 -
肺動脈高血壓
提示肺動脈高壓可能是心源性的;X 線胸片顯示大的肺靜脈血流再分布或Kerley’s B 線反映肺靜脈高壓,肺血增多主要發生於左向右分流性心臟病...線(Kerley’s B)及含鐵血黃素沉著陰影。 ③毛細血管前阻力增加...
病症介紹 症狀表現 症狀體徵 診斷檢查 治療方案 -
急性粟粒型肺結核
出現異常的線行陰影,肺中下野可見Kerley氏A、B、C線,(1...時間的延長和治療情況,演變為增殖、滲出、乾酪、纖維化、鈣化等病灶。X線...,此時胸透X線改變一般在發病後3~4周才能顯示。急性粟粒型肺TB隨著病情...
發病機制及病理變化 X線表現 鑑別診斷 臨床表現 治療方法

