簡介
克利線(Kerley lines)是胸部影像學下的一種影像學徵象,一般出現於間質性肺水腫患者。肺水腫的患者間質會被細胞及液體浸潤,呈現一絲一絲的不透明區。克利線是得名自愛爾蘭神經學家暨影像學家Peter Kerley。
相關疾病
發生肺水腫的患者常與心臟衰竭相關,其他非心因性疾病還包含肺纖維化、肺間質重金屬沉積、癌擴散等等。慢性的克利B線亦可能與肺纖維化或鐵質沉著症相關。
種類
克利A線
較長(約2 cm,最常可達6 cm),無分支,垂直肺周邊,朝向肺門。乃肇因於肺周圍與中心之間的淋巴管吻合擴張。克利A線較B線少見,會伴隨B線或C線出現,不會單獨出現。
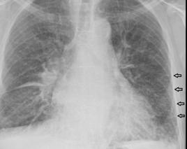
克利B線
位於肺周邊、水平的短線(通常小於1 cm)。克利B線即肺小葉中膈(interlobular septa)通常會與肋膜相接。B線可能出現於肺的任何區域,但最常見的地方是在肋橫膈角的位置。
克利C線
為最少見的克利線,較短、細,朝著橫隔。

