病因
病因可能為隱性或顯性遺傳,亦有人認為本病不屬於遺傳病。
臨床表現
由於呼吸道纖毛上皮的活動障礙,黏液纖毛運輸功能下降,分泌物不能排出,引起反覆長期的慢性感染,這就形成了支氣管擴張和副鼻竇炎的病理基礎。纖毛廣泛存在於呼吸道、中耳、輸卵管、精子鞭毛,以及腦、脊髓室膜等組織器官中,Kartagener綜合徵可同時伴有肺炎、傳導性耳聾、宮外孕、不孕不育及腦積水等。本病首次發病年齡常在兒童期,但易被誤診。反覆咳嗽、咳痰、咯血、鼻塞、流涕、頭昏、頭痛等,少數因不孕而就診。
多在15歲前發病,自幼開始反覆咳嗽,咳膿痰帶血絲或咯血,並有發熱、呼吸困難、發紺等,肺部聞及濕囉音。患者有慢性鼻炎、副鼻竇炎或鼻息肉,偶有眼結膜黑變病。全內臟轉位,並可伴其他畸形,如心房間隔缺損、心室間隔缺損、腦積水、唇裂、聾啞等。
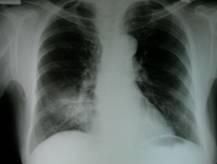
檢查
末梢血白細胞總數可升高。胸部X線檢查可見肺紋理增多,心臟轉位;支氣管造影可顯示支氣管擴張,多見於兩肺下葉。
診斷
對支氣管擴張伴內臟轉位的患者要考慮Kartagener的可能性。影像學檢查是臨床診斷Kartagener綜合徵的重要依據。胸部X線片、CT掃描、超聲檢查均可發現內臟轉位。
治療
主要針對鼻竇炎或呼吸道感染套用抗生素防治感染。嚴重支氣管擴張,頻繁咯血或感染,且局限於一側肺者,可考慮手術治療。可使用免疫調節劑,接種流感疫苗和(或)肺炎球菌疫苗,以增強抵抗力,有助於減少呼吸道感染。
Kartagener綜合徵的鼻竇炎的治療原則:
1.保守治療
包括在鼻竇及肺部疾病急性加劇期,根據分泌物培養結果明確致病菌後選擇敏感抗生素治療;伴有鼻息肉者可用鼻內糖皮質激素;對伴過敏性鼻炎者可使用抗組胺藥;局部可採用生理鹽水、抗生素(氨基糖甙類)或殺菌劑鼻內灌洗。在常規保守治療無效,尤其是鼻分泌物培養表明有耐藥細菌或存在特徵性病理改變時,或伴鼻息肉時,需手術治療。
2.手術治療原則
在切除不可逆病變基礎上,通過重建鼻腔、鼻竇通氣和引流途徑來改善鼻腔和鼻竇黏膜的形態和生理功能。目前隨著對本病的進一步認識和鼻內鏡手術的不斷發展,Kartagener綜合徵的鼻-鼻竇疾病,多主張採取較積極的手術治療。對其有效治療可能減輕支氣管、肺疾病的進展。
預後
可患有嚴重的併發症如心室間隔缺損,腦積水預後不良。

