疾病名稱
高血壓性腦出血 疾病分類
神經內科
症狀體徵
出血前多無預兆,50%的病人出現頭痛並很劇烈,常見 嘔吐、出血 後血壓明顯升高。臨床症狀常在數分鐘至數小時達到高峰,臨床症狀體徵因出血部位及出 血量不同而異,基底節、丘腦與 內囊出血引起輕偏癱是常見的早期症狀;約10%的病例出現癇性發作,常為局灶性;重症者迅速轉入 意識模糊或昏迷。
疾病病因
血壓增高是其根本原因,通常在活動和情緒激動時發病。
疾病概述
病因:高血壓病患者因情緒激動、過度腦力與體力勞動或其它因素引起血壓劇烈升高,導致已病變的腦血管破裂出
高血壓性腦出血 臨床症狀:臨床特點為突然出現劇烈頭痛,並且多伴有躁動、嗜睡或昏迷。血腫對側出現偏癱、瞳孔的變化,早期兩側瞳孔縮小,當血腫擴大,腦水腫加重,遂出現顱內壓增高,引起血腫側瞳孔散大等腦疝危象,出現呼吸障礙,脈搏減慢,血壓升高。隨後即轉為中樞性衰竭。
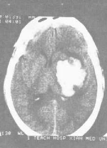
檢查:腦CT、磁共振掃描。
治療:高血壓性腦出血的治療是有選擇性的,出血較少的,可以採取內科治療,血腫較大時,及時開顱手術或行腦立體定向手術清除血腫。腦立體定向血腫吸除術。 非手術治療包括絕對臥床、鎮靜與穩定血壓,套用 脫水藥、 止血藥,保持水、 電解質平衡,支持療法,並注意保持呼吸道通暢。疾病描述 高血壓性腦出血常發生於50-70歲,男性略多,冬春季易發。
病理生理
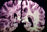
長期高血壓可促使深穿支動脈血管壁結構變化,發生微小動脈瘤。目前普遍認為,微小動脈瘤或小阻力動脈脂質透明樣變性節段破裂是腦出血的原因。
診斷檢查
中老年高血壓患者在活動或情緒激動時突然發病,迅速出現偏癱、失語等局灶性神經功能缺失症狀,以及嚴重頭痛、惡徒及意識障礙等,常高度提示腦出血可能,CT檢查可以確診。
治療方案
積極合理的治療可挽救患者生命、減少神經功能殘疾程度和降低復發率。
高血壓性腦出血患者生命、減少神經功能殘疾程度和降低復發率。 患者臥床,保持安靜。重症須嚴密觀察 體溫、 脈搏、 呼吸和 血壓等生命體徵,注意瞳孔和意識變化。保持呼吸道通常,及時清理呼吸道分泌物,西藥時吸氧,動脈血氧保護度維持在90%以上。加強護理,保持 肢體功能位。意識障礙和消化道出血者宜禁食24-48小時,之後放置胃管。 (1)血壓緊急處理。急性腦出血時血壓升高是顱內壓增高情況下保持正常腦血流的腦血管自動調節機制,套用降壓藥仍有爭議,降壓可影響腦血流量,導致低灌注或腦梗死,但持續高血壓可使腦水腫惡化。舒張壓降至約100mmHg水平是合理的,但須非常小心,分支個體對降壓藥異常敏感。急性期後可常規用藥控制血壓
(2)控制血管源性腦水腫:腦出血後48小時水腫達到高峰,維持3-5日或更長時間後逐漸消退。腦水腫可使顱內壓(ICP)增高和導致腦疝,是腦出血主要死因。常用皮質類固醇減輕腦出血後水腫和降低ICP,但有效證據不充分;脫水藥只有短暫作用,常用20%甘露醇、10%複方甘油和利尿藥如速尿等;或用10%血漿白蛋白。
(3)高血壓性腦出血部位發生再出血不常見,通常無須用抗纖維蛋白溶解藥,如需給藥可早期(6ml,血腫破入第四腦室或腦池受壓消失,出現腦幹受壓症狀或急性阻塞性腦積水徵象者;
重症腦室出血導致梗阻性 腦積水;
腦葉出血,特別是AVM所致和占位效應明顯者。
(4)手術禁忌症: 腦幹出血、大腦深部出血、澱粉樣血管病導致腦葉出血不宜手術治療。多數腦深部出血病例可破入腦室而自發性減壓,且手術會造成正常腦組織破壞。
(5)常用手術方法是:
①小腦減壓術:是高血壓性小腦出血最重要的外科治療,可挽救生命和逆轉神經功能缺損,病程早期病人處於清醒狀態時手術效果好;
②開顱血腫清除術:占位效應引起中線結構移位和初期腦疝時外科治療可能有效;
③鑽孔擴大骨傳血腫清除術;
④鑽孔微創顱內血腫清除術;
⑤腦室出血腦室引流術。
3、康復治療
腦出血患者病情穩定後宜儘早進行康復治療,對神經功能恢復,提高生活質量有益。如患者出現抑鬱情緒,可及時給予藥物(如氯西汀)治療和心理支持。
用藥安全
處於恢復期的病人,痰濁淤血症狀基本緩解,但病人體質虛弱,應注意飲食調理。
1、飲食宜清淡,宜食易消化、維生素含量高的飲食;
3、忌肥甘,戒菸酒。
參考資料
1.http://www.yongyao.net/jbhtml/gxyxncx.htm

