病因
食管癌的人群分布與年齡、性別、職業、種族、地域、生活環境、飲食生活習慣、遺傳易感性等有一定關係。經已有調查資料顯示食管癌可能是多種因素所致的疾病。已提出的病因如下:
1.化學病因
亞硝胺。這類化合物及其前體分布很廣,可在體內、外形成,致癌性強。在高發區的膳食、飲水、酸菜、甚至病人的唾液中,測亞硝酸鹽含量均遠較低發區為高。
2.生物性病因
真菌。在某些高發區的糧食中、食管癌病人的上消化道中或切除的食管癌標本上,均能分離出多種真菌,其中某些真菌有致癌作用。有些真菌能促使亞硝胺及其前體的形成,更促進癌腫的發生。
3.缺乏某些微量元素
鉬、鐵、鋅、氟、硒等在糧食、蔬菜、飲水中含量偏低。
4.缺乏維生素
缺乏維生素A、維生素B2、維生素C以及動物蛋白、新鮮蔬菜、水果攝入不足,是食管癌高發區的一個共同特點。
5.煙、酒、熱食、熱飲、口腔不潔等因素
長期飲烈性酒、嗜好吸菸,食物過硬、過熱、進食過快,引起慢性刺激、炎症、創傷或口腔不潔、齲齒等均可能與食管癌的發生有關。
6.食管癌遺傳易感因素。
臨床表現
1.早期
症狀常不明顯,但在吞咽粗硬食物時可能有不同程度的不適感覺,包括咽下食物梗噎感,胸骨後燒灼樣、針刺樣或牽拉摩擦樣疼痛。食物通過緩慢,並有停滯感或異物感。梗噎停滯感常通過吞咽水後緩解消失。症狀時輕時重,進展緩慢。
2.中晚期
食管癌典型的症狀為進行性咽下困難,先是難咽乾的食物,繼而是半流質食物,最後水和唾液也不能咽下。常吐黏液樣痰,為下咽的唾液和食管的分泌物。患者逐漸消瘦、脫水、無力。持續胸痛或背痛表示為晚期症狀,癌已侵犯食管外組織。當癌腫梗阻所引起的炎症水腫暫時消退,或部分癌腫脫落後,梗阻症狀可暫時減輕,常誤認為病情好轉。若癌腫侵犯喉返神經,可出現聲音嘶啞;若壓迫頸交感神經節,可產生Horner綜合徵;若侵入氣管、支氣管,可形成食管、氣管或支氣管瘺,出現吞咽水或食物時劇烈嗆咳,並發生呼吸系統感染。最後出現惡病質狀態。若有肝、腦等臟器轉移,可出現黃疸、腹腔積液、昏迷等狀態。
體格檢查時應特別注意鎖骨上有無增大淋巴結、肝有無包塊和有無腹腔積液、胸腔積液等遠處轉移體徵。
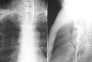
檢查
對可疑病例,均應做食管吞稀鋇X線雙重對比造影。早期可見:①食管黏膜皺襞紊亂、粗糙或有中斷現象;②小的充盈缺損;③局限性管壁僵硬,蠕動中斷;④小龕影。中、晚期有明顯的不規則狹窄和充盈缺損,管壁僵硬。有時狹窄上方口腔側食管有不同程度的擴張。B超檢查是否有肝臟等臟器轉移。實驗室檢查貧血程度和癌胚抗原檢測。CT檢查有無腦部、肺部等處轉移。
鑑別診斷
早期無咽下困難時,應與食管炎、食管憩室和食管靜脈曲張相鑑別。已有咽下困難時,應與食管良性腫瘤、賁門失弛症和食管良性狹窄相鑑別。鑑別診斷方法主要依靠吞鋇X線食管攝片和纖維食管鏡檢查。
治療
分外科治療、放射治療、化學治療和綜合治療。
1.手術治療
手術是治療食管癌首選方法。若全身情況良好、有較好的心肺功能儲備、無明顯遠處轉移徵象者,可考慮手術治療。一般以頸段癌長度<3厘米、胸上段癌長度<4厘米、胸下段癌長度<5厘米切除的機會較大。然而也有瘤體不太大但已與主要器官,如主動脈、氣管等緊密粘連而不能切除者。對較大的鱗癌估計切除可能性不大而患者全身情況良好者,可先採用術前放療,待瘤體縮小後再作手術。
手術禁忌證:①全身情況差,已呈惡病質。或有嚴重心、肺或肝、腎功能不全者。②病變侵犯範圍大,已有明顯外侵及穿孔徵象,例如已出現聲音嘶啞或已有食管氣管瘺者。③已有遠處轉移者。
2.放射療法
①放射和手術綜合治療,可增加手術切除率,也能提高遠期生存率。術前放療後,休息3~4周再做手術較為合適。對術中切除不完全的殘留癌組織處做金屬標記,一般在術後3~6周開始術後放療。②單純放射療法,多用於頸段、胸上段食管癌,這類患者的手術常常難度大,併發症多,療效不滿意;也可用於有手術禁忌證而病變時間不長,患者尚可耐受放療者。
3.化學治療
採用化療與手術治療相結合或與放療、中醫中藥相結合的綜合治療,有時可提高療效,或使食管癌患者症狀緩解,存活期延長。但要定期檢查血象和肝腎功能,並注意藥物反應。
預防
我國在20世紀50年代末就開始了食管癌防治的研究,在高發區農村建立防治研究點。對高發區人群中採取宣教和套用食管細胞學診斷方法開展普查,以求早期發現、早期治療,提高治癒率。
腫瘤靶向新技術--緩釋庫療法
圖緩釋庫療法的適應症
適應症:鼻咽癌、口腔癌、肺癌、食道癌、胃癌、腸癌;肝癌、膽囊癌、膽管癌、胰腺癌、腎癌、膀胱癌;子宮癌、卵巢癌、乳腺癌、前列腺癌、睪丸癌;甲狀腺癌、皮膚癌、惡性淋巴瘤、骨腫瘤、原發或轉移的各種實體腫瘤。

