顳窩纖維血管瘤
患者 男,15歲。右側鼻塞伴鼻出血1年余。
鼻咽鏡檢查:右側後鼻孔處可見紅色新生物,表現布滿血管網,質稍硬,邊界尚清。
臨床診斷:右側後鼻孔處新生物,性質待定。
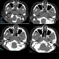
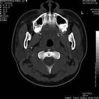
鼻咽部ct軸位平掃(層厚、層距均為5mm),圖像如下:
顳窩纖維血管瘤
顳窩纖維血管瘤
顳窩纖維血管瘤
顳窩纖維血管瘤358450m發言:右側上頜竇癌
顳窩纖維血管瘤zjzjr發言:典型的血管纖維瘤,建議增強.
xulianj發言:建議增強。惡性腫瘤可能大。
曼一拍發言:支持血管纖維瘤。
好發於青少年男性。
起源於翼內板,翼突上頜裂和蝶齶孔,主要累及篩竇,蝶竇和顱底。
臨床表現:進行性鼻塞,反覆大量鼻衄。
腫塊引起翼齶窩擴大,壓迫上頜竇後壁,使其彎曲,變形,並向前移位是本病的特徵性表現。
增強呈均勻一致強化。
影象小泰斗發言:病變不是在上頜竇!是周圍軟組織病變引起的,且突入上頜竇及篩竇內!考慮血管纖維瘤!
dyqct發言:不除外翼齶窩區神經纖維瘤。
結果:(華中科技大學同濟醫學院附屬同濟醫院)術後病理診斷:纖維血管瘤。
