簡介
根據國家食品藥品監督局的命名規則,開可敏原通用名(姜康牌薑黃銀參膠囊)從2013年4月15日起修改為姜康牌薑黃銀杏葉西洋參膠囊,並不再保留“開可敏”的商標名稱。
本品簡介
“開可敏”是湖南福湘生物技術有限公司根據西方現代醫學研究發
開可敏包裝現(UCLA楊福生研究員研究發現)“薑黃素能有效防治老年痴呆”的最新研究成果,融合傳統中醫藥理論,以“薑黃素為”主要成分,精選銀杏葉和西洋參提取物複方配伍,嚴格按國家規定生產並獲得國家藥監局正式批文( G20080088)與國家發明專利(國家發明專利號 ZL200610000923.2)的功能性保健品,經臨床與廣大服用者證實表明:“開可敏”可以有效防治老年痴呆,同時還有明顯的降血脂與防治心腦血管疾病功效。目前,湖南福湘生物技術有限公司正以同樣的配方進行藥品申報。
包裝規格
單瓶裝,60粒/瓶, 0.35g/粒 ;
開可敏包裝雙瓶裝,兩瓶,60粒/瓶, 0.35g/粒 ;
每100g含薑黃素44.5g;
銷售價格
420元/盒(含2瓶),能服用一個月;
適應人群
老年痴呆(阿爾茨海默病)、腦萎縮患者;記憶減退者;血脂高者等。
專家提示
按療程(四個月)服用效果更佳;
作用機理
原文見:美國加州大學洛杉磯分校(UCLA)戴衛·格芬醫學學院神經病學系論文
1:首先,“開可敏”可以突破“血腦屏障”,進入大腦,結合到老年痴呆斑上,從根源上溶解老年痴呆斑塊並防止老年痴呆斑塊繼續形成,同時解開神經細胞內神經絲纏結,從而恢復人體神經網路活力,達到預防和治療老年痴呆效果。 這個需要詳細解釋一下。首先必須了解什麼是神經網路。神經網路是神經細胞之間相互連線所形成的網路。大多數情況下,神經細胞之間並非直接相連,而是通過叫突觸的結構間接相連結。
圖1 神經網路通過突觸間接相連結神經網路是一個有生命的網路,各種內外信號刺激,神經細胞會形成更多突觸連結,建立更複雜網路。例如嬰兒剛出生時大腦就有數千億神經細胞,但僅有小部分神經細胞連線形成基本神經網路,維持基本生理功能。通過學習訓練,更多神經細胞形成突觸連結,神經細胞網路變得越複雜、技能、智慧就越高。一旦神經網路內神經信息接受、傳遞受阻,突觸相連的神經細胞便退化。如果持續信息阻礙,神經細胞就會漸進性死亡,而死亡的神經細胞不能再生,神經網路就會漸進性破壞,甚至回到嬰兒狀態。
圖2 神經網路是一個複雜的有生命的網路老年痴呆最重要的病理特徵之一就是神經細胞外逐漸沉積大量澱粉樣變性蛋白質,形成遍布大腦的病理斑塊(即老年痴呆斑)。老年痴呆斑不斷沉積會破壞神經細胞之間突觸連結,導致神經細胞漸進性死亡,神經網路破壞,造成記憶喪失、行為異常、生活不能自理。這就是大家所看到的老年痴呆病。
圖左 老年痴呆斑 圖右 神經絲纏結
老年痴呆斑及神經絲纏結形成過程圖“開可敏”的特點是突破“血腦屏障”,進入大腦,直接結合到老年痴呆斑上, 徹底溶解老年痴呆斑塊,並能有效阻止老年痴呆斑塊繼續形成,從而恢復神經細胞突觸之間連線,維護神經網路活力,起到防治老年痴呆,延年益壽目的。
圖6 電鏡結果:薑黃素透過血腦屏障圖6 電鏡結果:薑黃素透過血腦屏障(1、Curc.為薑黃素簡寫;2、綠色螢光為薑黃素結合部位)
電鏡結果:薑黃素阻止老年痴呆斑形成圖7 電鏡結果:薑黃素阻止老年痴呆斑形成(預防作用:此試驗在老年痴呆斑未形成前進行)
左圖:未添加薑黃素,形成老年痴呆斑及絲狀物;右圖:添加薑黃素,未形成斑塊
電鏡結果:薑黃素分解已形成老年痴呆斑圖8 電鏡結果:薑黃素分解已形成老年痴呆斑(治療作用:此試驗在老年痴呆斑形成後進行)
左圖:未添加薑黃素,老年痴呆斑及絲狀物越來越多;右圖:添加薑黃素,斑塊及絲狀物基本消失
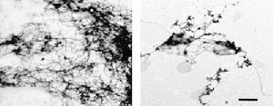
動物模型不同部位老年痴呆斑切片比較
動物模型不同部位老年痴呆斑切片比較圖8 動物模型不同部位老年痴呆斑切片比較(黑點為老年痴呆斑及纏結)
左圖:未添加薑黃素 右圖:添加薑黃素
2、過多氧自由基和氧化應激對人體器官或神經細胞的侵蝕,也是引發老年痴呆的一個原因,而“開可敏”可通過抗氧化作用起到預防和治療老年痴呆作用。
以氧為主導的氧化還原反應是生命重要代謝反應,其反應過程中產生的一種叫氧自由基的有害物質。自由基具有高度的氧化活性,它們極不穩定,活性極高,它們攻擊細胞膜、線粒體膜,與膜中的不飽和脂肪酸反應,造成脂質過氧化增強。脂質過氧化產物又可分解為更多的自由基,引起自由基的連鎖反應,這種反應類似多米諾骨牌效應。這樣,膜結構的完整性受到破壞,引起神經細胞、肝細胞、線粒體、DNA等廣泛損傷,從而引起各種疾病。例如氧自由基攻擊細胞的D N A,可以使它發生突變,成為癌變的前奏曲。簡單地說氧自由基和氧化應激是人體疾病、衰老和死亡的直接參與和製造者。
薑黃素對腦、心、肝、腎、脾等人體重要器官均具顯著抗氧化作用,可作為抗氧化劑而阻止過氧化,起到保護機體組織,延緩器官衰老、預防和治療老年痴呆作用。
3、“開可敏”可抑制多種慢性疾病的發生和進展,發揮多層次預防和治療老年痴呆作用。
許多老年痴呆病人,大都患有多種疾病,少則三五種,多的甚至十餘種,如高血壓、動脈硬化、高血脂、糖尿病、冠心病、腦中風及慢性支氣管炎等慢性病,而這些病與老年痴呆的發生均存在密切關係。對於這樣的患者,急需找到一種可將多種疾病同時治療的藥物,儘量減少服藥種類以降低藥物的副作用。而“開可敏”中有效成份薑黃素、銀杏葉提取物、西洋參提取物均同時具有多種藥理作用,如抗炎、抗腫瘤、降血脂、降血糖等,能使多種疾病逐步好轉或治癒,收到“多病同治”的功效,從而發揮多層次預防和治療老年痴呆作用。
臨床研究
2004年12月,以美國加州大學洛杉磯分校(UCLA)老年痴呆研究中心華裔科學家楊福生研究員為主要研究者的研究團隊成功證明:老年痴呆是可以治癒的,同時更是可以預防的。
朝聞天下報導薑黃素可防治老年痴呆世界衛生組織經全球調查統計,全世界60歲以上人群中老年痴呆發病率為4%~6%,而印度人同齡人群得老
年痴呆症比率僅為1%左右,這在亞洲乃至全世界都是很低的。楊福生博士通過近十年的大量實驗及研究證明:印度人得老年痴呆症比率低,源於印度人喜食咖哩食物,咖哩中含有大量的薑黃素,而正是薑黃素可以預防和治療老年痴呆症。(新華社:咖喱有助預防老年痴呆症
;CCTV:咖喱可預防早老性痴呆; 《參考訊息》:咖喱可防老年痴呆)
該研究成果(英文原著地址:Curcumin Inhibits Formation of Amyloid β Oligomers and Fibrils, Binds Plaques, and Reduces Amyloid in Vivo)在2004年12月版美國《生物化學月刊》(The Journal of Biological Chemistry,簡稱JBC)一發表,立即引起了世界性轟動,並在美、日、韓等國掀起了一股研究薑黃素的熱潮。
2007年7月,加州大學洛杉磯分校老年痴呆病研究中心COLE實驗室對福湘生物研製的"開可敏"和美方所用高純度薑黃素體外抑制老年痴呆病分子形成多聚體進行了體外比較研究。
實驗結果開可敏體外預防和治療老年痴呆效果優於單純的薑黃素。此外,該實驗室在同一個技術平台上,還將"開可敏"和美國正在開發的防治老年痴呆藥物進行了比較。研究結果亦表明"開可敏"在體外預防和治療老年痴呆效果優於美國同期進行試驗的其他藥物。(ULCA老年痴呆研究中心試驗檢測報告)
右一:唐北沙副院長2007年4月至2008年3月,在中南大學湘雅醫院老乾科進行了"開可敏"服用試驗(試驗指導:唐北沙教授,湘雅醫院副院長,著名神經內科專家;試驗負責人:王俊嶺博士)。試驗採用患者自願參與試服臨床試驗方法,共
觀察試服者380例,其中Ⅰ組(治療組)200例,Ⅱ組(預防組)180例,入組試服者口服膠囊,每次2顆,每日二次(因試服者是隨時增補,故無法統一療程)。
結果:試驗中脫落5例,其中失訪2例,因其它疾病停服2例,其它原因1例。資料完整者Ⅰ組170例,Ⅱ組180例;結果顯示開可敏療效Ⅰ組有效率76.5%,Ⅱ組有效率83.3%。
結論:"開可敏"能明顯改善老年性痴呆臨床精神症狀,提高生活自理能力,服用安全,對於老年性痴呆預防和治療有良好的效果。
媒體報導
UCLA楊福生博士有關老年痴呆成果論證會2005年4月24日,由湖南省政府辦公廳與湖南福湘生物技術有限公司共同組織召開“UCLA楊福生博士有關老年痴呆成果論證會”,奠定了福湘生物公司成立及對“薑黃素”防治老年痴呆等疾病的保健品、藥品研發與生產的基礎。
光大湘雅福湘生物聯手開發老年痴呆防治藥物中國光大投資管理公司、中南大學湘雅醫院、湖南福湘生物技術有限公司在長沙正式簽約,聯手開發老年痴呆病防治藥物。根據協定,光大投資在此項目中首期投資不少於1億元。
相關資料顯示,我國有600多萬老年痴呆病患者,然而尚無特效藥可以治療老年痴呆疾病,開發防治老年痴呆疾病藥物成為當務之急。業內人士透露,在美國,老年痴呆病防治藥物市場每年有上千億美元,而國內市場也達200多億元人民幣。光大投資負責人表示,中南大學湘雅醫院有極強的臨床科研實力,福湘生物公司開發了以薑黃素為核心的具有自主智慧財產權的成果,因此,光大投資公司對這次投資十分看好。福湘生物技術有限公司負責人譚高輝說,積極有效地預防老年痴呆、提高老年人生活質量是企業的社會責任。該公司成立以來,一直致力於中老年健康產品的研究與開發。公司自主研製的“開可敏”對老年痴呆有良好的防治效果。
昨日是“世界老年痴呆日”,福湘生物技術有限公司承辦的“金絲帶·健康行”走進湖南活動還邀請了衛生部北京老年醫學研究所所長黎健、美國加州大學洛杉磯分校老年痴呆研究中心楊福生博士等為200多名老年人義務講授了老年痴呆病預防知識。
中央保健委常務副主任耿德章為開可敏題名中央保健委常務原副主任耿德章(劉少奇的保健醫生、衛生部原副部長、衛生部保健局原局長、北京醫院原院長)先生在親自體驗福湘生物公司開可敏等相關產品功效的基礎上,對福湘生物充分利用薑黃素神奇功效、積極打造頂級科研創新團隊與引進國內外先進科研成果融合祖國傳統醫藥技術、致力於成為中老年健康事業旗幟的創舉給予高度肯定,欣然為“開可敏”題詞“開可心智,敏動中華”。希冀“開可敏”以及更多的薑黃系列產品能為護佑眾生、造福人類譜寫新的傳奇。”

