概述
從劉翔退賽看跟腱損傷
台北時間2008年8月18日,在“鳥巢”9萬人以及全世界數億觀眾的注視下,奧運會和世錦賽冠軍劉翔,以傷退這種令人意外的方式退出了衛冕之旅,就此揮別北京奧運會。劉翔的因傷退出,讓世界扼腕嘆息,也讓無數國人牽掛他的傷情。
跟腱是將兩塊主要小腿肌肉聯合到腳跟骨背面的大腱。運動員跟腱處的損傷,一般有兩種致病原因:急性損傷、慢性勞損。劉翔的傷屬於後者,是由於長期高強度訓練和頻繁比賽造成的的運動損傷積累所致,在田徑場上,這樣的損傷非常常見。在運動中做跑跳和從高處落地等動作時,身體為保持平衡,就會反覆過度牽拉跟腱,隨之跟腱周圍組織也受牽拉,並與跟腱摩擦,使疏鬆組織的小血管損傷,產生組織充血、水腫、滲出和變性,繼而組織增厚或粘連。
跟腱損傷這種慢性損傷初期在踝關節後下部有酸、脹或輕微的疼痛感,隨著病情的發展,可以變為持續性疼痛,特點是剛開始活動時疼痛感比較明顯,活動開後明顯減輕,而在休息以後病情又加重。這種有規律的疼痛,會使跨欄運動所需的後蹬力和爆發力直接受到影響,如果發炎的肌腱持續承受應力,還可能導致永久性損害,甚至造成肌肉的斷裂或者跟腱的斷裂。所以劉翔退出比賽是非常及時和必要的,如果硬撐著繼續比賽,可能會造成嚴重的後果,不但無法取得理想的比賽成績,還可能會嚴重影響其以後的運動生涯。
值得安慰的是,跟腱損傷雖然是比較難治療的運動員傷病,但這種傷病與骨傷等相比,情況又要相對好一些,通過採用雷射消炎、牽引拉伸、超聲療法以及電刺激療法等物理治療方法進行恢復治療,加上合理安排比賽、訓練的時間和強度,科學的休息調理,定時的冰敷和按摩等都可以緩解炎症,加速痊癒。
基本信息
跟腱損傷跟腱損傷、多為開放性損傷,偶有閉合性損傷。開放性損傷,處理不及時或處理不當會引起感染,跟腱感染,治療非常困難,將會嚴重影響關節功能。
症狀體症 :1、外傷後,跟腱處有傷口,斷裂處凹陷,足跖屈功能喪失。 2、閉合損傷,可捫到跟腱完整性消失,壓痛、足跖屈功能喪失。
診斷依據:1、有明顯外傷史。 2、有外傷傷口、跟腱斷裂處陷凹,足跖屈功能喪失。
治療原則:1、無論開放或閉合損傷,均應爭取早期手術治療。 2、陳舊性損傷,行跟腱重建術。
療效評價:1、治癒:肌力基本正常,關節功能完全或基本恢復。 2、好轉:肌力達3級以上,關節功能基本恢復。 3、未愈:肌力未達3級,或跟腱短縮,跛行關節功能受限。
專家提示:跟腱斷裂,不管開放或閉合損傷,均應早期治療。陳舊損傷、治療困難,效果也不太好。若處理不當,感染後,治療很困難,故傷後應早到醫院找骨科大夫及時治療。
致病原因
長期慢性勞損可致跟腱周圍炎
從病理生理角度分析其原因,可能是長期慢性勞損或不協調的訓練,致慢性跟腱周圍炎,炎症導致腱周微血管變性,造成缺血、缺氧及營養不良,使跟腱產生疲勞或部分斷裂,如此時不適當的爆發力超過其承受的能力,則可引發跟腱損傷。
正常情況下,肌-腱-骨複合體在受力方面是均勻一致的。在劇烈運動時,由於足部所處位置變動無常,主動肌收縮缺乏完全協同作用,引起力量承載不平衡,極易引起跟腱這個薄弱環節的損傷。在伸膝負重狀態下突然彈跳離地動作或空翻踏跳時,踝關節在極度背伸位(約70°)時,跟腱要經受高達700餘千克的力,因此這種受力方式是跟腱容易斷裂的重要因素。另外,由於跟腱炎局部使用糖皮質激素注射,雖然可能減輕毛細血管擴張、滲出性水腫,但由於抑制毛細血管的再生及代償,會加重缺血,也是導致跟腱損傷的因素。因此運動性跟腱損傷是在自身發生跟腱病或退行性變的基礎上發生的,創傷與積累勞損是其主要誘發因素。
臨床症狀
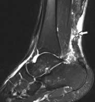
患者病史和年齡可提示診斷。臨床症狀有:(1)跟腱可見裂隙;(2)足抗跖屈阻力減弱;(3)再次行足抗跖屈阻力檢查時,在斷裂跟腱處側方擠壓缺乏“堅硬”感。X片上軟組織影、超聲以及MRI檢查均顯示跟腱缺乏連續性。
生理結構
當人們足跟離地以腳尖站立時,在足跟與小腿之間有一條很粗壯結實、繃得很緊的肌腱,這就是跟腱。它是由起於脛骨後面的比目魚肌與起於股骨內外髁的腓腸肌的兩塊肌肉的肌腱聯合而成,是人體最強有力的肌腱之一。人的行走、跑、跳就依仗著這條強有力的肌腱。跟腱若是完全斷了就會寸步難行。傳說古時候曾經有過把人的兩側跟腱砍斷作為一種刑罰。
運動員、練武的人和演員,要經常進行強度很大的跳躍、蹬腿等動作。超過耐受能力,可使跟腱勞損,周圍發生無菌性炎症,強度降低。當動作不協調,或用力過猛時,跟腱可被肌肉拉斷。這時,似乎有人在小腿後方用棍子敲了一下。跟腱部位隨之感到疼痛,皮下瘀血,局部漸漸腫脹,足踝活動不靈,不能用力蹬地。
對於一般人來說,在進行跑步、踢球等運動時,如果把力量都集中在腳部,或猛烈起跳,這一肌腱就會因承受不住力量而導致骨折或跟腱斷裂。
小腿上除了跟腱,還有其他幾根肌腱也具有一些跟腱的功能。所以雖然跟腱斷了,踝關節仍能做少許足尖向下、抬高足跟的動作。加之病人疼痛,檢查受到影響,可能誤以為是急性扭傷。肌肉具有很強的彈性,跟腱斷端向上回縮,時間長了,就難以拉下來。這時只得採取其他方法修補,效果不如即刻治療的好。
醫生揭秘
跟腱損傷劉翔到底受的是什麼傷?他何時才能重返賽場? 2008年8月18日,曾為劉翔療傷的復旦大學附屬華山醫院運動醫學科主任陳世益教授表示,導致劉翔退出比賽的是一種名為“跟腱止點末端損傷”的特殊疾病,而到目前為止,這類疾病尚無有效的治療方法,只能在教練員、運動員、醫生三方的密切配合下,經過短則半年,長則一年的調整期,傷情方有可能恢復。
陳世益教授進一步解釋說,“跟腱止點末端損傷”又稱之為“跟腱止點末端病”。之所以稱之為特殊的疾病,是因為這類疾病只發生在運動員和體育愛好者身上,一般人群中極少有此傷病。而導致這類疾病發生的主要原因還是在於跟腱在反覆奔跑和牽拉過程中造成的跟腱止點的變性損傷、脆弱,有時甚至會是斷裂。這類損傷除了發生在跟腱處外,同樣還有可能發生在膝關節、肘關節和肩關節。
陳世益介紹說,這類疾病從臨床症狀來看,主要表現為在運動時出現的疼痛。“那么,能否通過打封閉治療來及時止痛呢?”對於人們的這一疑惑,陳世益給出的答案是:“即使是打了封閉之後,也不一定能徹底止痛,而疼痛毫無疑問會直接影響到運動員的運動能力。”
正如教練孫海平所言,劉翔的傷情在六七年前就有,但奧運前夕突然加劇。陳世益回憶說,在2000年前後,劉翔曾因膝關節受損在華山醫院接受過治療。
對於此前有媒體曾報導稱,“劉翔從未有過傷病”這一說法,從事運動醫學研究的陳世益教授坦言,“沒有一個運動員身上沒有一點傷病。”之所以產生這樣的誤解,是由於在體育界對於明星運動員的小傷情往往採取對外不公開的保密原則。其實在國際各類大賽中,運動員因傷退出比賽這是一件十分正常的事。因為無論是運動員本人、還是教練員以及醫生都十分明了:“今天的暫時退出,是為了更好地恢復,爭取早日以良好的狀態重返賽場。”
陳世益教授說,希望人們了解、理解劉翔的傷痛,不要再給劉翔增加額外的心理負擔,讓劉翔安心地好好養傷,像以前一樣,靜靜地期待告別傷痛的劉翔繼續馳騁在國際賽場。
預防建議
預防跟腱受傷要特別注意,運動前,至少做20分鐘的熱身活動,把各關節、韌帶活動開;運動一定要循序漸進,慢慢加量。可經常做一些小負荷腿部運動,如縱跳、拉伸等,鍛鍊跟腱的承受能力。但如果在運動中出現腳後跟疼痛的現象,應該立即停止運動。
此外,向大家推薦兩個檢測跟腱是否損傷的方法:1、運動過後,是否時常感覺到小腿抽痛。2、端坐在凳子上,兩腳放平、著地,然後提起腳後跟,腳後跟是否有疼痛感。如果有,應及時去醫院檢查。
確定跟腱真的受傷了,應該分情況進行治療。走路時略感疼痛的人,可以用提高鞋子的後跟的方法,來緩解腿部與跟腱的拉力,從而緩解疼痛。建議使用專用的後跟墊,或自己做個海綿墊;情況嚴重的人,可用中藥外敷、熏洗等辦法緩解疼痛。此外,不要在鬆軟的地上跑步,這樣會加重病情;每次運動完,最好用冰敷跟腱。
治療原則
早期手術是功能恢復的關鍵
運動性跟腱損傷早期手術治療是跟腱功能恢復的關鍵,非手術治療很難使回縮的斷端對合滿意,缺損處最終由瘢痕連線,使跟腱相對延長,影響功能恢復且跟腱再斷髮生率高。因此,對於新鮮跟腱損傷,若無禁忌症,最好立即手術修復。儘管非手術治療給傷者帶來的痛苦較少,但自體腱組織的再生修復能力有限,非手術治療不能保證斷腱對端密切接觸,間隙內填充的新生組織改建成腱纖維常需要很長時間。另外,跟腱損傷的治療應避免腱部分變長,這一點非手術治療很難做到。因此,對於大多數運動性跟腱損傷者,手術治療應作為首選方法。
運動傷害
| 運動員在體育鍛鍊和競技比賽的時候,人體各部位很容易受傷,本詞條的任務通過編輯介紹運動員容易受傷的部位和應採取的預防措施,儘可能減少傷害事故的發生。 |

