流行病學
賁門黏膜撕裂綜合徵多發生於30~50歲的中年人,以男性多見,男女之比為1.3∶1~9∶1,平均為3∶1~5∶1。
病因
賁門黏膜撕裂綜合徵常在劇烈嘔吐後發生,酗酒是常見的原因,許多其他疾病,如潰瘍病、消化道惡性腫瘤引起的腸梗阻、尿毒症、萎縮性胃炎,妊娠劇烈嘔吐、分娩、劇烈運動、偏頭痛用力排便等的亦與Mallory-Weiss綜合徵有關,特別是合併裂孔疝甚為常見。Sato等(1989)報告的病例合併裂孔疝高達91%,並認為裂孔疝是發生Mallory-Weiss綜合徵的易感因素之一,亦有人發現這類病人常有出、凝血功能紊亂。
發病機制
賁門黏膜撕裂綜合徵1.發病機制發生賁門黏膜撕裂的機制尚不完全清楚一般認為是因嘔吐時胃內容物進入痙攣的食管加之膈肌收縮,使末端食管內壓力急劇增高而引起賁門部的黏膜撕裂有人用屍體進行研究當胃內壓持續至150mmHg,同時阻塞食管時,可以引起食管胃連線部的撕裂,並發現正常健康成年人噁心時胃內壓可達200mmHg。不少人認為發生賁門黏膜撕裂綜合徵的機制與自發性食管破裂相似可以是食管全層破裂並引起食管穿孔,也可僅為食管壁內血腫或僅有黏膜撕裂。
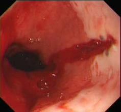
2.病理及分期撕裂部位大多數在食管末端或跨越食管胃連線部,多為線形單處撕裂,但亦有2處甚至多處撕裂者,撕裂多在黏膜皺襞間溝內。據一組224例Mallory-Weiss綜合徵報告中83%撕裂位於食管胃連線部的小彎側(圖1)。早期可見有活動性出血,或有血凝塊或纖維素塊覆蓋,以後甚至可形成淺表潰瘍本病病理上可分為4期:
(1)出血期:正在出血,病後24h內
(2)開放期:創口裂開,邊緣隆起,48h~7天。
(3)線狀期:裂口呈線狀接近閉合,上有白苔附著,歷時1~2周。
(4)瘢痕期:白苔消失,瘢痕形成為時2~3周。
臨床表現
賁門黏膜撕裂綜合徵1.嘔吐或噁心據大量文獻報導幾乎所有的Mallory-Weiss綜合徵病人發病時都有嘔吐或噁心,有的病人嘔吐並不劇烈,但同樣可以發生Mallory-Weiss綜合徵,可見嘔吐的劇烈程度與該綜合徵的發生並非呈因果關係或者平行關係。但約9%的病人則是噁心嘔吐以外的病因所致。比如因其他疾病進行手術治療的病人在麻醉過程中出現呃逆時亦能發生Mallory-Weiss綜合徵。
2.嘔血或黑便嘔血或黑便是Mallory-Weiss綜合徵病人的第2個重要臨床症狀,病人自嘔吐至發生嘔血的間隔時間長短不一。有的病人在嘔吐後隨即便有嘔血,而有的病人卻在發生劇烈嘔吐症狀的幾天后才出現嘔血或者黑便。
診斷Mallory-Weiss綜合徵的1條重要線索是病人往往有嘔吐1次或者幾次正常胃內容物之後才有嘔血或大量黑便的病史。然而有些病人一發病便表現為大量嘔血,而且為無痛性嘔血呈大量鮮紅色血液若得不到及時治療,病人多因失血性休克而死亡。
3.上腹部疼痛Mallory-Weiss綜合徵病人有時伴有上腹部疼痛,但大多數病例則無腹痛症狀。上腹部疼痛可在嘔血後很快出現,亦可在嘔血之前出現。有的病人在噁心嘔吐前自覺上腹部有撕裂樣疼痛,呈持續性;有的病人自覺腹痛的位置較深。據Freeark等(1964)報導,這種病人在剖腹探查時發現賁門部黏膜下有廣泛出血。個別食管賁門黏膜完全撕裂的病例,上腹部疼痛是突出的臨床症狀,因其腹痛劇烈,上消化道的出血症狀容易被忽略,是造成誤診的原因之一。
4.休克病人大量嘔血可導致失血性休克威脅其生命安全。大部分Mallory-Weiss綜合徵病人的出血為輕~中度只有少部分病人為大出血。緩慢而持續性的嘔血或間斷的嘔血同樣可使病人發生失血性休克。絕大部分Mallory-Weiss綜合徵病人的上消化道出血症狀可以自行停止,不需要外科手術治療。10%以下的上消化道活動性動脈出血或大量靜脈出血則是長期門靜脈高壓與食管靜脈曲張破裂所致在診斷Mallory-Weiss綜合徵時要注意這種情況,仔細進行鑑別診斷。
在Miller和Hirschowitz(1970)報導的23例病人中,有1例嘔血病人內科保守治療無效,病人因心跳驟停而死亡,而經外科手術治療的6例全部治癒。因此,需要外科手術洽療的Mallory-Weiss綜合徵病人,不能延誤手術時機。
併發症:
最常見併發症是出血(失血),如果嘔血或便血應立即就診。
診斷
酗酒、妊娠消化性潰瘍、肝硬化、腸梗阻、停服抗酸藥或食物中毒病人在嘔吐後出現上消化道出血症狀時應考慮本病的可能應在發病後24h內行胃鏡檢查。鏡下見胃食管結合部黏膜有縱行撕裂傷,或雖無明顯食管及胃黏膜損傷,但有出血來自食管-胃結合部即可確診。
鑑別診斷:
由於引起上消化道出血的原因甚多而且這類病人亦常伴有淺表性胃炎裂孔疝、十二指腸炎或其他胃、十二指腸疾病,因而須鑑別清楚。
檢查
賁門黏膜撕裂綜合徵1.胃鏡檢查Mallory-Weiss病變多位於食管-胃結合部,因此胃鏡檢查診斷價值優於食管鏡檢查。
Millet和Hirschowitz(1970)報導的23例Mallory-Weiss綜合徵中,19例經胃鏡檢查而確診。其中12例在內鏡下可見胃食管結合部黏膜有縱行撕裂傷,占55%;7例(30%)在內鏡下看不到食管及胃黏膜有明顯損傷,但仍然可見出血來自食管-胃結合部;3例在做胃鏡檢查時因胃內充滿血液,檢查不滿意,無法作出診斷;1例未做胃鏡檢查手術探查時發現食管下段黏膜撕裂並發出血。由此可見Miller和Hirschowitz報導的23例:Mallory-Weiss綜合徵中,85%(19/23)都是經胃鏡檢查後才作出診斷的。胃鏡檢查對這一綜合徵的診斷具有其他檢查不能代替的診斷價值,只要無禁忌證都應首先做胃鏡檢查。
2.上消化道鋇餐造影上消化道鋇餐造影檢查對Mallory-Weiss綜合徵並不能顯示食管賁門部黏膜的撕裂性病變其主要作用乃是為了排除其他原因引起的上消化道出血但是也有一些作者報導食管賁門部的黏膜撕裂嚴重時,上消化道氣鋇對比造影檢查可以顯示病變,表現為黏膜撕裂處有鋇劑充盈徵象。
3.選擇性腹腔動脈造影據文獻報導,有的作者採用選擇性腹腔動脈造影檢查可以顯示上消化道出血的具體部位,作出Mallory-Weiss綜合徵的診斷。
大量臨床實踐表明,許多不明原因的上消化道大出血病人因內科保守治療無效而進行外科手術探查時才證實為Mallory-Weiss綜合徵。根據一些作者所做的回顧性分析,認為有的病人在術前有典型的Mallory-Weiss綜合徵的臨床特徵,可以診斷為Mallory-Weiss綜合症,而且這些病人中的絕大多數作了手術探查,術中切開胃前壁後便明確出血的具體部位。
治療
賁門黏膜撕裂綜合徵一般情況下Mallory-Weiss綜合徵首先選擇內科治療積極糾正凝血因子的缺乏或凝血障礙。
1.非手術治療Mallory-Weiss綜合徵的內科治療手段主要有用含有去甲腎上腺素(norepinephrine)的冰鹽水灌洗胃、輸血、靜脈滴注止血劑與組胺H2-受體阻滯藥(如泰胃美cimetidine或雷尼替丁ranitidine)靜脈輸液及胃腸減壓等措施。
(1)去甲腎上腺素(norepinephrine)的冰鹽水灌洗胃:去甲腎上腺素對平滑肌,特別是對血管平滑肌有較強的收縮作用通常在250ml冰鹽水內加去甲腎上腺素8mg經胃管注入到胃內,保留20~30min吸出,重複灌洗,有較好的止血作用。
個別病例用神經垂體血管升壓素(vasopressin)治療有效,上消化道的出血能得到控制。
(2)輸血:補充血容量是治療Mallory-Weiss綜合症的重要措施可以預防失血性休克。據Freeark等的經驗,輸血量自2000ml~9500ml不等,平均輸血量為5770ml。需要外科治療的病例,術前要做好大量輸血的準備。
(3)腹腔動脈栓塞術:有作者報導用選擇性的腹腔動脈栓塞術(栓塞胃左動脈及其分支)治療Mallory-Weiss綜合徵,認為止血效果滿意。但食管賁門黏膜撕裂嚴重病變多發的病例,這種療法難以奏效。
(4)內鏡下止血:有作者報導在內鏡下用去甲腎上腺素溶液浸泡的棉拭子塗抹Mallory-Weiss病變的局部,或通過內鏡對撕裂處的活動出血點進行電凝止血,部分病例可以達到治癒的目的。
(5)三腔管進行壓迫止血:近年來多數作者不主張對Mallory-Weiss綜合徵病人用三腔管進行壓迫止血,因為三腔管內的壓力不足以壓迫制止上消化道動脈出血。手術探查或屍檢證實三腔管內的套囊不但未能起到壓迫止血的目的,反而使食管賁門黏膜的撕裂傷加重出血量增加。
2.手術治療
(1)手術指征:①上消化道出血經正規內科治療而不能停止者或者轉化為大出血者;②上消化道大出血經內科保守治療後出血停止但又復發,而且出血量大,繼續內科治療估計難以控制者;③病人大量嘔血、病情危重者。
Mallory-Weiss綜合徵在臨床上往往診斷為“不明原因的上消化道大出血”而進行手術探查的實際上Mallory-Weiss綜合徵只不過是引起上消化道出血的原因之一。
(2)術前準備:評估出血量;行胃鏡檢查,明確出血的具體部位;排除食管靜脈曲張破裂引起的出血。手術探查全麻下進行。
(3)手術步驟:
①病人取仰臥位,行上腹部正中切口或旁正中切口,逐層剖腹。開腹後,首先對胃與十二指腸進行觸診,排除其他原因引起的上消化道出血。絕大多數Mallory-Weiss綜合徵病人的胃與十二指腸在望診及觸診時屬於正常很難發現出血的部位和病變。
②待望診和觸診結束後,暫不游離胃與食管下段,在胃大彎與胃小彎之間的中1/3胃前壁做一斜形切口切開胃,顯露胃腔,用吸引器吸除胃內的血液及血凝塊再用一塊小紗布暫時堵住胃幽門,仔細觀察上消化道的出血來源(圖2) 。
③若看到出血來自幽門以上而看不到出血性病變須將胃前壁切口兩端各延長4cm,使切口上、下兩端距幽門與食管-胃結合部各約4cm。將胃壁切口向左、右兩側及向外翻開,便可清楚的顯示整個胃腔黏膜並進行檢查,但仍然看不到食管-胃結合部的黏膜。在這種情況下術者可用一把中彎血管鉗夾住胃腔內胃管的前端,並請麻醉師在病人的外鼻孔處固定住胃管,術者用適當的拉力向下、向前牽引,用血管鉗夾住的胃管的前端,便能將賁門黏膜連同食管下段的灰白色黏膜帶到手術野,並能顯露食管-胃結合部黏膜皺襞的深處或凹陷處,進而可以發現食管賁門黏膜的撕裂與出血(圖3)。若再用Deaver拉鉤或S形拉鉤伸入胃腔略加牽拉更有助於手術野的顯露。
④將凡能肉眼可見的食管賁門黏膜撕裂處黏膜及黏膜下活動性小動脈(靜脈)出血點逐一結紮(縫扎)止血或電凝止血,之後將每一條黏膜撕裂口連同黏膜下層及肌層在胃腔內進行連續縫合(圖4)。縫線最好選用5-0可吸收縫線,先從黏膜裂口的下端向上縫合,縫合到黏膜裂口的上端後打結;還可從黏膜裂口上端返轉縫針再向下同法縫合1次,使兩次縫線相互交叉縫合到裂口下端後打結這種雙重交叉連續縫合法修補食管賁門黏膜撕裂的止血效果更為可靠。但要注意在縫合黏膜裂口時多帶一些裂口深部的肌層組織,以預防縫合後在黏膜下形成血腫或肌層撕裂處繼續出血。縫合結束後要反覆仔細檢查縫合處有無出血,凡出血點都要止血。
⑤遇到食管賁門穿透性全層撕裂病例時,先用可吸收縫線從胃腔內連續全層內翻縫合法關閉裂口,再用小圓針細絲線間斷縫合裂口的漿膜層或漿肌層(外膜),其後再用帶蒂膈肌瓣或心包片縫合覆蓋裂口處,使裂口的修補更為安全可靠預防術後撕裂口瘺。
⑥用間斷或連續內翻縫合法縫合關閉胃前壁切口。術前有食管裂孔疝或胃食管反流症狀的病人,應同時施行抗反流手術,如胃底摺疊術(fundoplcation)。有些作者提倡在縫合關閉胃前壁切口後,在胃前壁另行切口安裝1根胃造瘺管用以術後胃腸減壓。其優點是手術結束後便可拔除鼻胃管,避免胃管繼續壓迫食管賁門黏膜撕裂處而引起繼發性出血。另一些作者則主張術後仍用鼻胃管進行胃腸減壓這兩種意見均有可取之處現在臨床上對Mallory-Weiss綜合徵施行外科手術治療後,一般都用鼻胃管進行胃腸減壓。
⑦逐層縫合腹部切口關腹。
3.術後處理Madlory-Weiss綜合徵病人的術後處理包括:
(1)術後1周內禁食持續胃腸減壓,嚴密觀察胃腸引流液的性質與量警惕術後上消化道出血復發。
(2)採用胃腸道外高營養療法維持病人的營養注意糾正水與電解質失衡及酸鹼平衡紊亂;用高效廣譜抗生素預防腹腔及切口感染
(3)根據病情於術後第5天或第7天拔除胃管(胃造瘺管應在術後第10天拔除)。
(4)停止胃腸減壓,逐漸恢復經口進食
(5)及時處理術後併發症。
4.手術效果1964年Freeark等報導的12例Mallory-Weiss綜合徵經外科手術縫合縫補止血後,7例治癒,3例死於術後肺炎合併急性肝功能衰竭或心肌梗死2例死於術後胃壁切口瘺
有作者報導13例不明原因的上消化道大出血病人在剖腹探查時未找到出血原因但經“盲目”胃次全切除術後出血停止,病人痊癒。也有作者報導原因不明的上消化道大出血病人在接受“盲目”胃次全切除術後死亡,最後發現出血原因為Mallory-Weiss綜合徵。臨床經驗一再表明Mallory-Weiss病變若在手術探查時漏診,病人往往在術後死於上消化道大出血。
據近年來的大宗病例報導Mallory-Weiss綜合徵的手術療效滿意術後出血復發的病例罕見,手術死亡率在5%以下。
治療方法的選擇主要根據出血的嚴重程度,病員的全身情況及有無其他並發疾病等來決定。過去,對這一綜合徵的手術率高達46%,但最近所報告的資料手術率明顯下降在無嚴重大出血時通常可採用非手術治療。但應及時補充血容量,預防呼吸道誤吸禁食及套用抑制胃酸分泌的藥物(如H2受體拮抗藥)密切監測血流動力學變化,儘可能糾正凝血功能紊亂其他非手術治療措施與潰瘍病出血相同可用冰鹽水洗胃,口服甲氰咪胍,靜脈滴注腦下垂體後葉素和維生素K等,亦可氣囊壓迫止血。最近有用聚氨脂薄膜製作的透明食管氣囊,經內鏡插入胃內,在直視下觀察壓迫止血情況,比過去用的Sengstaken-Blakemore氣囊壓迫止血法有以下優點:
(1)止血成功率高,幾乎達100%
(2)本法可在直視下觀察出血是否停止。
(3)能較長時間持續使用凝血功能障礙者也可能止血。
(4)這種氣囊質量好對周圍的壓力均勻一致。
(5)選用較低的有效止血壓力持續12~24h,多能止血,即使長時間留置也不易引起食管損傷。
Nusbaum介紹了經胃左動脈選擇性滴注血管加壓素來控制出血,取得了很好的止血效果,並可在動脈造影檢查明確出血部位即施行。內鏡治療亦有許多成功的經驗,包括電凝止血ND∶YAG雷射治療及局部硬化劑注射等。Bataller等報告50例Mallory-Wiess綜合徵13例有活動出血,均在內鏡下採用硬化劑(1/10000腎上腺素+1%娶多卡醇Polidocanol)注射治療全部獲得成功。
5.賁門黏膜撕裂綜合徵大多數經非手術療法可以治癒,但有以下情況仍需手術治療:
(1)危及生命的大出血Hlastings(1981)報告,輸血少於500ml無需手術治療輸血達1500ml以上者,則需考慮手術;輸血在2000ml以上者77.8%需要手術。
(2)經積極治療仍有反覆出血者
(3)可疑有食管破裂者。
手術一般比較容易,高位胃切開後,仔細探查賁門、胃底及食管-胃連線部,如發現賁門部之黏膜撕裂,連續縫合即可達到止血目的。但應注意小的不明顯的撕裂可被遺漏,曾有因此導致術後死亡的報告。某些作者同時行迷走神經切斷和幽門成形術,試圖控制可能的病因因素,但一般並不需要,少數病例需行胃大部切除術。
預後預防
預後:
最近報導8.5%~30%的賁門黏膜撕裂綜合徵病人需行手術治療,手術死亡率為0~10%,非手術治療的死亡率為0~14%。復發出血者少見,預後多較好,特別是未飲酒者。復發出血的高危因素是伴有門脈高壓者。
預防:
避免過量飲酒。儘早設法緩解嘔吐和咳嗽。

