角膜鱗狀細胞癌基本簡介
角膜鱗狀細胞癌英文名:corneal squamous cell carcinoma
別 名:角膜鱗狀上皮細胞癌
角膜鱗狀細胞癌(corneal squamous cell carcinoma)為來源於角膜上皮的惡性腫瘤。原因不明,可原發於健康的角膜上皮,也可以是角膜上皮內上皮癌(原位癌)突破上皮基底膜侵犯深部角膜所致。本病發展緩慢相當長時間內只在局部生長,惡性程度低,很少轉移到鄰近淋巴結,遠處轉移者更少。
發病原因
可能與紫外線照射以及人乳頭狀瘤病毒(HPV)感染有關,具體病因不清。
流行病學:
患者以中年男性居多,50~70歲為發病高峰。在熱帶地區易發,可能與紫外線照射相關。
發病機制:
據推測紫外線照射等因素可引起DNA受損,當DNA修復延遲或失敗時,導致體細胞突變和腫瘤細胞發展。發生在眼球表面的上皮癌惡性程度較低。
臨床表現
角膜角膜鱗狀細胞癌有3種蔓延方式:
1.向外生長,在眼球表面形成腫塊,深部浸潤少,與周圍結膜界限分明。
2.沿角膜、結膜表面蔓延,呈扁平生長,向前侵犯角膜,向後累及球結膜及上下穹隆部結膜。腫瘤呈菜花狀或圍繞角膜緣形成環行腫塊。
3.一旦前彈力膜被腫瘤細胞穿破,基質很快受累,因後彈力層構成一道屏障,阻止了腫瘤細胞的侵入因而沿角膜緣血管網侵入鞏膜靜脈竇,進入眼內,在虹膜睫狀體、房角脈絡膜上腔內形成轉移性病灶。
腫瘤可在相當長時間內局限於角膜表層生長速度相對較慢,且不常轉移到鄰近的淋巴結。與眼瞼或其他部位的鱗狀細胞癌相比,其惡性程度較低極少數病例在數月內或數年後發生遠處轉移而死亡。
併發症:
可周邊侵犯產生角膜炎及虹膜睫狀體炎。
診斷檢查
實驗室檢查實驗室檢查:
1.HPV基因檢測 套用單克隆抗體及檢酸雜交技術在患者體內檢測HPV基因型。
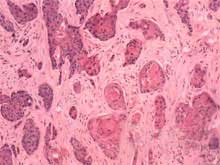
2.病理學檢查 可見角膜上皮異常增殖,層次變厚,鱗狀細胞呈乳頭狀增生基底細胞變大,且有明顯的大小不一,排列不整可出現角化或不全形化,細胞極性紊亂,有異形性,可見核分裂象,其特徵是癌細胞突破上皮基底膜侵犯角膜實質層。
科學治療
蜈蚣術虹膜角膜角鏡和眼底檢查,有助於排除腫瘤眼內蔓延的可能性。對穹隆部已受累的病例眼球摘除無助於本病的根治除非考慮眶內容剜出,不過這種病例為數罕見。
原發於角膜而不涉及角膜緣和結膜的鱗狀細胞癌很少見。但其腫瘤特性與波及結膜及角膜緣者相似,局部切除加冷凍治療可望治癒而無復發。
中藥治療
紅花內服煎劑:夏枯草 龍膽草 神曲 山豆根 山慈菇 山茱萸 栝樓 玄參 丹參 桃仁 薏苡仁 紫草 山甲珠 鹿角霜 甘草。局部疼痛加元胡 鬱金 乳香 沒藥 九香蟲;或元胡 川楝子 木香;或元胡 白芍 香附;或金銀花 白芷;或川烏 草烏;或三棱 莪術;或丹皮 丹參;或加重細辛;或全蠍 蜈蚣;頭痛加羌活 白芷 川芎;或白芷 菊花 薄荷;或元胡 蔓荊子 川芎;頭痛久劇加全蠍 水蛭 蜈蚣;頭痛頭暈加夏枯草 石決明 槐花 菊花 鉤藤;或川芎 菊花 石菖蒲;或菊花 夏枯草 代赭石;頭痛有熱加蘆根 白茅根 石膏 犀角;以上方劑每日1劑水煎服,30劑為一療程。
內服散劑:九節菖蒲 蘆薈 西洋參珍珠 海馬 蜈蚣 冬蟲夏草。傳統中藥炮製後研細末,每日服3次,每次1~2克。如吞服粉劑有困難者,可將藥粉裝入膠囊,每膠囊裝0.5克,每次服2~4粒。
外用敷劑:生地黃 蓬莪術 天葵子 當歸 川芎 赤芍 山慈菇 山萸肉 栝樓 丹參 薏苡仁 半夏 南星 天麻 白芷 紫草 桃仁 紅花。水煎,局部濕敷,每次20~30分鐘,每日1至3次。
預後預防
預後與腫瘤的發展階段密切相關。
預防:
注意眼部的防護。
病例分析
結膜鱗狀細胞癌為低度惡性腫瘤,容易發生在上皮細胞組織性質改變之處。角結膜交界處是這類腫瘤的好發部位,瞼裂部顳側角膜緣患病率最高,其次為球結膜,沮阜及瞼結膜。本組病例發生於顳側瞼裂部有3例,球結膜1例,瞼結膜穹窿部2例,鼻側角膜緣1例。發生於角膜緣處病變早期為灰白色膠樣隆起,無蒂,表面有草莓樣血管,生長緩慢,可以相當長時間停留在上皮表層,而不向深層浸潤,後期可明顯增大表面潰爛成菜花狀外觀,逐漸向四周及深層侵犯,始引起患者及醫生的注意。有些可經鞏膜靜脈竇,睫狀前管或沿血管周圍和神經周圍的淋巴間隙侵入眼內。右眼球結膜米粒大小腫物10餘年,反覆出現潰爛出血,漸至右眼失眼才來就診,檢查見腫物已侵入眼內,並波及瞼結膜及球結膜,故行眶內容剜出術,術後放療,後死於腦轉移。
腫瘤的發展和蔓延主要分為三種類型,一種主要向外發展在眼球表面形成巨大腫塊。另一種是沿著角膜結膜表面蔓延,形成扁平的灰白色隆起,甚至累及穹窿部位和瞼結膜,有時還可圍繞角膜緣形成一個環形腫物。最少見的一種是向深部浸潤,特別是在角膜緣附近向深部浸潤到鞏膜靜脈竇,並由此經濾簾進入眼內,在虹膜表面,睫狀體外側及前房或脈終膜上腔內,形成繼發的癌灶,嚴重破壞眼的功能,最後向眼眶深處蔓延,組織學上分為3型,(1)乳頭狀瘤型:表面有類似石榴子樣乳頭。(2)皮脂腺型:發生在角膜緣周圍形成環狀,發生於淚阜呈囊樣。(3)彌散型:該型惡性程度高,可向眼球內浸潤,經淋巴向遠處轉移。本組彌散型2例,組織分化為未分化鱗癌,均行眶內容剜出術,其中1例已死亡。
結膜鱗狀細胞癌的治療,在早期病例特別是向外生長型只需局部切除即可。除非範圍過大或浸潤太深,一般不需要做眼球摘除手術。在晚期,如病變已累及瞼結膜或穹窿結膜時應行眶內容剜出術。手術前應在腫瘤周圍電凝一圈,然後切除。術後行放射治療,小於1 cm直徑腫瘤採用接觸放射療法,應儘量避免損傷晶體。腫瘤範圍較廣的採用深部放射療法。本組5例局部切除+放療,手術視具體情況而定,儘可能完全切除腫塊並保留視功能。其中1例術後復發作角膜緣鞏膜板層切除並做口唇黏膜移植。2例累及瞼結膜者作瞼板切除。5例術後採用接觸放射治療,均保存了原有的視力。2例浸潤型晚期患者雖做眶內容剜出術,術後深部放療,但預後不佳。
臨床上應與其他結膜腫瘤相鑑別。尤其是Bowen氏病。Bowen氏病屬上皮內上皮瘤,組織切片見表皮增厚,但其基底膜完好。一般愈後良好,其次與乳頭狀瘤相鑑別,其癌體呈灰紅色可有蒂或無蒂生長。乳頭狀癌多有結締組織蕊,覆蓋增殖上皮。早期診斷時應特別慎重,必須與春季卡他,瞼裂班、翼狀胬肉等相區別。
症狀
本病多見於50歲以上的老年人,男性多於女性。好發於瞼裂部角膜緣部位,以顳側最常見。可原發於角膜,但多同時侵犯角鞏緣和結膜。初起時病變為灰白色結節,漸向角膜內發展形成翼肉樣或乳頭狀腫物,有時腫瘤呈膠樣隆起,基底寬,富於血管,長大後見腫物表面凹凸不平呈菜花狀,並有潰瘍,腫物周圍血管擴張明顯。當有繼發感染時,常在結膜囊內有漿液膿性分泌物。由於有角膜前彈力層屏障阻擋,使腫瘤多向球結膜及角膜表面蔓延生長。角膜鱗狀細胞癌惡性程度低,在相當長時間內局限在上皮層與基質淺層,少數情況下腫物侵犯深部及經Schlemm管向眼內擴展。淋巴結轉移者少見,即使局部淋巴結腫大,也多是由於繼發感染性炎症所致,只有極少數病例在數月或數年後發生遠處轉移而死亡。
角膜鱗狀細胞癌有3種蔓延方式:
1.向外生長,在眼球表面形成腫塊,深部浸潤少,與周圍結膜界限分明。
2.沿角膜、結膜表面蔓延,呈扁平生長,向前侵犯角膜,向後累及球結膜及上下穹隆部結膜。腫瘤呈菜花狀或圍繞角膜緣形成環行腫塊。
3.一旦前彈力膜被腫瘤細胞穿破,基質很快受累,因後彈力層構成一道屏障,阻止了腫瘤細胞的侵入,因而沿角膜緣血管網侵入鞏膜靜脈竇,進入眼內,在虹膜、睫狀體、房角、脈絡膜上腔內形成轉移性病灶。
腫瘤可在相當長時間內局限於角膜表層,生長速度相對較慢,且不常轉移到鄰近的淋巴結。與眼瞼或其他部位的鱗狀細胞癌相比,其惡性程度較低,極少數病例在數月內或數年後發生遠處轉移而死亡。
確診依靠病理學檢查。
