玻璃樣變性的概念:在細胞或間質內出現半透明均質、紅染、無結構物質稱玻璃樣變性,又稱透明變性。
玻璃樣變性的類型:1.結締組織玻璃樣變 2.血管壁玻璃樣變 3.細胞內玻璃樣變
1.結締組織玻璃樣變
常見於纖維瘢痕組織內。肉眼:灰白、半透明狀,質地堅韌,缺乏彈性。光鏡下:纖維細胞明顯變少,陳舊的膠原纖維增粗並互相融合成為均質無結構紅染的梁狀、帶狀或片狀,失去纖維性結構。
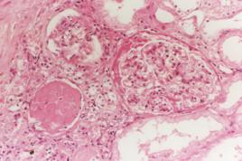
2.血管壁玻璃樣變
多發生於原發性高血壓和糖尿病時的腎、腦、脾及視網膜的細動脈壁。血管內膜缺血受損後通透性增高,血漿蛋白滲入內膜下,在內皮細胞下凝固,呈均勻,嗜伊紅無結構的物質。上述改變可使細小動脈管壁增厚、變硬,管腔狹窄、甚至閉塞。
3.細胞內玻璃樣變
細胞內玻璃樣變性是指細胞內過多的蛋白質引起細胞發生了形態學改變。光鏡下,常表現為圓形、嗜伊紅的小體或團塊。電鏡下,可呈均質狀、細絲狀或晶體狀。

