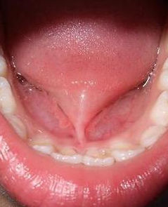
臨床表現
舌頭不能正常自由地前伸,舌頭伸出口腔的部分不及正常兒童的長,而且舌前伸時舌尖因被舌系帶牽拉而出現凹陷,舌尖呈W形(正常人舌頭伸出時,舌頭呈V字形),還可能影響哺乳或者與下前牙摩擦發生潰瘍。孩子張口時,舌尖不能上翹,不能舔到上齒齦齶部,年齡稍大後,則影響正常發音,對咀嚼功能也有影響,舌系帶過短的人,由於舌頭活動空間小,咀嚼有難度,吃飯時會咀嚼得很慢,吞食比較多。
檢查
主要局部檢查舌的前伸和舌尖上抬,抵上齒齦齶部的運動是否能完成。
治療
1.手術治療
(1)如果舌系帶短、系帶又薄(組織中包含的血管、神經較少),可以行非麻醉下的舌系帶切開術,壓迫止血;
(2)如果舌系帶短、系帶厚(組織中包含的血管、神經較多),必須在麻醉下切開、縫合止血,1~2歲的孩子不配合的情況下,需全身麻醉下手術;3歲左右孩子基本能溝通配合的,可局部麻醉下行舌系帶成形術。
2.語音訓練
做完手術後,也要加強語言訓練和翹舌扺齶部運動。

