病因
ARVC的病因目前所知甚少,可能與下列因素有關:
1.遺傳因素
本病的發生與遺傳因素有一定關係,家系研究發現ARVC是一種常染色體顯性遺傳病。目前已確定9種不同的染色體顯性遺傳與本病相關。
2.個體發育異常學說
認為右心室病變系右心室先天性發育不良所致,形態學上表現為右心室壁極薄,類似Uh1畸形的羊皮樣外觀,心肌纖維缺如或消失,代之以脂肪纖維組織。多見於兒童或青壯年。支持這種觀點的人將ARVD/C稱之為右心室發育不良。
3.退變或變性學說
認為右心室心肌病變是由於某種代謝或超微結構缺陷引起的進行性心肌細胞變性壞死的結果。心肌萎縮消失與Duchenne肌營養不良和Becker慢性進行性肌營養不良的骨骼肌萎縮相類似。以骨骼肌進行性變性為特徵的肌萎縮征可看作本病的對應性疾病。
4.炎症學說
認為心肌被脂肪組織代替是慢性心肌炎引起的後天性損傷(炎症、壞死)和修復過程演進的結果。動物實驗證實,柯薩奇B3病毒及木瓜病毒感染時可呈相同變化。
臨床表現
主要表現為充血性心力衰竭和/或心律失常。部分患者起病隱匿,表現為勞力性呼吸困難等肺循環淤血症狀和肝臟腫大、下肢水腫等體循環淤血的症狀,患者勞動耐力逐漸下降,心力衰竭進行性加重。有些患者早期僅突出表現為右心功能衰竭,出現體循環淤血的症狀和體徵,後期則由右心衰竭發展至雙側心室受累的全心衰竭;多數患者開始即表現為雙側心室受累並進行性加重的全心衰竭。部分患者反覆發作心悸、乏力等,心電圖表現為室性心律失常,如室性早搏、短陣室性心動過速,偶爾可見室上性心律失常,且長期反覆發作。部分患者以心臟驟停、猝死為首發症狀,檢查發現惡性心律失常如持續性室性心動過速、心室撲動、心室顫動,這是右室心肌病導致青年人猝死的重要原因。體格檢查早期常常無任何異常,有時可見各種心律失常的表現,可有心力衰竭的體徵。
檢查
1.胸部X線
心臟正常或增大,輪廓呈球形,肺動脈流出道擴張,左側緣膨隆,多數患者心胸比率≥0.5。
2.心電圖
常見心電圖表現有
(1)V1導聯QRS波群的時限通常大於Ⅰ導聯和V6導聯QRS波群的時限,反映右心室激動延遲。據統計分析,V1導聯QRS波群時限>110ms,對診斷本病的特異性可達100%,敏感性為55%。
(2)可有完全性或不完全性右束支傳導阻滯。
(3)有些患者在QRS波群終末部分(常見於V1導聯)可見一直立的尖波(epsilon波),系因右心室的一部分激動延遲所產生。將心電圖記錄的靈敏度提高2倍~3倍易發現該波。
(4)半數患者右胸導聯T波倒置,胸前導聯T波倒置範圍與右心室增大程度呈正比。
(5)有室速發作的患者心室晚電位常呈陽性。
(6)心悸或暈厥發作時,可發現呈左束支傳導阻滯圖形的室性心動過速或室顫。
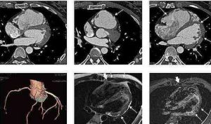
3.超聲心動圖與放射性核素心室造影
為診斷本病的兩項最主要的無創傷性檢查方法。前者可見右心室舒張末期內徑擴大,右室普遍性或局限性活動降低,右室壁呈節段性膨出;右心室與左心室的舒張末期內徑比>0.5(特異性93%,敏感性86%,陽性預測值86%,陰性預測值93%);後者對診斷右心室收縮異常的特異性與陽性預測值均為100%,但敏感性僅為80%。若上述兩項檢查結果均顯示右心室與左心室收縮末期容量比>1.8,或運動時右心室射血分數<0.50,或運動時右心室壁運動計分>1,幾乎可以肯定本病的診斷。
4.心血管造影
可見右心室擴大、右心室壁運動異常。冠狀動脈造影多無異常。
5.磁共振顯像(MRI)
對發現心室肌內局限性脂肪增多有較大價值。如套用可精確測定右心室容量的電影磁共振成像技術,可顯示右心室容量增大。
6.心內膜心肌活檢
若能發現心肌細胞被纖維脂肪所取代的典型病變,即可診斷本病。但由於心內膜心肌活檢大多自室間隔取材,而多數病人右心室病變較局限,室間隔一般不受累,故活檢結果陰性並不能排除本病。同時,由於正常人右心室心肌細胞間也常有小島狀脂肪組織,故對此種病理改變的臨床評估應慎重。
7.電生理檢查
通過心內膜標測技術可發現激動通過右室,尤其病變部位的傳導緩慢。該項檢查還可確定室性心動過速的起源部位而有助於消融定位。
併發症
本病常見併發症有心律失常、暈厥、猝死等。
1.心律失常
室性心律失常最常見,以反覆發生和非持續性的室速為特徵,室速發生時可出現頭暈、心悸、暈厥甚至室顫而猝死。情緒激動或勞累等可誘發室速的發生。
2.暈厥
由於本病常並發嚴重的室性心律失常(室性心動過速或室顫)影響血流動力學所致。
3.猝死
多見於≤35歲的青年人,在情緒激動或劇烈運動時可誘發猝死。少數人有猝死的家族史。
治療
1.內科治療
對心律失常者可使用各種抗心律失常藥物。有報導將電刺激法、動態心電圖及運動試驗相結合,判斷藥物治療該病的有效率依次為:索他洛爾(83%)、維拉帕米(50%)、胺碘酮(25%)、β-受體阻滯劑(29%)。亦有人認為,胺碘酮或胺碘酮與其他抗心律失常藥物聯合使用,是預防ARVD/C患者室性心動過速復發的最有效藥物。
2.導管消融
有報導本病伴室性心動過速者,在心內膜標測下尋找室速起源部位,行射頻消融治療,可控制室性心動過速發作,但隨訪期間部分病例出現了另一種類型的室速,提示ARVD/C是一種病變呈進行性發展的心肌病,易出現多種類型的室性心動過速。
3.埋藏式自動心臟復律除顫器
對有暈厥發作史,或經抗心律失常藥物治療無效的持續性室性心動過速等高危患者,已證實ICD植入能有效終止所有室速,是一種能改善本病長期預後的有效治療手段。
4.外科治療
對於藥物難以控制的終末期患者可考慮心臟移植手術。

