概述
臍帶囊腫 :即是發生於臍帶的囊腫,起源於臍尿管和卵黃管的殘餘部分。大多數的臍帶囊腫為散發性,亦可出現在18-三體和其他的染色體畸變中。臍帶囊腫也與非染色體異常相關。
分型
臍帶囊腫可分為真性囊腫和假性囊腫。
真性囊腫囊壁有一層上皮細胞,包括臍腸系膜管或尿囊管。累及羊膜的囊腫有一層羊膜上皮。臍腸系膜管或尿囊管囊腫發生在臍帶的胎兒端,常合併胃腸道及泌尿生殖道畸形,這可能與它們存在胚胎髮育上的聯繫有關,特別是尿囊管囊腫常與臍膨出、開放性臍尿管有關。
假性囊腫無上皮覆蓋,由於包繞臍帶的華騰膠局部水腫或局部蛻變形成的囊腔內粘液,較真性囊腫更為常見,文獻報導認為其與臍膨出及18-三體有關。
超聲診斷
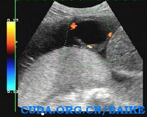
臍帶囊腫1、臍帶內部可見圓形無回聲結節,包膜完整,內部透聲好。 2、CDFI示囊腫內部無血流信號。
3、局部臍帶血管可能有受壓改變。
4、詳細系統檢查有無胎兒結構畸形。
臨床意義
中晚孕臍帶囊腫與胎兒畸形及非整倍體有關,有研究顯示有高達50%的病例存在臍帶囊腫,因此,如果於中晚孕發現臍帶囊腫宜行胎兒染色體檢查。然而在早期妊娠,臍帶囊腫很可能是一種正常現象,大部分可自行消失,也有持續存在整個妊娠期。有研究發現囊腫持續存在者胎兒畸形的發生率較囊腫早期消失者明顯增高。另外,囊腫位於臍帶的胎兒端或胎盤端即囊腫位置相對臍帶長軸呈偏心分布時,胎兒畸形的風險也明顯增大。

