診斷
腺泡細胞癌約占胰腺癌的1%,多轉移至局部淋巴結及肝、肺或脾。癌細胞可呈多角形、圓形或矮柱形,胞漿強嗜酸性顆粒狀,細胞核圓、多位於基底部。
由於臨床上無特徵性表現,雖然經涎腺造影、CT、B型超聲及放射性同位素掃描等特殊檢查,但術前也難以作出正確診斷, 一般需在病理檢查後方能確診。
治療措施
主要是手術切除。由於腺泡細胞癌有薄層包膜,且常不完整,甚至包膜外常有小瘤體生長,故應做廣泛切除,做包括有正常腮腺組織邊緣的次全切除,或保留面神經的全腮腺切除更為適用。是否行頸淋巴結清掃術,應根據臨床和組織學類型確定,一般需做選擇性頸淋巴結清掃術。
術後一般不需配合其他治療,除非病變較廣泛而有可疑殘留時,可考慮做放射治療。由於此瘤可能發生遠處轉移,因此有人主張後需行化療。
病理改變
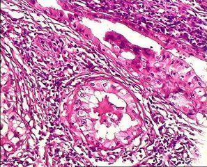
(一)大體形態 腫瘤一般為單發,有包膜,但不完整,多數與周圍組織界限清楚。呈結節狀或分葉狀,質地較硬。切面實性稍凸,灰白色,有棕紅 色斑 點,較脆,無良性混合瘤的濕潤及粘液樣的表現。偶見囊性變,囊內含有棕紅色液體。
(二)鏡檢 腫瘤有薄的被膜,但被膜內常見瘤細胞浸潤。瘤細胞排列成實體團塊,構成許多類似正常腺泡、小梁、小管、濾泡,但無導管及導管樣結構。還可見小葉或片狀結構,有少量帶血管和淋巴樣組織的間質。有時腫瘤內可見有實性或乳頭狀囊性濾泡。瘤細胞呈圓形或多邊形,胞核小,偏位,核仁不明顯,胞漿豐富,含有嗜鹼性顆粒,與正常腺泡細胞內的酶原顆粒相似,但也有無顆粒細胞者,細胞內可見空泡。有的則呈透明狀胞漿,可有清晰胞漿的細胞及空泡狀細胞出現,應注意與乳頭狀囊腺瘤、轉移性腎透明細胞癌以及粘液表皮樣癌相鑑別。
(三)生物學特點 腺泡細胞癌生長緩慢,病程長,但呈局部浸潤,並可有復發和轉移。雖然瘤細胞的一致性和高度分化,也不能確定為良性,均應視為低度惡性。
臨床表現
腺泡細胞癌是一種較少見的涎腺腫瘤,占涎腺腫瘤的1%~3%,占大涎腺腫瘤的1%~4%,占涎腺惡性腫瘤的5.1%~12%。據Garder報告,占大涎腺惡性腫瘤的7%~15%。發生部位以腮腺最多,幾乎為腮腺所獨有。但發生在頜下腺、舌下腺及小涎腺者均有報導。此腫瘤從少年到老年均可發病,但以40~60歲最多見,女性較男性多見。
腺泡細胞癌臨床上類似混合瘤,常為無痛性腫塊,偶爾有疼痛和面神經受累症狀。病程較長,從幾個月到數十年不等。腫瘤多為圓形,實質性,可有結節,中等質地或稍偏硬,少數呈囊性改變,活動,與皮膚無粘連。晚期可轉移,以頸淋巴結轉移最常見。
預後
腺泡細胞癌術後復發率為20%~55%,淋巴結轉移率為3%~11%,遠處轉移率為10%~12%。雖有發生轉移及局部浸潤傾向,但在涎腺腫瘤中,腺泡細胞癌的惡性程度是較低的,一般預後較好。5年治癒率均在88%以上。Eneroth等報告該腫瘤5年、15年生存率分別為90%和68%,SPIro等報告5年、10年、15年治癒率分別為76%、63%、55%,局部復發率為33%。國內張曉珊等報告5年、10年、15年生存率分別為95.83%、83.35%、60%,復發率為37.14%。腫瘤復發的原因是多方面的,而保守的腫瘤切除及剜出術者,局部復發率為66.7%,其中22.2%的患者死於腫瘤復發。做全腮腺切除術者,局部復發率為9.5%。

