腺泡狀軟組織肉瘤疾病原因
腺泡狀軟組織肉瘤由Christopherson於1952年首先報導,屬於來源不明的惡性軟組織腫瘤,病理免疫組化表達desmin和MyoD1等肌源性標記物,S-100、NSE等神經源性標記物陽性。近年有報導其可能來源為肌源性,是橫紋肌肉瘤的特殊類型,但目前爭論較多。在2002年的WHO軟組織腫瘤分類中,仍然劃歸為來源不明惡性軟組織腫瘤組中。
病理改變
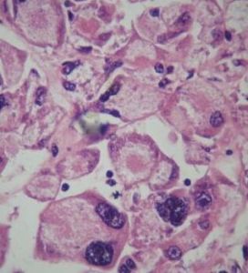
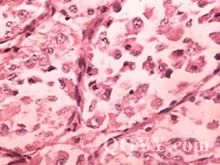
腺泡狀軟組織肉瘤2.鏡下所見 瘤細胞排列成腺泡狀或器官樣結構,由薄壁裂隙狀血管分隔,類似內分泌器官的構造。腺泡狀瘤細胞巢圓形或卵圓形,大小懸殊,一般由5~50個或更多的瘤細胞組成。
好發於青春,女性多見,常位於四肢深部肌肉或筋膜,少數可見於腹壁、肛旁區、舌、腹膜後、頸背部。腫瘤生長緩慢,早期無痛,常偶然發現,大者直徑可達6~10cm。瘤塊雖增大不快,但血循豐富,淺表者可觸及搏動,包括轉移至皮下,直徑1cm大小腫瘤,搏動也很顯著,部分病人可發生廣泛的血循轉移,主要轉移至肺、骨、腦、皮下等部位,少數有淋巴轉移,轉移至骨者,沿骨長軸發展境界清楚溶骨性破壞,無骨膜反應,酷似某些骨轉移癌的表現。
疾病檢查
檢查
腺泡狀軟組織肉瘤--影像學檢查2、MRI檢查;
3、免疫學檢查;
4、組織活檢,最終確診依據。輔助檢查
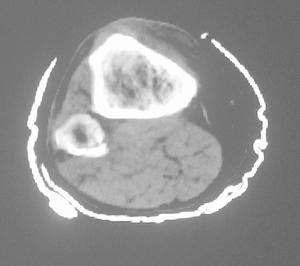
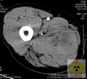
X線示左股部軟組織富血供性占位。鏡下所見:腫瘤細胞呈腺泡樣巢狀排列,瘤細胞大小不等,巢內緣不整,外周較圓滑,巢與巢之間為豐富的、互相連通的血管網。瘤細胞圓形、卵圓形或多角形,界清,胞漿豐富,有嗜酸性顆粒,核圓形,異型性小,含有核仁,核分裂象不易找到。
鑑別診斷
鑑別診斷與腺泡橫紋肌肉瘤:細胞較小,核染色較深,類似淋巴母細胞,橫紋肌肉瘤可見到一些胞漿著色較紅的或長帶狀橫紋肌母細胞,腺泡之間缺乏竇狀血管網。本瘤可誤診為腺癌,兩者不同的地方在於後者的腺腔內緣較整齊,癌細胞排列較緊密,可顯示一定極向,且腺腔內常見分泌物。腺泡狀軟組織肉瘤在診斷時應與以下幾種疾病相鑑別:腺泡狀橫紋肌肉瘤:與腺泡狀軟組織肉瘤同見於橫紋肌內,均有腺泡狀結構。但腺泡狀橫紋肌肉瘤瘤細胞較小,核染色深,呈顆粒狀或塊狀,似淋巴母細胞,可找到一些著色較紅或長帶狀,Myoglobin陽性的橫紋肌母細胞,腺泡之間缺乏竇狀血管網。
顆粒細胞肌母細胞瘤:二者共同點是瘤細胞胞漿富於顆粒,細胞多邊形。但顆粒細胞肌母細胞瘤間質無毛細血管網結構,腫瘤體積小,<3cm。腺泡結構不典型,不規則,瘤組織與周圍組織分界不明顯。而腺泡狀軟組織肉瘤分界明顯。顆粒細胞肌母細胞瘤細胞S-100強陽性。腺癌:腺泡狀軟組織肉瘤瘤細胞呈腺泡狀排列,胞漿豐富呈上皮樣,可誤診為腺癌(如肝、腎、腎上腺的腺癌),但本瘤的腺泡內緣不整齊,細胞鬆散,不是真正的腺腔,腺癌EMA陽性,而腺泡狀軟組織肉瘤EMA陰性。副節瘤:二者均由多形細胞組成巢狀結構,巢間為富於毛細血管的間質。不同點為:第一,腺泡狀軟組織肉瘤發生在年輕人,而副節瘤常發生於中年以上成人;第二,腺泡狀軟組織肉瘤好發於四肢肌肉或陰道、肛門附近,副節瘤常見於頭頸部、縱隔及腹膜後;第三,腺泡狀軟組織肉瘤瘤細胞較大,胞漿內顆粒粗;副節瘤瘤細胞較小,顆粒細。
症狀表現
1、好發於青年,女性多見,常位於四肢深部肌肉或筋膜,少數可見於腹壁、肛旁區、舌、腹膜後、頸背部。
2、腫瘤生長緩慢,早期無痛,常偶然發現,大者直徑可達6~10cm。瘤塊雖增大不快,但血循豐富,淺表者可觸及搏動,包括轉移至皮下,直徑1cm大小腫瘤,搏動也很顯著。
3、部分病人可發生廣泛的血循轉移,主要轉移至肺、骨、腦、皮下等部位,少數有淋巴轉移,轉移至骨者,沿骨長軸發展境界清楚溶骨性破壞,無骨膜反應,酷似某些骨轉移癌的表現
治療措施
原則上應施行腫瘤廣泛切除術,邊緣切除極易復發,文獻報導復發率可高達70%。此腫瘤對現行的化療、放療不敏感,療效不肯定,故患者術後必須定期複診。全面檢查,對復發和轉移爭取早期發現、早期手術,患者可以長期存活和工作。作者曾有一患者,在外院二年里施行過小腿軟組織原發瘤切除,後來同側脛骨轉移行腫瘤切除,腓骨移植,來作者醫院局部復發雙肺轉移。在治療的4年中,施行過大小手術19次,包括4次開胸肺轉移瘤切除,皮下肌肉轉移瘤切除等。最後死於胸腰椎轉移截癱,泌尿系感染,腎功能衰竭及全身多發轉移。此例患者經濟困難,每次復發或轉移都發展至不能忍受才來治療,如能早期發現,早期治療療效必定會更好,在14年中有9年多,患者一般狀況良好,能參加工作。此例可以較典型的說明該腫瘤的生物學特點。
疾病治療
腺泡狀軟組織肉瘤治療原理的探討,仿生內控治療惡性腫瘤的原理是建立在一種研究癌症的新理論“惡性腫瘤投影學說”的理論基礎上,該學說認為“癌症是一種細胞病,是一種細胞分化信息調控障礙性疾病”,細胞間、組織間的信息調控,精確地調控著生命體的物質流、能量流和信息流,仿生內控治療惡性腫瘤,是採用生物工程原理,使惡性腫瘤組織細胞的信息流逼近正常組織細胞信息流,進行分化調節和增殖調控,修復細胞信息網路調節程式,促進惡性腫瘤細胞分化,抑制惡性腫瘤細胞增殖。
仿生內控治療惡性腫瘤的方法由三種藥物製劑構成:復新液、歸正膠囊和綠波膠囊,它們分別作用於細胞信息分化調控細胞增殖調節和提高細胞的抗病能力。治療方法的確定的探討,患者為一女性兒童,9歲,治療原則確定為:(1)控制惡性腫瘤細胞的生長、轉移和復發;(2)避免損傷,致殘,減輕痛苦;(3)儘量保證患兒學習不受影響,使其治療的最大化———治療後的身心健康。患兒通過仿生內控治療後近2年,迄今為止,尚未發現腫瘤的局部復發和遠處轉移,達到了無痛苦,高質量的生活,兒童的生長、發育也未受影響,健康成長。

