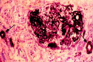
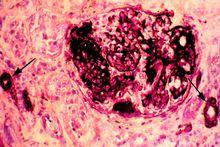
腎炎腎病綜合症
腎炎腎綜合症慢性腎炎腎病綜合症(Chronicglomerulonephritisnephroticsyndrome)是由多種病因、多種病理類型組成的原發於腎小球的一組疾病。
腎炎型腎病綜合症的特徵
腎炎型腎病綜合症是腎病綜合症的一種,腎炎型腎病綜合症的特徵有很多,主要由以下幾種。
血尿
約80%以上患者可出現血尿這種腎炎型腎病綜合症的特徵。多為鏡下血尿,一般紅細胞>10個/高倍視野。20%患者出現肉眼血尿約20%,患者於未用激素前有血壓持續升高。
高血壓
高血壓也是腎炎型腎病綜合症的特徵
氮質血症
氮質血症也是腎炎型腎病綜合症的特徵,約30%患兒在循環血量正常情況下可出現氮質血症,或有輕、重不等的腎功能損害。
腎炎腎病綜合症的分類
腎炎腎病綜合症,按照不同的病理損傷特點和進展程度,可分為:急進性腎炎腎病綜合症和慢性腎炎腎病綜合症。
急進性腎炎腎病綜合症為一組病情發展急驟、由蛋白尿、血尿迅速發展為無尿或少尿急性腎功能衰竭的臨床綜合症。
慢性腎炎腎病綜合症是由多種病因、多種病理類型組成的原發於腎小球的一組疾病。臨床特點主要是長期持續性尿檢異常,如蛋白尿和/或血尿、緩慢進行性腎功能損害,可有程度不等的高血壓和/或水腫,最終發生固縮腎及終末期腎衰。如果得不到正確有效的治療,預後較差。
腎炎腎病綜合症的治療
不論是哪種類型的腎炎腎病綜合症,多數是因各類因素引起腎臟缺血、缺氧,致使血管內皮細胞受損,吸引血液循環中的炎性介質,引發了腎小球局部發生病理改變所造成的。所以,在腎炎腎病綜合症的治療過程中,應從以下幾點出發:
1、“抓源頭、擴血管”,擴張各級腎動脈,改善局部微循環障礙,增加有效灌注,緩解受損腎臟缺氧狀態。防止炎症性反應加劇,減少腎小球受損的因素。
2、抑制炎性介質、細胞因子生長因子等一系列的致腎毒性因子的活性滅活,從而阻斷受損的腎臟功能細胞繼續損傷,促使其向正常的代謝功能逆轉,減少腎小球的病理改變。
3、腎炎腎病腎綜征患者容易出現低蛋白血症,導致血液濃縮,高凝高黏狀態,脂蛋白Lp(a)抑制纖溶能力上升,纖維蛋白原激活物增加,纖維蛋白凝塊上升,溶解能力下降,導致血栓形成。另外一方面,腎臟內皮細胞具有抗凝,防血栓形成功能,當腎臟缺血缺氧,就會使內皮細胞受損,血小板功能亢進,增加血小板粘附與聚集,導致抗凝功能就會下降,血栓形成,腎臟纖維化會進一步發展。所以,要及時進行抗凝治療,防止以上情況發生。
4、如果腎炎腎病綜合症沒有在腎臟纖維化的初始階段進行有效的阻斷,以後腎臟纖維化的進展過程中,形成ECM加重腎臟功能細胞的損傷,所以,對這部分細胞外基質(ECM)分解,才能阻斷腎臟纖維化,恢復腎功能。
5、修復,對受損的腎臟功能細胞修復提供必須的營養物質:腎炎腎病綜合症患者經過以上阻斷腎臟纖維化的規範治療,系膜細胞、上皮細胞、內皮細胞功能得到激活,促進合成基膜基質,修復機械屏障;通過抑制IL-2的作用來促進上皮細胞和系膜細胞對硫酸類肝素的合成;通過抑制LDL,OX-LDL的合成來減輕對電荷屏障的激素損傷,修復電荷屏障;通過抑制致腎毒性的釋放,控制ECM的合成,促進降解,阻斷纖維化過程來修復受損濾過膜,恢復腎功能。減少蛋白與潛血的漏出,從根本上消除腎炎腎病綜合症的蛋白與潛血。
腎炎腎病綜合症危害
臨床僅僅出現蛋白、潛血,血肌酐、尿素氮也沒有升高。但是如果腎炎腎病綜合症此時沒有及時有效治療,腎臟纖維化將快速進展,導致健康腎單位越來越少,腎小球纖維化硬化,最終形成瘢痕組織,腎臟功能完全消失,發展到尿毒症。

