概念
脈管瘤是血管瘤和淋巴管瘤的合稱,一般為良性,多見於口面部。
脈管系統包括血管和淋巴管,脈管性疾病(vascular anomalies)是一個專有名詞,特指血管瘤(hemangioma)和脈管畸形(vascular malformations)兩大類病損,後者包含血管畸形和淋巴管畸形。
據文獻報導,血管瘤在新生兒的發病率為1.1%~,1歲時的發病率高達IO%。其中,35%~發生在頭頸部。國內外早期的文獻資料將脈管疾病統稱為脈管瘤,後在認識到脈管性疾病中很大一部分不是腫瘤性疾病而是發育畸形後,又派生了脈管畸形這一名詞,但脈管瘤(血管瘤)這一稱謂被保留下來,專指脈管性疾病中的腫瘤或類腫瘤性疾病。
國外文獻中,有人使用 vascular tumors( Garzon等,2000)來指稱血管(hemangiomas),以示與脈管畸形的對應和區別。但就字面上來理解,脈管瘤(血管瘤)應該包括脈管系統的惡性腫瘤如惡性血管外皮細胞瘤等,故筆者以為Akyuzet等(199)使用benign vascjar tumors(良性脈管瘤)來指稱血管瘤(hemangioma)是恰當的。按照疾病分類法的常規,對疾病的命名或分類,應該使用專有名詞hemangioma,只不過是在脈管性疾病的現代分類中,hemangioma的含義已經不包括脈管畸形。
臨床上,我們遇到的脈管性疾病多數是脈管畸形,也就是說,真正的血管瘤所占脈管性疾病的比例並不大,尤其是成人的脈管性疾病,絕大多數是脈管畸形。因為血管瘤在兒童時期有自然消退趨勢.故到成年時期,脈管性疾病幾乎已經沒有真正的血管瘤(血管瘤遺蹟除外)。而兒童時期的脈管性疾病則既有可能是血管瘤,也有可能是脈管畸形,至於兩者的構成比孰多軌寡,目前這方面的調查資料還未完善。一般認為.兒童時期的脈管性疾病以血管瘤較多見。
血管瘤(hemangioma)
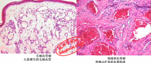
性狀:腫瘤呈紫紅色(固定標本為暗褐色),不規則,邊界不清,無包膜(呈浸潤性生長),質地軟。若腫瘤切面見大小不等的薄壁血管腔隙,內含血液(血凝塊),其間有薄的間隔,狀似海綿,稱海綿狀血管瘤(cavernous hemangioma)。
種類:(1)毛細血管型血管瘤。毛細血管型血管瘤是一種常見的先天性毛細血管擴張畸形。後天獲得性發病者極少。影響容貌或伴隨出汗,組織溫度升高或長期反覆失血。(2)海綿型血管瘤。海綿型血管瘤是一種常見的頜面部良性腫瘤或畸形。
淋巴管瘤(lymphangioma)
性狀:腫瘤呈灰白半透明狀,無包膜,與周圍組織界限不清;切面可見多個囊腔,內含淋巴液;當淋巴管呈囊狀擴大並互相融合,內含大量淋巴液時,則稱之為囊狀水瘤(1ymphangioma cysticum)。
種類:(1)蔓狀血管瘤;(2)海綿型淋巴管瘤;(3)囊腫型淋巴管瘤
治療
脈管瘤系口腔頜面部常見疾病,傳統的治療方法有手術、冷凍、雷射等,療效均不太滿意。目前採用較多的是用平陽黴素作為硬化劑局部注射治療,效果較好。平陽黴素由平陽鏈黴菌產生,主要成份是博萊黴素A5,經過抑制DNA合成而影響細胞代謝功能;不良反應少,副作用主要為發熱、肺炎樣症狀及肺纖維化改變。因此,臨床上利用這一副作用原理治療血管瘤。平陽黴素注入瘤體後,在局部積聚,高濃度藥物迅速破壞血竇內皮細胞導致血栓形成,使其變性、萎縮、退化形成纖維化,從而使瘤體消退治癒。
20世紀80年代前大都採用5 %魚肝油酸鈉作硬化劑治療,這種方法也可以達到殊途同歸的效果。
(注:配圖為毛細血管瘤。瘤組織主要由大量增生的毛細血管構成,部分毛細血管腔內可見紅細胞)
驗方偏方
驗方:①處方:鬱金、枳殼、白朮、紫胡、靈脂、紅花、雞內金、茯苓、杭芍各3錢,丹參、生牡蠣各1兩,鱉甲5錢,木香、砂仁殼各2錢,甘草1.5錢。水煎服。

