起因
因心臟疾病和肺臟的某些慢性疾病或靜脈乾受到壓迫時,由於血液循環障礙而引起。慢性貧血和稀血症以及任何長期的消耗性疾病也可引起胸腔積水。
症狀
主要症狀為呼吸困難,體溫正常,心音高朗。胸壁叩診時兩側呈水平濁音,其濁音界的位置隨病人體位的改變而變化。聽診時,在濁音區聽不到肺泡音,有時可聽到支氣管呼吸音。常伴有腹水、心包積水和皮下水腫現象。
胸腔積水的出現基礎疾病,可原發於肺、胸膜,也可為肺外如心血管、腎臟疾病等,故仔細詢問病史和觀察患者症狀,對於胸腔積水的病因診斷十分重要。
結核性等感染性胸膜積液多有發熱,有心力衰竭者多為漏出液。少量胸腔積水可無臨床異常症狀或僅有胸痛,積液達300~500ml 以上時,感胸悶或輕度氣急,大量胸腔積液時氣急明顯、心悸,而胸痛緩解或消失。
胸腔積水的症狀與積液的多少有關。少量積液時,可無明顯體徵或僅因胸痛出現患側胸部呼吸運動受限、胸式呼吸減弱,觸及胸膜摩擦感。中至大量胸腔積水,患側呼吸音減弱或消失,患側叩診濁音,觸覺語顫減弱或消失。大量胸腔積液可伴有氣管、縱隔向健側移位。
臨床診斷
根據缺乏熱候等全身症狀和叩診的水平濁音,不難確診。但須與胸膜炎相區別。胸膜炎有熱候、胸部疼痛、咳嗽、胸膜摩擦音,多發生一側,胸膜炎為滲出液,含有大量纖維蛋白及蛋白質,李瓦他氏反應呈陽性。而胸水無全身症狀,胸腔內的液體為漏出液,比較澄清稀薄,含有少量纖維蛋白及蛋白質,李瓦他氏反應呈陰性。
診斷依據
診斷依據
1.胸悶、胸痛、氣促。
2.胸腔積液量少時可無陽性體徵,積液量多時患側呼吸運動減弱,語顫消失,叩診濁音或實音,呼吸音減弱或消失,氣管、縱隔、心臟移向健側。
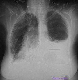
3.X線檢查:少量積液時肋膈角變鈍,中等量積液可見大片緻密陰影,肺底部積液可見患側“膈肌”升高,改變體位胸水可流動。
4.超音波檢查:可見液平段。
5.胸腔穿刺抽出液體,胸水檢查常規、生化、免疫學和細胞學。可明確為滲出液或漏出液,有助於病因診斷。
治療
治療原則是加強護理,限制飲水,強心利尿,排除積水。強心利尿 可用咖啡因、水楊酸鈉柯柯鹼、洋地黃製劑、鹽酸毛果芸香鹼等皮下注射。以促使積水吸收。亦可注射潑尼松對預防胸膜粘連,加速液體吸收,有良好效果。排除胸水 當胸腔積水過多,呼吸特別困難,有窒息危險時,可施行穿胸術排除積水,然後注入酯酸可的松25mg。
注意事項
積極防治原發病。胸腔積水為胸部或全身疾患的一部分,因此積極防治原發病是預防本病的關鍵。
增強體質,提高抗病能力。積極參加各種適宜的體育鍛鍊,如太極拳、太極劍、氣功等,以增強體質,提高抗病能力。
注意生活調攝。胸腔積液病人居住地要保持乾燥,避免濕邪侵襲,不恣食生冷,不暴飲暴食,保持脾胃功能的正常。得病後,及時治療,避風寒,慎起居,怡情志,以臻早日康復。
健康指導
注意飲食,避免勞累。
避免受涼預防呼吸道感染,戒菸。
注意多食富含粗纖維、高熱量、高蛋白飲食。
遵醫囑按時服藥,定期門診複查。
一旦出現胸痛、呼吸困難立即到醫院救治。

