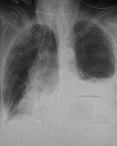
基本概念
胸膜腔積水指的是各種原因導致的胸膜腔積液。
疾病原因
其中最常見的原因是結核性胸膜炎,而且多數情況下並不一定合併活動性肺結核。其他原因還有癌性胸水、寄生蟲引起的胸水、炎症引起的胸水等等。胸膜腔正常情況下是一個閉合的、負壓的潛在腔體,其中只有少量潤滑性液體。胸腔積液時,直接影響到肺的呼吸功能,造成胸悶氣短、心跳加速等症狀;積液吸收後,積液中的蛋白質會附著在胸膜腔內,造成朐膜粘連,長期影響肺功能。所以如果積液量較大,一般會採取抽胸水的辦法,加上抗結核病藥物、激素等,避免這一問題。

胸膜腔積水指的是各種原因導致的胸膜腔積液,其中最常見的原因是結核性胸膜炎,而且多數情況下並不一定合併活動性肺結核。
胸膜腔積水指的是各種原因導致的胸膜腔積液。
其中最常見的原因是結核性胸膜炎,而且多數情況下並不一定合併活動性肺結核。其他原因還有癌性胸水、寄生蟲引起的胸水、炎症引起的胸水等等。胸膜腔正常情況下是一個閉合的、負壓的潛在腔體,其中只有少量潤滑性液體。胸腔積液時,直接影響到肺的呼吸功能,造成胸悶氣短、心跳加速等症狀;積液吸收後,積液中的蛋白質會附著在胸膜腔內,造成朐膜粘連,長期影響肺功能。所以如果積液量較大,一般會採取抽胸水的辦法,加上抗結核病藥物、激素等,避免這一問題。
腹積水,是指腹腔內游離液體的過量積聚。在任何病理情況下導致的腹腔內液量增加超過200ml即稱為腹積水。
病症 應做檢查 鑑別診斷胸腔積水是胸腔內積有漏出液,胸膜並無炎症變化的一種疾病,是其他器官或全身性疾病的一種症狀,常以呼吸困難為特徵。主要引起原因是貧血。
起因 症狀 臨床診斷 診斷依據 治療心包積水,也就是心包積液。心包積液是一種較常見的臨床表現,尤其是在超聲心動圖成為心血管疾病的常規檢查方式之後,心包積液在病人中的檢出率明顯上升,可高達8.4%。
簡介 病因肺積水醫學上通常叫肋膜積水,水是堆積在肺臟的外面,它可以是感染髮炎引起(如:肺炎、肺結核…都可以合併肋膜積水),也可以是一些自體免疫疾病引起(如:紅斑性...
病因 症狀 診斷 治療 飲食大陷胸丸具有瀉熱開結,化飲通便的功效,主治結胸證,頸項強直,朐脘痞滿,自汗出,大便不通,脈沉實者。
組成 用法 功用 主治 禁忌胸腔是由壁層胸膜與髒層胸膜所組成的一個封閉性腔隙,其內為負壓,正常情況下兩層胸膜之間存在很少量(約1~30毫升)的液體所起潤滑作用,減少在呼吸活動過程中...
原因 檢查 鑑別診斷 緩解方法胸水:胸腔是由壁層胸膜與髒層胸膜所組成的一個封閉性腔隙,其內為負壓,正常情況下兩層胸膜之間存在很少量(約1~30毫升)的液體起潤滑作用,減少在呼吸活動過...
適應病症 臨床表現漏斗胸(pectus excavatum,PE),是指胸骨、肋軟骨及部分肋骨向背側凹陷畸形,形成漏斗狀的先天性疾病。絕大多數漏斗胸的胸骨從第2或第3肋軟...
簡介 病因 臨床表現 診斷 檢查