臨床表現
臨床上可有咳嗽、胸痛。病史中有急性炎症階段,也可無任何臨床症狀。
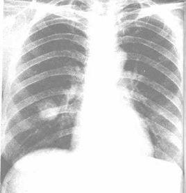
影像學表現
l.圓形、橢圓形、三角形或啞鈴形腫塊,邊緣多光滑銳利,密度中等偏高.直徑以3~6cm多見。周圍有時可見不規則條索影。
2.腫塊內可見空洞形成,偶有鈣化,多數密度均勻。
3.假性淋巴瘤型可見腫塊內支氣管氣相。
4.多為單發病變,少數可為多發。
5.動態追蹤觀察,腫物生長多較緩慢,腫物倍增時可長達十多年。
鑑別診斷
需與結核瘤鑑別,如果塊影內有鈣化影,或在其周圍見有散在病灶,則可考慮結核瘤。另應與周圍型肺癌鑑別的要點為後者無完整的包膜,常有分葉現象,在其邊緣可見短毛刺向周圍肺野突出。

