簡介
肺炎性假瘤是由多種細胞、新生的毛細血管和纖維結締組織構成的炎性肉芽種。Matsubara等(1988)認為肺炎性假瘤是肺泡內機化性肺炎發展而來。發病機制不清,可能與代謝紊亂、免疫反應、肺部炎症、病毒感染和誤吸等因素有關。大體標本為大小不等、軟硬不一和形態各異的實質性腫快。假瘤可單發也可多發,外面似有包膜,實際是周圍肺組織受壓形成的假包膜。顯微鏡下假瘤的細胞成分很複雜,在同一假瘤的不同切片上,散布著不同比例的各種細胞,如泡沫細胞、漿細胞、淋巴細胞和嗜酸細胞等。細胞分化成熟,形態大小較一致。所以,炎性假瘤的名字很多,如黃體瘤、纖維黃瘤、黃色肉芽腫、組織細胞瘤、肥大細胞肉芽腫、漿細胞肉芽腫等。1995年Colby等認為,炎性假瘤在組織學上可劃分為兩大類,即纖維組織細胞瘤和漿細胞肉芽腫。假瘤可以發生在肺的任何部位,甚至支氣管內。當細胞增生活躍,有炎症浸潤和大量毛細血管增生時,陰影可迅速增大;反之,肉芽組織機化,血管硬化,肺部陰影可長時間不增大。本病可發生在任何年齡,但青壯年居多,無性別差異。患者的症狀與假瘤的位置密切相關。大約60%以上的患者無症狀,在胸部X線檢查時偶然發現肺部陰影。如假瘤位於大的支氣管附近,可刺激支氣管引起咳嗽、咳痰和痰中帶血,少數患者咯血。假瘤壓迫上腔靜脈,可引起靜脈回流受阻。假瘤突入支氣管腔內可引起肺不張、肺炎。位於肺表面的假瘤,可引起胸膜炎和胸膜粘連而出現胸痛。
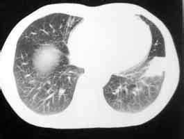
化驗檢查無特殊診斷價值。胸部X線檢查可發現肺部陰影,半數以上的假瘤表現為邊緣光滑、銳利、界限清楚、孤立的圓形或橢圓形結節影。如果假瘤周圍有炎症未吸收,也可表現出邊緣模糊,有“毛刺”。兩個相鄰的假瘤互相融合或生長過程中受到血管的阻擋,可出現“臍凹征”和呈“啞鈴型”。假瘤缺血、壞死,在病灶斷層和CT掃描片上可見空洞。少數有鈣化。腫塊內的小支氣管可保持通暢而表現為“氣道征”。纖維支氣管鏡檢查和經皮肺穿刺活檢有助於鑑別診斷。
有症狀者及不能與肺癌相區別者應行外科治療。手術切除既可明確診斷,又能治癒本病。
麻醉和體位
氣管內插管全麻。體位依腫瘤的大小和位置而定,仰臥位或側臥位。
手術步驟
1.切口
根據腫瘤的大小,位置和擬施行的手術而採用標準開胸切口或胸部小切口。
2.肺楔形切除
適用於肺周邊部及體積較小的假瘤,或心肺功能較差者。
3.肺葉或全肺切除
腫瘤較大,位置較深、靠近肺門或術中冷凍切片檢查不能完全排除惡性,並且患者心肺功能良好者應施行肺葉切除,甚至全肺切除。
術後處理
肺炎性假瘤切除時應儘可能保留正常肺組織,但若切除不徹底,則可能復發。有時病變侵犯縱隔、大血管,不允許完全切除,遇此情況,術後可試用激素或放療加以預防。

