病因
肌小管病肌小管病變因臨床症狀及發病時期不同,分為三種類型:
(一)X染色體遺傳型(簡稱為XLMTM),發病年齡約在新生兒時期或嬰兒時期,主要症狀為呼吸衰竭及肌肉無力;
(二)常染色體隱性遺傳型,發病年齡約在孩童時期;
(三)常染色體顯性遺傳型,發病年齡約在孩童時期的晚期。第二型及第三型通常較為少見,發病較晚,症狀也較輕微,呈現緩慢的肌肉退化。
症狀
X染色體遺傳型
肌小管病常染色體遺傳型
此型的發病年齡較晚,症狀也較輕微,屬於漸進式退化疾病,部分患者仍必須仰賴呼吸照護。體染色體隱性遺傳型可發現面部肌肉無力,包括眼瞼、下巴、舌頭及喉嚨等,而體染色體顯性遺傳型則面部肌肉較不受影響,但可發現髖關節及肩膀逐漸無力,並呈現步態不穩,晚期可能需要依賴輪椅代步。
診斷
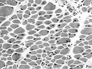
利用肌肉切片的病理分析,可診斷患者是否罹患此疾病。患者的肌肉切片中可發現細胞核聚集於肌肉纖維中,而非散布於肌肉纖維四周。另外,利用免疫染色分析法可發現肌肉纖維中,有如同胎兒肌肉的特異蛋白質(如desmin及fetalmyosin等)。肌肉切片雖可診斷出此疾病,但無法達到分型的目的,若要進行分型,必須仰賴基因診斷。遺憾的是,截至21世紀初只有X染色體遺傳型確認為是位於Xq28的MTM1基因發生變異所致,其他兩型之致病基因未明。
治療
1.呼吸照護:此疾病的治療最重要的是呼吸照護,患者必須長期仰賴呼吸器,氣管切開術亦可使患者維持生命,但在進行手術前,建議家長們必須偕同家人審慎考慮,為患者選擇最適當的決定。在氣切之後,必須注意患童的語言訓練,可使用溝通版多加練習,以增加患童與外界接觸的能力。
2.復健及手術治療:由於患者的呼吸問題,可配合胸腔科及復健科醫師進行呼吸訓練。另外,患童必須多加注意脊椎側彎的問題,以免影響呼吸功能,因此配合復健師的指導十分重要,若嚴重時仍需考慮以手術治療。
預防
避免到公共場所,避免因感染而影響病情,患童若到了就學年齡,可考慮選擇在家教育。另外,定期的接受各項檢查,包括腹部超音波檢查、血液檢查、眼科及牙科的追蹤,以確實治療各種併發症狀。
一般來說,若未經呼吸治療,X染色體遺傳型的肌小管病變預後不佳。有些報導指出,此類型一歲以前的死亡率高,但在細心的照顧下,患童存活機會仍很高,家長們務必與專科醫師配合,尋求最佳的照護模式。

