病因
肉孢子蟲囊呈援圓柱形或紡錘形,大小差別很大;長徑1~5cm,橫徑0.1~1cm,囊壁內有許多間隔把囊內蟲體—緩殖子分隔成簇。成熟卵囊長橢圓形,內含2個孢子囊,因囊壁膜而脆弱,常在腸內自行破裂,孢子囊即脫出。孢子囊呈現橢圓形或卵圓形,壁雙層而透明,內含4個子孢子,人肉孢子蟲的孢子囊較豬人肉孢子蟲的孢子囊稍大。人肌肉肉孢子蟲的中間宿主為人,其終宿主可能是食肉類哺乳動物、猛禽或爬行類。
臨床表現
人體感染後主要可出現消化道症狀如間歇性腹痛、腹脹、腹鳴、腹瀉、食欲不振、噁心、嘔吐、嚴重者可發生貧血、壞死性腸炎等。可有肌痛、皮下腫脹等,如囊壁破裂可釋放出一種很強的毒素—肉孢子毒素作用於神經系統、心、腎上腺、肝和小腸等,大量時可致死。
檢查
1.血象檢查嗜酸性粒細胞可增高,可作為輔助檢測。嗜酸性粒細胞增高可由多種疾病引起,並不能確診為肉孢子蟲感染。 2.硫酸鋅浮聚法用於在糞便中找到孢子囊或卵囊,此方法可以確診。
診斷
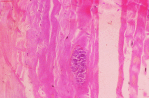
本病在糞便中發現蟲體卵囊即可確診,必要時可作十二指腸組織活檢。或經肌肉活檢可見人肌肉孢子蟲。
併發症
肉孢子蟲位於心肌則引起嚴重的心肌炎。心肌發生局限或瀰漫性炎症,表現為疲乏、發熱、胸悶、心悸、氣短、頭暈,嚴重者可出現心功能不全或心源性休克。
治療
肉孢子蟲病的治療尚處探索階段,暫無特製藥物。由於多數患者病情輕微,故一般不需藥物治療。腸型住肉孢子蟲病可用磺胺嘧啶、複方新諾明、吡喹酮治療,肌肉型住肉孢子蟲病通常可用抗球蟲藥物。其他對肉孢子蟲也有抑制作用的藥物,例如土黴素、磺胺喹惡啉加乙胺嘧啶、莫能黴素及伯氨喹等。
預後
本病症狀較輕微,且多可逐漸恢復痊癒,並不需特殊治療,一般預後良好。
預防
1.個人飲食衛生不吃生或未煮熟的豬、牛肉。不飲用衛生不達要求的水。 2.家畜管理加強豬、牛肉、羊等動物的飼養管理。處理好動物糞便,防止飲水和食物被狗、貓糞便污染。

