發病機制
(一)病原
寄生於豬的豬住肉孢子蟲有3種:1.米氏住肉孢子蟲 2.豬人住肉孢子蟲 3.豬貓住肉孢子蟲。
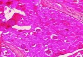
豬肉孢子蟲寄生於宿主的肌肉,形成與肌肉纖維平行的包囊,多呈紡錘形、橢圓形或卵圓形,色灰白至乳白;小的包囊肉眼難於觀察到,只有幾毫米,甚至不足1毫米,大的可達數厘米。囊壁由2層組成,內壁向囊內延伸,構成許多中隔,將囊腔分成若干小室。在發育成熟的包囊,小室中包藏著許多腎形或香蕉形的慢殖子,又稱為南雷氏小體或囊殖子,其大小為10~12微米×4~9微米,一端稍尖,一端偏鈍。
(二)發病機制
感染豬住肉孢子蟲病的寄生蟲發育必須在兩個不同種的宿主體內完成。豬的3種住肉孢子蟲的中間宿主是豬或野豬;其終末宿主是人、犬、貓等。終末宿主(如犬)在吞食了中間宿主的包囊之後,囊壁被消化,慢殖子逸出。慢殖子再鑽入小腸黏膜的固有層,直接發育為大配子體(雌性配子體)和小配子體(雄性配子體)。小配子體又分裂成許多小配子,然後大配子和小配子結合為合子。卵囊壁薄而脆弱,常在腸道內自行破裂,因此,在糞便中常見到的蟲體為含子孢子的孢子囊。孢子囊或卵囊被中間宿主豬吞食後,子孢子經血液循環到達各臟器(如肝等),在臟器血管的內皮細胞內進行2~3代裂殖生殖,產生大量裂殖子,然後裂殖子進入血流在單核細胞內增殖,最後轉入心肌或骨骼肌細胞內發育為包囊。再經1個月或數月發育成熟。
流行病學
1.感染情況:在世界各地的屠宰場中,豬的感染率為0.2%~96%,美國商品母豬的感染率為3%~18%;野豬為32%。中國的調查為:廣州7.76%,西安10%~30%,甘肅武威71.1%~80%,福建40%,湖南和雲南8.6%~76%,內蒙古44.9%,北京18%。豬住肉孢子蟲感染情況與人們的生活方式和動物的飼養管理模式有關;另外,感染率也隨年齡增長而有增高的趨勢,成年動物的感染率明顯高於幼齡動物。
2.感染源:終末宿主糞便中的孢子囊和卵囊是豬住肉孢子蟲病的感染來源。終末宿主一次感染,可持續排出孢子囊和卵囊十幾天至數月。孢子囊和卵囊對外界環境的抵抗力極強,在4℃下可存活1年之久。
人群感染住肉孢子蟲是由於食人未煮熟的豬肉(或牛、羊肉)引起的。
臨床症狀
感染豬住肉孢子蟲病的寄生蟲有明顯的致病性。從豬肉孢子蟲分離到的住肉孢子蟲毒素對家兔和小鼠的毒力很強,可引起肌細胞變性,肌束膜產生炎性反應。試驗證明,給小鼠注射含住肉孢子蟲的鮮肉勻漿,小鼠可在12h內發生死亡。
人工感染豬住肉孢子蟲試驗表明,低劑量1.5萬個孢子囊感染時,臨診上未見明顯症狀;2.5萬個孢子囊感染時,貓只呈現食欲不振和精神沉鬱;用5萬個感染時,體重下降11%~27%。用大劑量200萬~300萬個孢子囊感染時,患豬呈現呼吸困難、肌肉震顫、運動困難、耳部和頭部出現紫斑,出現全身貧血、血細胞減少、血小板減少、血凝不良等症狀,感染後12~15天發生死亡。妊娠3~15周的母豬感染200萬~800萬個孢子囊後,孕豬出現厭食、發熱、肢體僵硬、運動困難等嚴重的臨診症狀,感染豬於9~14天發生流產並死亡。
病理剖檢在肌肉組織中發現特異性包囊即可確診。肉眼可見到與肌纖維平行的白色帶狀包囊。
鑑別診斷
1.生前診斷:嚴重時可出現貧血、淋巴結腫脹、消瘦等一系列臨診症狀,但因無特異性而難以確診。
2.病理剖檢:在肌肉組織中發現特異性包囊即可確診。肉眼可見到與肌纖維平行的白色帶狀包囊。製作塗片時可取病變肌肉組織壓碎,在顯微鏡下檢查香蕉形的慢殖子,也可用姬氏液染色後觀察。做切片時,可見到住肉孢子蟲包囊壁上有輻射狀棘突,包囊中有中隔。
3.免疫學診斷:其方法有間接血凝試驗、酶聯免疫吸附試驗和瓊脂擴散試驗等。有人試用枯氏住肉孢子蟲作抗原進行IHA診斷牛住肉孢子蟲病,血清滴度超過1:162認為是特異性的。感染90天血清滴度可高達1:39000。
防治措施
豬住肉孢子蟲病的治療尚處於探索階段。使用常山酮、土黴素、氨丙啉、莫能菌素等抗球蟲藥治療有一定的療效。
尚無特效的治療藥物,對該病的預防顯得尤為重要。預防的關鍵是切斷住肉孢子蟲的傳染途徑。嚴禁犬、貓及其他肉食獸接近豬場,避免其糞便污染飼料和水源。各屠宰場和獸醫站均應做好肉品的衛生檢驗工作,對帶蟲肉品必須進行無害化處理;嚴禁用生肉餵犬、貓等終末宿主;因人也可能感染住肉孢子蟲病,故應注意個人的飲食衛生,不吃生的或未煮熟的肉品。
豬住肉孢住子蟲病肌肉中寄生的蟲體切片
