概述
硬膜下血腫是指位於硬腦膜和蛛網膜之間有完整包膜的血腫,傷後3周以後出現症狀者稱為慢性硬膜下血腫(CSDH);由於其表現不典型,臨床上常與腦腫瘤、腦血管病等相混淆,因此,正確認識其特點有重要意義。
病因
(一)發病原因
老年CSDH最主要原因是顱腦外傷,腦萎縮和抗凝,抗血小板藥物等因素參與其發病過程,中青年患者常需中至重度的外傷方可導致本病,而老年人因動作遲緩,行動不便等原因易於跌倒,且輕微的外傷就可引起重度CSDH,顱腦外傷主要損傷橋靜脈或皮質小靜脈而出血,老年人普遍存在腦萎縮,可使蛛網膜下腔擴大,橋靜脈相對拉長並充盈,增加了血管的易損性,腦萎縮還使顱腔相對擴大,當頭部加速或減速運動時橋靜脈易於撕裂或斷裂而出血,老年人顱內壓相對較低,一旦少量硬腦膜下出血則不易自行停止,容易形成血腫並產生包膜,包膜中新生毛細血管內皮又分泌過量的組織型纖溶酶原激活物(tPA),使局部纖溶亢進;加上抗凝,抗血小板藥物的套用,易引起包膜新生血管再出血,導致血腫不斷擴大,這就是老年人輕微顱腦外傷易產生明顯CSDH的原因。
(二)發病機制
老年CSDH主要原因是因行動不便容易跌倒,輕微外傷可導致本病,另外,腦和顱骨的相對運動增加,很容易引起橋靜脈的撕裂,即使在輕微暴力作用下,也可能發生,從而導致單純性硬膜下血腫。
症狀
老年性慢性硬膜下血腫的症狀:
痴呆昏迷偏癱人格改變意識障礙記憶力障礙
1.外傷史輕微或不明確中青年CSDH患者常有明確的中度,重度腦外傷史,而老年患者多只有輕微的頭部外傷史;由於當時未引起注意或因記憶障礙而遺忘,部分患者否認有外傷史,能提供顱腦損傷史的只占70%左右。
2.潛伏期長老年人外傷後至出現症狀多數在3個月以上,有的達數年;而中青年患者多在數天至數周則出現症狀,由於病情發展緩慢,潛伏期長,更增加了患者及家屬對外傷史的遺忘,因此,仔細追問受傷史至關重要。
3.精神症狀突出老年CSDH首發和主要症狀是精神症狀,如痴呆,人格改變,記憶障礙,定向力,判斷力和自知力喪失等,由於血腫僅產生腦葉或皮質受壓,偏癱等局灶體徵不明顯,昏迷及意識障礙少見。
4.出血量大由於包膜新生血管再出血等原因,老年CSDH出血量比中青年大(常超過100ml),且出血量常與症狀不成正比。
5.顱高壓不明顯老年人因顱腔相對擴大,腦組織受壓及顱高壓表現不如中青年患者典型。
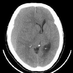
6.CT顯示等密度影較多見CSDH的CT顯示有高密度,低密度,等密度和混雜密度影4種表現,老年患者顯示等密度者較中青年多,因此,應注意腦室系統受壓和中線結構移位等現象,並進一步行MRI或腦血管造影或強化CT檢查以確診。

