簡介
羊瘙癢症朊病毒
羊瘙癢症是在綿羊中發現的傳染性海綿狀腦病,基於英國、法國和德國的記錄,通常可追溯到18世紀早期。語言學的證據提示該疾病可能早在2000年前就已經出現。朊病毒是一種只含有蛋白質成分的病毒,可引起羊瘙癢症和瘋牛病等許多神經性疾病。
早在300年前,人們已經注意到綿羊身上患有“羊瘙癢症”,其症狀表現為喪失協調性,站立不穩,煩躁不安,奇癢難忍,直至癱瘓死亡。20世紀60年代,英國生物學家阿爾卑斯用放射線處理病羊的DNA和RNA後,其組織仍具有感染性,因而認為“羊瘙癢症”的致病因子並非核酸(DNA或RNA),而可能是蛋白質。
疾病特徵
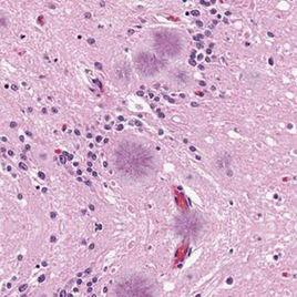
病羊的中樞神經系統會出現變異,腦組織呈海綿狀病變,主要症狀為運動機能下降、步態不穩、蹭癢等,最終會導致死亡。羊瘙癢病和瘋牛病類似,具有傳染性,但如今尚未發現它會傳染人類。
發現
1997年的諾貝爾醫學或生理學獎授予了美國科學家斯坦利·普魯斯納,因為他發現了一種新的致病因子,這種致病因子被稱為朊蛋白(prion)該縮寫名來自全稱‘蛋白質感染顆粒’。這種新的致病源由於本身沒有基因組而有別於已知的致病源(如細菌、病毒等)。朊蛋白在人和動物可引起遺傳性海綿狀腦病(TSE)。在動物病中有羊瘙癢症、瘋牛病等,在人類可引起雅各布氏病、庫魯病等。
羊瘙癢症是最早發現的朊蛋白病,而瘋牛病在英國的流行以及新近發現的新變種的人類雅各布氏病引起研究者們對朊蛋白疾病及其致病蛋白的更大關注。研究得知朊蛋白有兩種形式,一種為致病形式(PrPsc,sc是瘙癢症的縮寫),另一種為組織內正常存在的細胞形式(PrPc,c是細胞型的縮寫),這兩種蛋白在一級結構的胺基酸序列相同,僅構象有不同。如今普遍接受的朊蛋白疾病發生機制為PrPsc轉化PrPc為致病形式,致使越來越多的致病蛋白形成並堆積成越來越大的纖維狀聚集物,當致病蛋白聚集到一定程度,造成神經元死亡而使受累腦區呈現海綿樣空洞,這也就是為什麼用海綿樣腦病來描述所有的朊蛋白疾病。
試驗
朊病毒假說認為,破壞性蛋白質是包括瘋牛病、羊瘙癢症在內的多種致命性神經系統疾病的病因。《細胞》雜誌報導,美國德克薩斯大學加爾維斯敦醫學分部的神經生物學研究小組將健康腦組織和被羊瘙癢症感染的動物腦組織混合到一起。就像那些初次接觸病毒的動物一樣,健康腦組織中的PrPc被轉變成了PrPSc。在接下來的若干次感染中,他們用前一次被感染的腦組織去感染新的健康腦組織。經過這一過程,最初的少量啟動分子產生了數十億個PrPSc分子。儘管部分羊瘙癢症病源組織被帶入了最初的幾次感染過程,但它們最終也會被稀釋,直到從樣本中清除出去。不過,腦組織依然具有很強的傳染性,注入倉鼠大腦後能有效地引發羊瘙癢症。
瘋牛病與羊瘙癢症
瘋牛病與羊的瘙癢症也有相似之處。
瘋牛病 (“mad cow”disease) 學名為“牛海綿狀腦病” (Bovine Spongiform Encephalopathy -- BSE) ,是一種發生在牛身上的進行性中樞神經系統病變,症狀與羊瘙癢症類似,俗稱“瘋牛病”。病牛腦組織呈海綿狀病變,並出現步態不穩、平衡失調、搔癢、煩燥不安等症狀,通常在14至90天內死亡。
早在1730年就有羊瘙癢症的記載,在19世紀羊瘙癢症曾大流行,到20世紀後成為一種地方疾病,如今還在一些歐美國家散發性流行。該病症最大的特點是綿羊全身瘙癢,使它在牆壁上揩擦以求解脫;同時羊會走路不穩、跌倒、顫抖、瞎眼,最後死亡。1930年,法國獸醫已證明羊瘙癢症是一種傳染病。1958年英籍獸醫人員哈德洛(W.J.Hadow)研究發現,羊瘙癢症神經膠質細胞不正常繁殖,是一種神經退化傳染病。後來他發現羊腦變化和庫魯病極為相似;並寫信給蓋達塞克說:“在實驗室里羊瘙癢症可以跨越品種傳染,由綿羊染給山羊,或由山羊傳染給綿羊。”
最新研究
瑞士科學家2009年1月13日報告說,他們發現特定條件下,能引發瘋牛病、羊瘙癢症等海綿狀腦病的變異鋸蛋白可通過尿液傳染。這一研究發表在最新一期美國《科學》雜誌上。
蘇黎世大學醫院的鋸蛋白專家阿德里亞諾·阿古茲及其同事報告說,他們發現,感染了羊瘙癢病的實驗鼠,如果腎同時有炎症,那么在它們排泄的尿液中就會出現變異鋸蛋白。健康的實驗鼠注射了從上述尿液中提取的鋸蛋白後,就會感染羊瘙癢病。
食用患病動物的身體組織,一直被認為是瘋牛病、羊瘙癢病等海綿狀腦病的傳播途徑。人吃了受到感染的牛肉會發作人類海綿狀腦病,即瘋牛病。動物和人的海綿狀腦病如今尚無治療方法。

