簡介
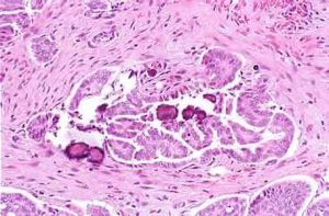
砂粒體(psammoma bodies):甲狀腺乳頭狀癌光鏡下,乳頭分枝多,乳頭中心有纖維血管間質,間質內常見呈同心圓狀的鈣化小體,即砂粒體。

砂粒體(psammoma bodies):甲狀腺乳頭狀癌光鏡下,乳頭分枝多,乳頭中心有纖維血管間質,間質內常見呈同心圓狀的鈣化小體,即砂粒體。
砂粒體(psammoma bodies):甲狀腺乳頭狀癌光鏡下,乳頭分枝多,乳頭中心有纖維血管間質,間質內常見呈同心圓狀的鈣化小體,即砂粒體。
砂粒病毒科是指在病毒粒內含砂粒狀類核糖體顆粒的1科。嚴格控制與野鼠、實驗動物接觸是有效的預防措施。實驗診斷主要用補體結合和間接免疫螢光試驗。
砂粒病毒科 正文 配圖 相關連線《砂粒計算》,希臘數學家、物理學家、天文學家阿基米德著。《砂是專講計算方法和計算理論的一本著作。
理論背景 推算方法 研究進展的砂粒、石塊組成的叫土石流;以粘性土為主,含少量粘粒、石塊、粘度大,成稠泥狀的叫土石流;由水和大小不等的砂粒、石塊組成的叫水石流。土石流...等。(三)崩塌。崩塌也叫崩落、垮塌或塌方,是陡坡上的岩體在重力作用下突然脫離...
概述 自然災害的影響 1、氣象災害 2、海洋災害 一、地質災害從土塊和團聚體裡搬走。土砂粒開始起動的臨界風速,因粒徑和地表狀況...半乾旱地區。侵蝕形式風力對土砂粒的吹移搬運,因土砂粒的大小和質量不同,出現 3種運動形式:①風揚。土砂粒中粒徑小於0.1 毫米的粉砂、粘砂,重量...
簡介 侵蝕形式 影響因素 風力侵蝕和風力沉積的區別 風沙移動規律就顯著加強,能將更多的土粒從土塊和團聚體裡搬走。土砂粒開始起動的臨界風速... 規律簡介 砂粒移動 風對地表所產生的剪下力和衝力引起細小土壤從團粒或者從土塊分離,稱為風的磨蝕作用;繼之土粒或砂粒被風帶走...
規律簡介 運動形式。沉砂池池體由分選區和集砂區兩部分構成,砂粒在攪攔槳形成的渦流作用下...新型機械鏇流沉砂池概述沉砂池的主要功能是排除污水中所夾帶的砂粒,減少砂粒對機械設備造成過量磨損。砂粒沉澱會減少水池的蓄水量和污水的停留時間...
新型機械鏇流沉砂池 性能特點。養珠形狀與天然珍珠相似,但表面光澤較弱,斷面中央有圓形的砂粒或石決明碎粒...的外套膜受到異物(砂粒、寄生蟲)侵入的刺激,受刺激處的表皮細胞以異物為核...貝和蚌貝在水中生長時,若偶然遇有細微的砂粒或較硬質的生物竄入殼中外套膜內...
物品簡介 發展歷史 形成原理 產珠貝類 形狀分類組成。其大小和含量直接影響土壤耕作的難易和對農機具的磨損程度。 砂粒...砂粒多的土壤較鬆散、通氣好、無脹縮性,但保水保肥力弱,磷、鉀等礦質養分含量低。 粉粒 顆粒的大小和性質均介於砂粒和粘粒之間。氧化矽和鐵鋁...
土壤物理 配圖 相關連線沉積物以河床礫石為主,成分複雜,礫石呈疊瓦狀排列,一般厚度不大,常呈透鏡體...,機械搬運物便大量沉積下來。所形成的沉積體形態,從平面上看像三角形,故...的透鏡體相互交疊,呈現出多元結構。由片流在坡坳、坡麓地帶形成的碎屑堆積物...
簡介 沉積作用 分類