圖書信息
白內障作 者:崔勇
出版社: 中國財政經濟出版社一
出版時間: 2009-12-1
ISBN: 9787509518663
開本: 16開
定價: 28.00元
內容簡介
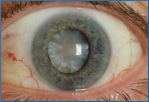
白內障(Cataract)是發生在眼球裡面晶狀體上的一種疾病,任何晶狀體的混濁都可稱為白內障,但是當晶狀體混濁較輕時,沒有明顯地影響視力而不被人發現或被忽略而沒有列入白內障行列。根據調查,白內障是最常見的致盲和視力殘疾的原因,人類約25%患有白內障。
主要症狀為,眼前陰影和漸進性、無痛性視力減退。混濁部位不同臨床表現多樣。
a.皮質性白內障,早期---,不影響視力;發展後查視力好0.6,要在強光下看書報。有些人暗光下看書清,中央混濁。有的發展慢(裂隙),發展快(裂隙混濁)。
b.核性白內障如高度近視眼,在視力減退的過程中可能出現屈光力增強,既原有的近視增加或原有的老花減輕,有些平時需戴老花鏡的人甚至去掉眼鏡也能看清報紙書籍,第二視力。
c.看到的東西發生重疊。強光下對比敏感度下降,夜間車燈照射下產生眩光。法國莫奈是著名的印象派畫家,據說他的成名是和白內障有關的。早期沒成名畫的池塘睡蓮上的橋BridgeoveraPoolofWater
Lilies,畫風細膩,色彩逼真。後來得了由於眼病得了白內障後,大膽運用了鮮艷的色彩成為印象派大師,是因為對比敏感度下降所致。
我們都應該養成定期做身體檢查的良好習慣,防微杜漸,確保您和家人的安全。日常可以用美國瞳仁眼貼進行養護眼睛,有激活蛋白分解酶的作用,滲入晶狀體內可分解並吸收變性蛋白質,改善眼組織的新陳代謝,維持晶狀體透明,阻止白內障發展。
編輯推薦
凡是各種原因如老化、遺傳、局部營養障礙、免疫與代謝異常、外傷、中毒、輻射等,都能引起晶狀體代謝紊亂,導致晶狀體蛋白質變性而發生混濁,稱為白內障。此時光線被混濁晶狀體阻擾無法投射在視網膜上,就不能看清物體。世界衛生組織從群體防盲、治盲角度出發,對晶狀體發生變性和混濁,變為不透明,以至影響視力,而矯正視力在0.7或以下者,才歸入白內障診斷範圍。
白內障症狀在臨床上分為囊下白內障,核性白內障和皮質性白內障三種類型。
1、囊下白內障:後囊下白內障症狀因混濁位於視軸區,早期即影響視力。
2、核性白內障:核性白內障症狀以晶體混濁多從胚胎核開始,逐漸擴展至成人核,早期呈黃色,隨著混濁加重,色澤漸加深如深黃色,深棕黃色。核的密度增大,屈光指數增加,病人常訴說老視減輕或近視增加。早期周邊部皮質仍為透明,因此,在黑暗處瞳孔散大視力增進,而在強光下瞳孔縮小視力反而減退。故一般不等待皮質完全混濁再進行手術。
3、皮質性白內障:以晶體皮質灰白色混濁為主要特徵,其發展過程可分為四期:初發期、未成熟期、成熟期、過熟期。
作者簡介
崔勇,眼科專業碩士研究生,畢業於中國人民解放軍第四軍醫大學,後進修於上海眼科診療中心,具有深厚的理論基礎以及較強的科研能力,有多篇學術論文發表于軍內眼科專業雜誌,對眼科的常見病,多發病有豐富的臨床經驗,擅長白內障、各類眼底病、眼表病的規範化診治。
目錄
第一章 葡萄膜炎,高度近視視網膜脫離和視網膜色素變性等眼部病變
第二章 型老年性白內障
第三章 糖尿病性白內障
第四章 萎縮性肌強直白內障
第五章 低鈣性白內障

