流行病學
中毒性白內障病因: 主要包括一些藥物和毒性物質:
1.糖皮質激素 長期全身或局部套用大劑量糖皮質激素,可產生後囊膜下混濁,其形態與輻射性白內障相似。最初在後囊膜下出現微細點狀或條紋狀混濁,裂隙燈下檢查可見點彩樣反光,間有囊泡樣改變;此時如不停藥,混濁將進一步擴大加重,最終形成典型的淡棕褐色盤狀混濁白內障一旦形成,在大多數病例減量或停藥均不能使其消退。白內障的發生與用藥劑量和持續時間有關用藥劑量越大,時間越長白內障發生率就越高。
2.縮瞳劑 長期使用抗膽鹼酯酶類縮瞳劑,特別是長效縮瞳劑如碘依可酯,可以引起前囊膜下產生微細囊泡,晚期可以引起後囊膜下和晶狀體核的改變。
3.氯丙嗪 長期給予氯丙嗪,可在前囊和皮質淺層出現微細的白色點狀混濁往往可在瞳孔區形成典型的星形混濁外觀。
4.其他製劑 有抑制有絲分裂作用的藥物,如白消安(busulfan)硝基化合物如二硝基酚(dinitrophenol)二硝基鄰甲酚(dinitro-o-cresol)和三硝基甲苯(trinitrotoluene,TNT);其中後者在職業病防護中占有重要位置。此外尚有萘(naphthalene)、丁卡因(tetracaine)、鉈(thallium)製劑等也可以誘發白內障產生。
發病機制
中毒性白內障1.皮質激素抑制 Na+-K+-ATP酶的泵吸機制 有報導在用地塞米松孵化的晶狀體中,晶狀體內的K+下降,Na+和水分增加。這是由於Na+-K+-ATP酶的泵吸機理受抑制所致。晶狀體生長區,上皮細胞相對減少,激素誘發的晶狀體混濁與半乳糖過量形成的晶狀體混濁極為相似。這表明激素的作用與半乳糖相似,因為晶狀體細胞內積存的半乳糖醇的通透性差,以致過量的水分進入晶狀體細胞引起白內障。
2.激素與晶狀體蛋白結合後形成賴氨酸-酮類固醇加合物 激素性晶狀體混濁與共價的糖皮質激素-晶狀體蛋白加合物的形成有關。糖皮質激素與蛋白的反應是非酶性的,系通過Schiff基的形成,在蛋白氨基組和酮類固醇C-20羰基之間發生,然後累及相鄰的C-21羥基引起Heyns重排,形成穩定的產物。
3.SH基蛋白在賴氨酸-酮類固醇加合物中發生氧化導致晶狀體蛋白聚合 凝膠過濾分析人眼激素性白內障的晶狀體蛋白證實,在活體內,潑尼松龍蛋白加合物存在於高分子硫基化合物中。糖皮質激素致白內障是通過進入晶狀體纖維與晶狀體蛋白的特殊胺基酸基因起反應的這樣使晶狀體蛋白發生改變,引起硫基激離形成二硫鍵,結果導致蛋白聚集,產生光折射的複合物。
各種毒性物質所致白內障的原因各異。如二硝基酚可增加組織氧化過程,使氧用盡以致產生白內障,也有人認為擾亂了肌酸代謝,影響了糖分解因而發生了白內障及肝臟中毒麥角鹼中毒可能是由於血管收縮和血管壁退化,引起晶狀體營養障礙也可能是因為晶狀體囊直接中毒,引起晶狀體新陳代謝障礙所致。
臨床表現
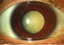
中毒性白內障中毒性白內障的形態接近於內分泌性白內障和並發性白內障開始時前囊下出現灰色塵狀和點狀混濁,有時混濁表現為條紋或絨毛狀混濁可分散存在或組成花形其中也可能有彩色結晶,後囊下的皮質有時呈環狀混濁。混濁呈顆粒狀,有金屬光澤,以鏡面反光法檢查可見彩色反光。皮質深層有不規則的珠灰色混濁。混濁發生後進展很快,先侵犯皮質,而後達到核部,以至全部晶狀體呈乳白色,最後呈珠灰色混濁。其中也常見水裂形成黑暗的空間,白內障在數日至數周內即可成熟。在成熟的過程中,因晶狀體吸收水分較快,容易發生繼發性青光眼。皮質類固醇性白內障的特徵:①部位:晶狀體混濁位於後極部皮質,恰好在晶狀體後囊下,有時明顯地侵犯後囊,或不規則地向前方皮質內侵犯。②形態:混濁的邊界通常是清楚的,偶然其周圍有淡灰色暈圍繞此細微的結構系由黃白色小結晶狀體混濁組成,並被大小相同的空泡分隔形成顆粒狀聚集偶見線狀條紋或數個較大的空泡。
併發症:與藥物及毒性物質引起的其他的全身性改變有關,如激素性青光眼、骨質疏鬆等。
診斷
中毒性白內障1.有藥物或毒物的接觸史,多為雙側發病。
2.因混濁輕微多無自覺症狀或稍有視力障礙,偶有閃光感。
3.先發生於晶狀體後囊下,呈不規則局限性混濁,有時帶有色彩。
4.若病情進一步發展,混濁向皮質及沿後囊向周邊皮質發展,但多不需要行手術。
5.及時停止用藥混濁有消散的可能。
鑑別診斷: 1.葡萄膜炎,高度近視視網膜脫離和視網膜色素變性等眼部病變 均可造成晶狀體損害。這種由眼部炎症所致的晶狀體混濁可見後囊的晶狀體腫脹,高度彩虹閃光,晶狀體混濁的邊界可見暈圈。這就是與皮質激素性白內障的區別。
2.後皮質型老年性白內障 可有晶狀體後囊或後囊下的改變,易與激素性後囊下晶狀體混濁相混淆。但前者常伴有其他部位晶狀體改變,如前囊或前囊下空泡。楔形或點狀皮質混濁和核硬化,這種老年性白內障明顯影響視力。激素性晶狀體混濁很少影響視力。
3.糖尿病性白內障 進展迅速,常有前皮質改變最主要的特徵是雪花狀小混濁。
4.萎縮性肌強直白內障 為後皮質的星狀混濁,並和襯於前、後囊的多色小混濁分界清楚。
5.低鈣性白內障 位於後部皮質,由一透明帶與後囊隔開。
檢查
中毒性白內障其它輔助檢查:
1.眼部特殊檢查 對手術效果存在疑慮或特殊要求懷疑合併其他眼病的患者,要進行相關的檢查。
(1)角膜內皮細胞檢查:觀察細胞密度(cell density,CD)和六邊型細胞(Hexagocyte)的比例。角膜內皮低於1000/mm2時應慎重考慮白內障手術方式以避免出現術后角膜失代償而影響手術效果及術後恢復。
(2)視網膜視力檢查:把特定的圖像或視標投射到視網膜上,無論屈光間質是否混濁,直接檢查視網膜的視力,以了解患者手術後可能達到的最佳視力,是術前評價黃斑功能的一種重要檢查方法。
(3)視野檢查:對於晶狀體混濁較輕,而具有一定視力的患者,進行視野檢查可發現合併白內障的其他疾病。如中心暗點要警惕黃斑病變的存在,生理盲點的擴大及視野特徵性的缺損要警惕青光眼及其他眼底病變的存在。由於白內障也會引起視野的改變,因此要聯繫裂隙燈觀察到的晶狀體混濁的部位而加以鑑別。
(4)視網膜電流圖(ERG)檢查:有閃光圖形和多焦3種ERG,可記錄視網膜的視錐細胞功能視桿細胞功能和混合功能。閃光ERG反映了整個視網膜的功能。圖形ERG主要反映黃斑的功能。多焦ERG能同時記錄中央30°視野內100多個視網膜位點上的ERG,有利於診斷和判斷術後視網膜的功能狀況。臨床上常套用的是閃光ERG,如術前ERG正常或輕度降低,估計術後視力恢復較好如果術前ERG明顯降低或記錄不到,估計術後的視力恢復不理想。
(5)視覺誘發電位檢查(VEP):VEP包括閃光VEP和圖形VEP用於記錄從視網膜到視皮質的神經通路功能。當黃斑部和視神經出現病變時,可表現為振幅的降低和潛伏期的延長。當患者術前視力小於0.1時一般採用閃光VEP檢查而患者視力較好時可採用圖形VEP檢查。因此在晶狀體明顯混濁時,VEP檢查對術後視功能的恢復程度具有較準確的預測性。
治療
1.阿司匹林套用 阿司匹林可抑制糖皮質激素-晶狀體蛋白加合物的形成。在體外試驗中,阿司匹林可使蛋白乙醯化從而抑制氰酸鹽和糖皮質激素性晶狀體混濁的形成長期使用阿司匹林的作用系阻斷賴氨酸殘基,使二硫鍵不能形成。其重要性在於套用它治療可避免因激素或其他賴氨酸反應物造成晶狀體蛋白改變的損害。
2.一旦發現晶狀體後囊下混濁,即停藥或逐步減量至停藥。遠離並避免接觸毒物。
3.套用一些治療白內障的藥物,局部或全身套用。若晶狀體完全混濁,可考慮手術摘除。
