發生機理
肺癌性淋巴管炎又稱為肺癌性淋巴管播散,是腫瘤細胞轉移到肺淋巴管內以後引起的病變。以腺癌致病者為多,最常見於肺、胃、乳房、結腸和胰腺等處癌腫的轉移。有2種轉移方式:一是腫瘤細胞經淋巴幹道轉移到縱隔淋巴結,再逆行到肺門淋巴結,淋巴結受累腫大,使相應的肺門淋巴引流受阻而發生返流。二是腫瘤細胞經血行轉移到肺部小動脈內形成癌栓或有腫瘤結節,進一步發展則腫瘤細胞穿過血管進入肺間質和淋巴管內而發病。原發肺癌灶的腫瘤細胞可轉移入小動脈或者直接入淋巴管而循上過第二途徑發病。因腫瘤細胞在淋巴管內生長繁殖,或/及淋巴引流受阻,都使淋巴管擴張,局部可出現間質性肺水腫,也可因腫瘤細胞的成纖維反應而致間質增生,再加上腫瘤細胞在間質內生長,致使間質性病變加重,多見於淋巴管及結締組織豐富的支氣管血管周圍,小葉間隔及胸膜下區域。
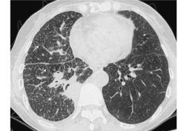
CT表現
肺血管增粗、支氣管壁增厚、小葉間隔及胸膜增厚,並可使這些組織邊緣表現為不規則、結節狀或串珠狀。Johkoh等將其CT表現分為三型:
1.軸心間質增生為主:從肺門到周圍肺野可見血管或/和支氣管壁增粗增厚,甚至可見小葉核心增粗,少見或者不見小葉間隔增寬;
2.周圍間質增厚為主:小葉間隔增寬為突出表現,呈條狀垂直於胸壁或連成長條狀,在肺的中心部分可見因小葉間隔增寬而襯托出多邊形的小葉輪廓,少見或者不見有軸心間質增厚現象;
3.軸心間質及周圍間質增厚都有。
如果以小葉間隔增厚為主的病例,肺功能會損害迅速,多於短期內死於呼吸衰竭。
鑑別診斷
1.以軸心增厚為突出表現或還呈結節狀邊緣的,唯一需與之鑑別的是胸部結節病的肺內病變,兩者均可有胸內淋巴結腫大,但後者是非乾酪性肉芽腫性病變,無壞死現象,也無多個腫大的淋巴結融合呈團現象,良性的淋巴結腫大,可以推移附近組織但不會侵犯鄰近器官也不累及脂肪組織。結節病的肺部改變以軸心間質增厚為主,小葉間隔增厚相對較少;還可有肺內結節,細小的結節多成簇狀分布於周圍肺野的肺紋理附近。而癌性淋巴管炎病人中胸內淋巴結腫大可有可無,大的淋巴結可有壞死及融合,在增強掃描時顯示淋巴結呈不規則邊緣增強,中心壞死區為低密度,淋巴結可侵犯周圍組織,小葉間隔增寬為常見表現。
2.均勻的小葉間隔增厚為為主者需要與間質性肺水腫鑑別。水腫範圍廣泛時可有呼吸功能不全的表現,但肺水腫往往起病比較急,有促發肺水腫的基礎疾病或近期致病因素,以身體低垂部位較明顯,對症治療後間質性肺水腫能很快消退;但癌性淋巴管炎患者往往療效不佳,且呈逐漸惡化趨勢,小葉間隔增厚現象不消退而呈緩慢發展。
除此之外本病還要與間質性肺炎,放射性肺炎,肺間質纖維化等疾病相鑑別;主要是結合病史及影像資料
CT能清晰顯示肺血管及支氣管壁的病變徵象,尤其是高解析度CT(HRCT)能顯示小葉核心及葉間胸膜的增厚和增粗,進而全面顯示每一病例肺部病變的詳細情況。

