病理病因
一、發病原因
膽管癌的病因至今尚不十分清楚,已發現與下列因素有關:
1.膽道慢性炎症、感染因素 長期的慢性炎症刺激是膽管癌發生的基礎,因為臨床上發現與膽管癌有聯繫的疾病均可導致膽管慢性炎症。膽汁中某些物質(如膽汁酸的代謝產物)長期對膽道黏膜的刺激,導致上皮不典型增生。
2.膽管、膽囊結石20%~57%的膽管癌患者伴有膽結石,因而認為結石的慢性刺激可能是致癌因素。
3.潰瘍性結腸炎有報導,潰瘍性結腸炎患者膽管癌發生率較一般人群高10倍。伴潰瘍性結腸炎的膽管癌患者發病年齡較一般者早20~30年,平均為40~45歲,常有長期的結腸炎病史,病人門靜脈系統的慢性菌血症可能是誘發膽管癌和PSC的原因,病變多波及全結腸,潰瘍性結腸炎致膽道癌可能與慢性門靜脈菌血症有關。
4.膽管囊性畸形(先天性膽管擴張症) 先天性膽管囊腫容易癌變已成為共識,先天性膽管囊腫病人膽管癌的發病率高達2.5%~28%,膽管囊性畸形者發生癌變較正常人早20~30年。儘管75%的膽管囊性畸形在嬰兒期和兒童期出現症狀,但就膽管癌的發生來說,有3/4的患者是成年期出現膽管囊性畸形症狀者。關於膽管囊性畸形導致膽管癌變的機制,有人認為胰管匯入膽管的開口異常高時,會使胰液反流入膽管引起膽管上皮惡變。其他可能導致惡變的因素有膽汁淤滯、結石形成和囊腔內慢性炎症等。
5.肝吸蟲(中華分支睪吸蟲)感染 華支睪吸蟲感染也被認為與膽管癌的發生有一定聯繫,雖然華支睪吸蟲多寄生於肝內膽管,但也可寄生在肝外膽管,蟲體本身及代謝產物對膽管黏膜上皮長期刺激,引起膽管黏膜增生,產生瘤樣改變、癌變。
6.膽道手術史 膽管癌可發生在手術多年之後,可發生在不含結石的膽管,主要是慢性膽道感染導致上皮間變,常是在膽道內引流術後。
7.放射性二氧化釷 與釷有接觸史的患者中,膽管癌的發病年齡較無釷接觸史者早10年,其平均潛伏期為35年(接觸釷後),且較多發生在肝內膽管樹的末梢。
8.硬化性膽管炎惡變原發性硬化性膽管炎(PSC)病人患膽管癌的機會也高於一般人群,PSC亦與潰瘍性結腸炎有關。
9.B型肝炎病毒感染 國內部分膽管癌病人伴有B型肝炎病毒感染,二者之間是否有聯繫尚待進一步闡明。
10.K-ras基因突變 近年來分子生物學研究表明,膽管癌K-ras基因12密碼子突變率達77.4%,說明K-ras基因突變在膽管癌的發生中可能起比較重要的作用。
此外,可能與胰液反流、膽汁淤滯、結石形成、膽管良性腫瘤惡變、肝臟幹細胞的腫瘤樣分化有關。均可造成對膽管黏膜的慢性炎症刺激,進而誘發膽管癌。
二、發病機制
膽管細胞癌膽管癌可發生在肝外膽管的各個部位,其中以近段膽管(肝門部膽管)最多見,約占58%;中遠段膽管分別占13%和18%,發生在膽囊管者占4%,另有7%為瀰漫發生。
1.病理特徵
(1)肉眼形態學分類:根據腫瘤的大體形態可將膽管癌分為乳頭狀型、硬化型、結節型和瀰漫浸潤型4種類型。其中以浸潤型較多見,其次為結節型,而乳頭型較少見。膽管癌一般較少形成腫塊,而多為管壁浸潤、增厚、管腔閉塞;癌組織易向周圍組織浸潤,常侵犯神經和肝臟;病人常並發肝內和膽道感染而致死。
①乳頭狀癌:大體形態呈乳頭狀的灰白色或粉紅色易碎組織,常為管內多發病灶,向表面生長,形成大小不等的乳頭狀結構,排列整齊,癌細胞間可有正常組織。好發於下段膽管,易引起膽管的不完全阻塞。此型腫瘤主要沿膽管黏膜向上浸潤,一般不向膽管周圍組織、血管、神經淋巴間隙及肝組織浸潤。手術切除成功率高,預後良好。
②硬化型癌:表現為灰白色的環狀硬結,常沿膽管黏膜下層浸潤,使膽管壁增厚、大量纖維組織增生,並向管外浸潤形成纖維性硬塊;伴部分膽管完全閉塞,病變膽管伴潰瘍,慢性炎症,以及不典型增生存在。好發於肝門部膽管,是肝門部膽管癌中最常見的類型。硬化型癌細胞分化良好,常散在分布於大量的纖維結締組織中,容易與硬化性膽管炎、膽管壁慢性炎症所致的瘢痕化、纖維組織增生相混淆,有時甚至在手術中冷凍組織病理切片檢查亦難以作出正確診斷。硬化型癌有明顯的沿膽管壁向上浸潤、向膽管周圍組織和肝實質侵犯的傾向,故根治性手術切除時常需切除肝葉。儘管如此,手術切緣還經常殘留癌組織,達不到真正的根治性切除,預後較差。
③結節型癌:腫塊形成一個突向膽管遠方的結節,結節基底部和膽管壁相連續,其膽管內表面常不規則。瘤體一般較小,基底寬、表面不規則。此型腫瘤常沿膽管黏膜浸潤,向膽管周圍組織和血管浸潤程度較硬化型輕,手術切除率較高,預後較好。
④瀰漫浸潤型癌:較少見,約占膽管癌的7%。癌組織沿膽管壁廣泛浸潤肝內、外膽管,管壁增厚、管腔狹窄,管周結締組織明顯炎症反應,難以確定癌原始發生的膽管部位,一般無法手術切除,預後差。
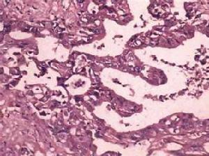
(2)組織學分類:95%以上的膽管癌為腺癌,少數為鱗狀上皮癌、黏液癌,囊腺癌等,在原發性肝外膽管癌中,以膽總管癌最多見,33%~40%;其次為肝總管癌,30%~32%;肝總管分叉處,為20%;膽囊管4%。
肝外膽管癌組織學缺乏統一的分類,常用的是按癌細胞類型分化程度和生長方式分為6型:①乳頭狀腺癌;②高分化腺癌;③低分化腺癌;④未分化癌;⑤印戒細胞癌;⑥鱗狀細胞癌等,以腺癌多見。分型研究報告各家不盡一致,但最常見的組織學類型仍為乳頭狀腺癌、高分化腺癌,占90%以上,少數為低分化腺癌與黏液腺癌,也有罕見的膽總管平滑肌肉瘤的報告等。
2.轉移途徑 約71.4%的膽管癌有直接浸潤或轉移,其中33.3%波及肝臟,33.3%波及所屬淋巴結,17.5%為腹膜播散。由於膽管周圍有血管、淋巴管網和神經叢包繞,膽管癌細胞可通過多通道沿膽管周圍向肝內或肝外擴散、滯留、生長和繁殖。膽管癌的轉移包括淋巴轉移、血行轉移、神經轉移、浸潤轉移等,通過以上多種方式可轉移至其他許多臟器。肝門部膽管癌細胞可經多通道沿膽管周圍淋巴、血管和神經周圍間隙,向肝內方向及十二指腸韌帶內擴散和蔓延,但較少發生遠處轉移。
(1)淋巴轉移:較常見。常轉移至肝門部和胰周淋巴結,較少發生遠處淋巴轉移,以上段膽管癌淋巴結轉移率較高。膽管在肝內與門靜脈、肝動脈的分支包繞在Glisson鞘內,其中尚有豐富的神經纖維和淋巴。Glisson鞘外延至肝十二指腸韌帶,其記憶體在更豐富的神經纖維、淋巴管、淋巴結及疏鬆結締組織,而且膽管本身有豐富的黏膜下血管和淋巴管管網。近年來隨著高位膽管癌切除術的發展,肝門的淋巴結引流得到重視。有人在27例肝門部淋巴結的解剖中,證明肝橫溝後方門靜脈之後存在淋巴結,粗大的引流淋巴管伴隨著門靜脈,且在膽囊淋巴結、膽總管淋巴結與肝動脈淋巴結之間有粗大的淋巴管相通。
淋巴轉移為膽管癌最常見的轉移途徑,並且很早期就可能發生。有報導僅病理檢驗限於黏膜內的早期膽管癌便發生了區域淋巴結轉移。膽管癌的淋巴結分組有:①膽囊管淋巴結;②膽總管周圍淋巴結;③小網膜孔淋巴結;④胰十二指腸前、後淋巴結;⑤胰十二指腸後上淋巴結;⑥門靜脈後淋巴結;⑦腹腔動脈旁淋巴結;⑧肝固有動脈淋巴結;⑨肝總動脈旁前、後組淋巴結;⑩腸系膜上動脈旁淋巴結,又分為腸系膜上動脈、胰十二指腸下動脈和結腸中動脈根部以及第一支空腸動脈根部4組淋巴結。總體看來,肝門部膽管癌淋巴結轉移是沿肝動脈途徑為主;中段膽管癌淋巴結轉移廣泛,除了侵犯胰後淋巴結外,還可累及腸系膜上動脈和主動脈旁淋巴結;遠段膽管癌,轉移的淋巴結多限於胰頭周圍。
(2)浸潤轉移:較為常見。膽管癌細胞沿膽管壁向上下及周圍直接浸潤是膽管癌轉移的主要特徵之一。上部膽管癌向鄰近膽管的肝臟浸潤,中部膽管癌向肝固有動脈和門靜脈浸潤,下部膽管癌向胰腺浸潤。癌細胞多在膽管壁內瀰漫性浸潤性生長,且與膽管及周圍結締組織增生並存,使膽管癌浸潤範圍難以辨認,為手術中判斷切除範圍帶來困難。此外,直接浸潤的結果也導致膽管周圍重要的毗鄰結構如大血管、肝臟受侵,使手術切除範圍受限而難以達到根治性切除,而癌組織殘留是導致術後很快復發的主要原因之一。肝轉移是上部膽管癌的主要轉移方式,腹膜播散較少見。
(3)血行轉移:可達全身,最常見為肺,達10%~25%。病理學研究表明,膽管癌標本中及周圍發現血管受侵者達58.3%~77.5%,說明侵犯血管是膽管癌細胞常見的生物學現象。膽管癌腫瘤血管密度與癌腫的轉移發生率明顯相關,且隨著腫瘤血管密度的增加而轉移發生率也升高,提示腫瘤血管生成在膽管癌浸潤和轉移中發揮重要的作用。臨床觀察到膽管癌常常發生淋巴系統轉移,事實上腫瘤血管生成和血管侵犯與淋巴轉移密切相關。因此,在膽管癌浸潤和轉移發生過程中,腫瘤血管生成和血管侵犯是基本的環節。
(4)沿神經蔓延:神經侵犯發生率可達33.3%~83.4%,故臨床上以黃疸和疼痛為多見症狀。支配肝外膽道的迷走神經和交感神經在肝十二指腸韌帶上組成肝前神經叢和肝後神經叢。包繞神經纖維有一外膜完整、連續的間隙,稱為神經周圍間隙(perineural space)。以往多認為,神經周圍間隙是淋巴系統的組成部分,但後來通過光鏡和電鏡觀察證明,神經周圍間隙是一個獨立的系統,與淋巴系統無任何關係,腫瘤細胞通過神經周圍間隙可向近端或遠端方向轉移。統計表明,神經周圍間隙癌細胞浸潤與肝及肝十二指腸韌帶結締組織轉移明顯相關,提示某些病例肝臟、肝十二指腸韌帶及周圍結締組織的癌轉移可能是通過神經周圍間隙癌細胞擴散而實現的。因此,神經周圍間隙浸潤應當是判斷膽管癌預後的重要因素。
3.膽管癌的臨床病理分期 目前臨床上多使用國際抗癌聯盟(UICC)的TNM分期標準,對衡量病情、確定治療策略和評估預後是一個重要參考。
Bismuth-Corlette根據病變發生的部位,將肝門部膽管癌分為如下5型(圖2),現為國內外臨床廣泛使用:
Ⅰ型:腫瘤位於肝總管,未侵犯匯合部;
Ⅱ型:腫瘤位於左右肝管匯合部,未侵犯左、右肝管;
Ⅲ型:腫瘤位於匯合部膽管並已侵犯右肝管(Ⅲa)或侵犯左肝管(Ⅲb);
Ⅳ型:腫瘤已侵犯左右雙側肝管。
在此基礎上,國內學者又將Ⅳ型分為Ⅳa及Ⅳb型。
影像學表現
CT表現:
1.末梢型膽管癌:平掃表現為邊緣不規則的低密度占位性病變,一般密度比較均勻。增強掃描於早期時相可見腫瘤邊緣呈輕度環狀增強,晚期時相於腫瘤邊緣顯示為低密度環,而中心表現為高密度,並可見腫瘤末梢側枝肝內膽管擴張徵象。
2cm以下腫瘤常不能顯示上述增強掃描特徵,只顯示整個腫瘤呈輕度增強效應。有時與肝細胞癌難以鑑別。
此外,在末梢部膽管內發育的乳頭狀膽管癌常以末梢膽管的限局性擴張為惟一診斷依據,需注意與肝內膽管結石鑑別診斷。
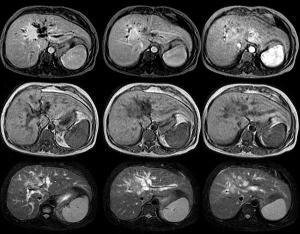
2.肝門部膽管細胞癌:平掃,腫瘤與周圍肝實質至等密度,肝內膽管呈顯著擴張。增強早期時相腫病至低密度,約 10-15min後,腫瘤中心表現為高密度。這種動態變化有重要診斷價值。
只有壁內浸潤,尚未形成壁外肝內腫塊時,CT增強只顯示膽管壁肥厚,需注意與慢性膽管炎鑑別診斷。但其管壁增厚不均,且顯示僵硬為其不同。
[鑑別診斷]
需與肝細胞癌、肝膿腫鑑別。
症狀體徵
一、症狀
進行性黃疸是膽管癌的主要症狀(80%~90%),其他如體重減輕、身體瘦弱、肝臟腫大,有時並能觸及腫大的膽囊,均為本病常見的症狀。
二、臨床表現
臨床表現主要為伴有上腹部不適的進行性黃疸、食欲不振、消瘦、瘙癢等。如合併膽結石及膽道感染,可有發冷、發熱等,且有陣發性腹痛及隱痛。如位於一側肝管癌腫,開始常無症狀,當影響至對側肝管開口時,才出現阻塞性黃疸。如膽管中部癌不伴有膽石及感染,多為無痛性進行性阻塞性黃疸。黃疸一般進展較快,不呈波動性。檢查可見肝腫大、質硬、膽囊不腫大。如為膽總管下端部,則可捫及腫大的膽囊。如腫瘤破潰出血,可有黑便或大便潛血試驗陽性、貧血等表現。
(1)症狀:
①黃疸:為最常見的症狀,約占36.5%。黃疸是膽道阻塞的結果,多呈進行性加深,其程度與梗阻部位和程度有關。肝外膽管梗阻時黃疸較深,肝內膽管分支受阻時黃疸較淺。完全性膽管阻塞時黃疸較深,不完全性膽管阻塞時黃疸較淺。偶爾膽管的炎症、痙攣以及腫瘤脫落和乳頭型的腫瘤偏位,可使黃疸有所波動。中下段膽管癌常表現為無痛性膽汁淤積性黃疸。患者尿色深黃或呈茶色,大便變淺或為陶土色。
②腹痛:可呈進食後上腹部輕度不適,或劍突下隱痛不適,或背部疼痛,或右上腹絞痛,系神經侵犯的表現。可出現於黃疸之前或黃疸之後。
③發熱:多為梗阻膽管內炎症所致,發生率較低。
④其他:可有食欲不振、厭油、乏力、體重減輕、全身皮膚瘙癢、噁心嘔吐等伴隨症狀,或癌腫的非特異性症狀。少數可有門脈高壓症狀,系癌腫浸潤門靜脈所致。
(2)體徵:
①肝臟腫大:80%以上的患者有肝大,多為肝內膽汁淤積所致。
②膽囊腫大:如癌腫發生於三管匯合處以下部位,可觸及腫大的膽囊。
③腹水:晚期因腹膜侵犯,或侵犯門靜脈,導致門脈高壓,可出現腹水。
2、癌腫的位置與臨床表現 具體的臨床表現,將視癌腫的位置及病程之早晚而有所不同。
(1)位於膽總管末段壺腹部的癌腫:以膽總管及胰管的阻塞為突出症狀,且由於癌腫崩潰可有腸道出血及繼發貧血現象。患者常有進行性黃疸及持續性背部隱痛,但如膽管內並有結石,疼痛也可呈絞痛狀。由於胰管有時受到阻塞,可能影響胰腺的內分泌而有血糖過高或過低現象,更可能因外分泌的缺失導致脂性腹瀉。因膽管受到阻塞,也將影響到脂性食物的消化。由於膽、胰管同時受阻塞,磁共振胰膽管造影(MRCP)檢查可有典型的“雙管征”,並時常有膽囊脹大和肝臟腫大。壺腹部癌腫病灶很小時即可出現黃疸,且極易發生潰瘍出血,糞便可呈柏油樣而貧血嚴重。故凡患者有進行性黃疸、經常有腸道出血,且有頑固的脂性腹瀉者,極有可能是壺腹部癌。
(2)位於壺腹部與膽囊管之間的膽總管癌:症狀與胰頭癌相似,但因胰管並未受累,臨床上應無胰腺內分泌和外分泌紊亂現象。如患者以往未有慢性膽囊炎,則膽囊將顯著擴大,符合Courvoisier定律。
(3)位於肝總管內的癌腫:黃疸極為顯著,肝臟腫大亦極明顯;膽囊則不腫大,有時僅含黏液及白膽汁。
凡40歲以上的黃疸患者,或有原因不明的上腹部不適、脹痛、納差等消化系症狀,肝臟腫大伴或不伴膽囊腫大,均應懷疑膽管癌而進行進一步B超、CT、MRI、ERCP、超聲內鏡、膽道鏡、PTC、低張十二指腸造影術,或選擇性血管造影檢查可以確診。
總的說來,黃疸雖然是本病的明顯症狀,但其正確診斷常有困難,易與膽總管結石混淆,特別是黃疸出現前的明確診斷實為不易,常需對有上腹部隱痛不適或有梗阻性黃疸者作全面仔細的檢查分析方能作出較為正確的診斷,有時尚待剖腹探查後方能明確真相。以往的文獻統計術前診斷正確者僅占病例的1/3,但近年來隨著影像學診斷技術的發展和改進,其術前正確診斷率則大為提高,重要的是應對有可疑的患者及時選取相應的檢查,這樣可對該病做出較為早期的診斷和治療。
膽管癌結合臨床表現、實驗室及影像學檢查可作出初步診斷。肝外膽管癌術前診斷目的包括:①明確病變性質;②明確病變的部位和範圍;③確定肝內外有無轉移灶;④了解肝葉有無萎縮和肥大;⑤了解手術切除的難度。
並發病症
後期可出現脾腫大和腹水等門靜脈高壓表現。
1、黃疸是膽道阻塞的結果,多呈進行性加深,其程度與梗阻部位和程度有關。
2、晚期因腹膜侵犯,或侵犯門靜脈,導致門脈高壓,可出現腹水。
檢查鑑別
一、檢查
糞便隱血試驗可能陽性。血清和膽汁中癌胚抗原(CEA)和糖鏈抗原CA-199、CA-50、CA-242在膽管癌中有一定陽性率,可用於輔助診斷和術後隨訪。
1、直接膽紅素增高 實驗室檢查呈梗阻性黃疸的表現,血清總膽紅素和直接膽紅素升高表現為膽汁淤積性黃疸。
2、繼發性肝損害的表現 在長期膽道梗阻者,可有繼發性肝功能損害,ALT和AST輕度升高是繼發性肝損害的表現。血清總蛋白和白蛋白減少系營養不良和肝損害的表現。凝血酶原時間延長系膽道阻塞和繼發性肝損害的表現。γ-GT及鹼性磷酸酶增高。在早期未出現黃疸時ALP、γ-GT就有升高,提示膽道阻塞。
3、血象檢查 半數以上患者血白細胞計數在8×109/L以上,若明顯升高,提示膽道感染。61%~70%患者可有不同程度的Hb減少。
影像學檢查的主要目的是診斷梗阻的部位、判斷可能的病變性質和估計病變的範圍以及和周圍組織器官的關係。
1、B超在諸多影像學檢查中,B型超聲為首選診斷方法。實時超聲檢查對膽管梗阻的部位和程度的診斷率高,對膽管擴張的檢出率可達95%以上,為首選檢查。超聲導引下細針穿刺抽吸細胞學檢查是一種簡便、安全、有效的方法。內鏡超聲(EUS)的探頭與膽道系統僅隔一層腸壁,排除了胸腹壁與胃腸道重疊等干擾,可更清晰地觀察膽道情況。管腔內超聲(intraductal-ultra sonography,IDUS)利用微型超聲探頭,可經PTC竇道或ERCP途徑直接進入膽道掃描,完全排除了遮蓋膽道組織的干擾,圖像較EUS更為清晰。IDUS能探查到膽管微小癌,膽管癌浸潤深度的判斷準確率為73%,對胰腺和十二指腸是否受累及的判斷準確率達100%。更進一步使用管腔內彩色都卜勒超聲技術(ECDUS),可探查膽道系統周圍的血管血流,對判斷肝動脈和門靜脈是否被侵犯的準確率達100%。可見:
(1)肝內膽管不同程度擴張。
(2)膽管下段或中段癌伴肝外膽管明顯擴張及膽囊腫大、肝門膽管癌則見膽囊空虛、肝外膽管不擴張。
(3)在晚期病例於膽管上、中、下段癌腫,分別於肝門區、膽管中段或膽管下段可見低回聲團塊影,少數膽管癌可見肝實質腫瘤侵犯或轉移腫塊影。
(4)B超還可顯示腫瘤侵犯範圍,門靜脈、肝動脈受壓或被侵犯的程度;在B超醫師與臨床醫師共同配合下可以提供本病的診斷依據和估計腫瘤切除的可能性。
2、CT CT仍是常規的檢查方法,可以顯示肝內外膽管的擴張、可見梗阻近段膽管明顯擴張,膽囊增大,擴張的膽管突然中斷,斷端形態不規則,並見塊影。有時可見膽管壁增厚,管腔不規則狹窄,腫大的膽囊以及周圍組織器官、血管的受累情況,或從膽管壁突入腔內的小結節影。為病變分期和手術切除的可能性提供依據。螺鏇CT血管造影(SCTA)技術可在很短時間內完成系列薄層斷面的血管影像,三維血管重建技術還為了解腫瘤與血管關係、肝門部腫瘤能否切除提供重要信息。CT掃描可獲得與B超相同的效果,且影像更為清晰。
3、超聲內鏡(EUS) EUS是由內鏡與腔內超聲兩種顯像技術結合起來的一種新型診斷工具。膽管壁EUS下可分三層:第一層高回聲相當黏膜加界面回聲;第二層低回聲為平滑肌纖維與纖維彈力組織;第三層高回聲為疏鬆的結締組織加界面回聲。膽管癌EUS下呈低回聲或高回聲的腫塊,檢出率達96%,並可提示腫物大小和有無淋巴結轉移。
4、經皮經肝膽道造影術(PTC) 是膽管腫瘤診斷的基本手段,能顯示腫瘤的位置和範圍,確診率達90%以上。PTC適用於肝內膽管有擴張的患者,術後可留置導管進行膽汁引流(PTCD)。對B超、CT檢查顯示有肝內膽管擴張的患者可行PTC檢查,不僅可直接顯示並明確腫瘤的部位、病變的上緣和累及肝管的範圍,同時還可了解腫瘤與肝管的關係。此種檢查對術前確定手術方案有重要意義,其正確診斷率可達90%以上。但此檢查屬創傷性,且易引起膽汁漏和膽管炎。為避免上述併發症,最好在手術前一天進行檢查,在檢查後儘量排盡造影劑,並隨時準備進行手術。
5、逆行胰膽管造影(ERCP) 適用於膽管未完全阻塞的病例,可從膽管遠端顯示梗阻部位、判斷病變範圍,術後也可行膽汁引流(ENBD/ERBD)。PTC與ERCP聯合套用,可明顯提高膽管癌的診斷率。引流的膽汁還可行腫瘤標記物檢測和細胞學檢測。單獨使用ERCP僅能顯示膽總管中下部情況,但與PTC合用則有助於明確病變的部位、病灶的上下界限及病變的性質,尤其適用於有膽道不全性梗阻伴有凝血機制障礙者。經ERCP檢查,診斷符合率75、5%。
6、纖維膽道鏡 可明確病變部位、範圍,尤其適用於肝內膽管、十二指腸胰腺段膽管的較早期腫瘤,纖維膽道鏡不僅可顯示病變的形態,並可作活檢來明確診斷。經口膽道子母鏡(PCS)以及纖維膽道鏡更可直視膽管內病變並鉗取組織活檢或細胞刷檢。
7、選擇性血管造影(SCAG)及經肝門靜脈造影(PTP) 可顯示肝門部入肝血管的情況及其與腫瘤的關係,膽管癌多屬血供較少的腫瘤,血管造影一般不能對腫瘤的性質及範圍做出診斷,主要可顯示肝門處血管是否受到侵犯。若肝固有動脈及門靜脈乾受侵犯,則表示腫瘤有肝外擴展,難以施行根治性切除。此項檢查有助於術前估計腫瘤的可切除性。
為達到在術前確診的目的,近10年來,國內外有人用PTC、ERCP等方法取膽汁或取活組織做細胞學、組織學檢查,但陽性率不高。
8、磁共振胰膽管造影(MRCP) 可顯示近乎100%的肝外膽管,90%不擴張的肝內膽管也可沿肝外膽管向上追蹤,85%~100%可明確梗阻部位。優於PTC和ERCP的是,MRCP可同時顯示梗阻近端和遠端的膽管,因此能計算梗阻的長度以及距離壺腹部的長度,便於手術計畫的制訂。MRI常規的橫斷和冠狀面掃描還可提供肝臟及周圍組織的受累情況。
二、鑑別
膽管癌的特點是:①腹痛比黃疸明顯;②夜間痛、靜息痛為主;③ALP、γ-GPT早期顯著升高;④B超和CT可見阻塞上端膽管擴張,很少見到腫塊;⑤直接膽道造影可見特異的膽管阻塞影像。膽管癌需與下列良惡性疾病相鑑別。
1、膽管良性疾病
(1)膽管良性腫瘤:在病史、體檢和直接膽道造影中,膽管良惡性腫瘤的鑑別很難,一般需依賴於組織學、細胞學檢查。但如術前發現轉移病灶者肯定為惡性。
(2)膽總管結石:病史較長,多有發作性腹痛史,黃疸也多為間歇性,有明顯的症狀緩解期。疼痛發作時常伴有不同程度的膽管炎表現,如發熱、寒戰、血象增高、局限性腹膜炎體徵等。在膽道造影中可見到結石透亮影和杯口狀影,且膽管壁光滑,但與息肉型膽管癌的鑑別較難。膽道鏡檢查有助於診斷。
(3)Mirrizzi綜合徵:膽道造影術可見肝總管右側受壓影,其邊緣光滑。B超可見膽囊管內嵌頓的結石。術中不能肯定者可行膽管組織學檢查。
(4)良性膽道狹窄:多在腹部手術後發生,少數發生在腹部創傷後。在膽道造影中也可顯示膽道狹窄,但其邊緣光滑、兩邊對稱,必要時可行膽道鏡取組織標本進行鑑定。
(5)原發性硬化性膽管炎:多見於中年人,男性多於女性。腹痛多為陣發性,很少有膽絞痛。黃疸多為間歇性進行性加重,實驗室檢查為阻塞性黃疸。膽道造影多見膽管廣泛性慢性狹窄和僵硬,但也有病變僅局限於部分膽管者,此型不易與膽管癌鑑別,只能依靠剖腹探查中的肉眼所見和組織學檢查確診。
(6)慢性胰腺炎:本病也可引起胰內膽管的狹窄或閉塞而發生黃疸,但病史較長,黃疸較輕。在膽道造影中可見病變膽管的狹窄是兩邊對稱的,且邊緣較光滑。需進一步行胰腺功能檢查、ERCP、CT和術中活檢確診。
(7)毛細膽管性肝炎:本病也可出現噁心、厭食、黃疸、皮膚瘙癢、陶土樣大便等表現,易與膽管癌混淆。但其不同之處是:膽囊不腫大、無膽絞痛、尿中尿膽原量增加、肝功能檢查多有異常,B超未見膽管擴張,確診須依賴肝穿刺活檢。
2、膽管惡性疾病
(1)胰頭癌:本病多伴有胰管的梗阻,在ERCP影像上可見胰管狹窄或閉塞。在B超和CT影像上可見胰頭部腫塊和胰體尾部胰管顯著擴張。十二指腸引流液中多有胰酶的顯著減少或缺乏。臨床上,黃疸較為顯著,多為無痛性進行性加重。出現疼痛時多已屬晚期。
(2)乳頭部癌:低張十二指腸造影多能顯示十二指腸降部左側緣的充盈缺損。內鏡多能直視腫瘤,並可行組織學檢查。
(3)膽囊癌:本病侵及肝門部膽管或上段膽管時很難與膽管癌鑑別。但B超和CT可見膽囊實變或占位,選擇性動脈造影可見膽囊區的缺血性腫瘤影。
(4)肝癌:肝內膽管細胞癌與肝癌在膽道造影中有時很難加以鑑別,但原發性肝癌多有肝硬化病史,AFP檢測陽性,故需結合病史、AFP、B超、CT、選擇性動脈造影等進行綜合判斷和分析,有時需對切除的標本行組織學檢查後才能確診。
(5)十二指腸癌或肉瘤:有時也可在膽道造影中出現膽總管走行異常、狹窄甚至閉塞的影像。但上消化道鋇餐多能見到十二指腸內的占位影像,內鏡檢查更能明確診斷。
(6)胃癌晚期:胃癌淋巴結轉移時,也可引起膽道閉塞,但上消化道鋇餐和內鏡檢查足以確診。
治療方式
1、手術治療
膽管癌切除的手術方式一般根據腫瘤所在的部位及分型不同而採取相應術式。根據Bismuth-Corlette臨床分型,對Ⅰ型腫瘤可採取腫瘤及肝外膽管切除(包括低位切斷膽總管、切除膽囊、清除肝門部淋巴結);Ⅱ型行腫瘤切除加尾葉切除,為了便於顯露可切除肝方葉,其餘範圍同Ⅰ型;Ⅲa型應在上述基礎上同時切除右半肝,Ⅲb型同時切除左半肝;Ⅳ型腫瘤侵犯範圍廣,切除難度大,可考慮全肝切除及肝移植術。尾狀葉位於第一肝門後,其肝管短、距肝門膽管匯合部近,左右2支尾狀葉肝管分別匯入左右肝管或左肝管和左後肝管。肝門部膽管癌的遠處轉移發生較晚,但沿膽管及膽管周圍組織浸潤擴散十分常見。
侵犯匯合部肝管以上的膽管癌均有可能侵犯尾葉肝管和肝組織,有一組報導占97%。因而,尾狀葉切除應當是肝門區膽管癌根治性切除的主要內容。膽管癌細胞既可直接浸潤,也可通過血管、淋巴管,或通過神經周圍間隙,轉移至肝內外膽管及肝十二指腸韌帶結締組織內,因此,手術切除膽管癌時仔細解剖、切除肝門區神經纖維、神經叢,有時甚至包括右側腹腔神經節,應當是膽管癌根治性切除的基本要求之一。同時,儘可能徹底地將肝十二指腸韌帶內結締組織連同脂肪淋巴組織一併清除,實現肝門區血管的“骨骼化”。近年肝門部膽管癌的手術切除率有明顯提高,切除率已由過去的10%提高到50%左右。
①切口:多採用右肋緣下斜切口或上腹部屋頂樣切口,可獲得較好的暴露。
②探查:切斷肝圓韌帶,系統探查腹腔,確定病變範圍。如有腹膜種植轉移或廣泛轉移,根治性手術已不可能,不應勉強。必要時對可疑病變取活檢行組織冰凍切片病理檢查。肝門部腫瘤的探查可向上拉開肝方葉,分開肝門板,進入肝門橫溝並向兩側分離,一般可以發現在橫溝深部的硬結,較固定,常向肝內方向延伸,此時應注意檢查左右肝管的受累情況。繼而,術者用左手食指或中指伸入小網膜孔,拇指在肝十二指腸韌帶前,觸摸肝外膽管的全程、肝動脈、門靜脈主幹,了解腫瘤侵犯血管的情況。可結合術中超聲、術中造影等,並與術前影像學檢查資料進行對比,進一步掌握腫瘤分瘤分型和分期。根據探查結果,調整或改變術前擬定的手術方式。
膽管細胞癌③Ⅰ型膽管癌的切除:決定行腫瘤切除後,首先解剖肝十二指腸韌帶內組織。貼十二指腸上部剪開肝十二指腸韌帶前面的腹膜,分離出位於右前方的肝外膽管,繼而解剖分離肝固有動脈及其分支,再解剖分離位於後方的門靜脈乾。3種管道分離後均用細矽膠管牽開。然後解剖Calot三角,切斷、結紮膽囊動脈,將膽囊從膽囊床上分離下來,膽囊管暫時可不予切斷。
在十二指腸上緣或更低部位切斷膽總管,遠端結紮;以近端膽總管作為牽引,向上將膽總管及肝十二指腸韌帶內的淋巴、脂肪、神經、纖維組織整塊從門靜脈和肝動脈上分離,直至肝門部腫瘤上方。此時肝十二指腸韌帶內已達到“骨骼化”。有時需將左、右肝管的匯合部顯露並與其後方的門靜脈分叉部分開。然後在距腫瘤上緣約1.0cm處切斷近端膽管。去除標本,送病理檢驗。如膽管上端切緣有癌殘留,應擴大切除範圍。切緣無癌殘留者,如果膽管吻合張力不大,可直接行膽管對端吻合;但是通常切斷的膽總管很靠下方,直接吻合往往困難,以高位膽管和空腸Roux-en-Y吻合術為宜。
④Ⅱ型膽管癌的切除:判斷腫瘤能夠切除後,按Ⅰ型肝門部膽管癌的有關步驟進行,然後解剖分離肝門板,將膽囊和膽總管向下牽引,用S形拉鉤拉開肝方葉下緣,切斷肝左內外葉間的肝組織橋,便可顯露肝門橫溝的上緣。如果膽管癌局限,不需行肝葉切除,則可在肝門的前緣切開肝包膜,沿包膜向下分離使肝實質與肝門板分開,使肝門板降低。此時左右肝管匯合部及左右肝管已經暴露。如匯合部膽管或左右肝管顯露不滿意,可在切除膽管腫瘤之前先切除部分肝方葉(圖3)。
尾狀葉切除量的多少和切除部位視腫瘤的浸潤範圍而定,多數強調完整切除。常規於第一肝門和下腔靜脈的肝上下段預置阻斷帶,以防門靜脈和腔靜脈兇猛出血。尾葉切除有左、中、右3種途徑,左側(小網膜)徑路是充分離斷肝胃韌帶,把肝臟向右翻轉,顯露下腔靜脈左緣;右側徑路是充分游離右半肝,向左翻轉,全程顯露肝後下腔靜脈;中央徑路是經肝正中裂切開肝實質,直達肝門,然後結合左右徑路完整切除肝尾葉。應充分游離肝臟,把右半肝及尾葉向左翻起,在尾葉和下腔靜脈之間分離疏鬆結締組織,可見數目不定的肝短靜脈,靠近下腔靜脈端先予以鉗夾或帶線結紮,隨後斷離。少數病人的肝短靜脈結紮也可從左側徑路施行。然後,在第一肝門橫溝下緣切開肝被膜,暴露和分離通向尾葉的Glisson結構,近端結紮,遠端燒灼。經中央徑路時,在肝短靜脈離斷之後即可開始將肝正中裂切開,從而下達第一肝門,清楚顯露左右肝蒂,此時即能逐一游離和結紮通向尾葉的Glisson系統結構。離斷尾狀葉與肝左右葉的連線處,切除尾葉。
左右肝管分離出後,距腫瘤1.0cm以上切斷。完成腫瘤切除後,左右肝管的斷端成形,可將左側和右側相鄰的肝膽管開口後壁分別縫合,使之成為較大的開口。左右肝管分別與空腸行Roux-en-Y吻合術,必要時放置內支撐管引流。
⑤Ⅲ型膽管癌的切除:Ⅲ型膽管癌如果侵犯左右肝管肝內部分的距離短,不需行半肝切除時,手術方式與Ⅱ型相似。但是大多數的Ⅲ型膽管癌侵犯左右肝管的二級分支,或侵犯肝實質,需要做右半肝(Ⅲa型)或左半肝(Ⅲb型)切除,以保證根治的徹底性。
Ⅲa型膽管癌的處理:A.同上述Ⅰ、Ⅱ型的方法游離膽總管及肝門部膽管;B.距腫瘤1.0cm以上處切斷左肝管;C.保留肝動脈左支,在肝右動脈起始部切斷、結紮;D.分離腫瘤與門靜脈前壁,在門靜脈右乾的起始處結紮、縫閉並切斷;保留門靜脈左支;E.離斷右側肝周圍韌帶,充分游離右肝,分離肝右靜脈,並在其根部結紮;F.向內側翻轉右肝顯露尾狀葉至腔靜脈間的肝短靜脈,並分別結紮、切斷;G.阻斷第一肝門,行規則的右三葉切除術。
Ⅲb型膽管癌的處理與Ⅲa型相對應,保留肝動脈和門靜脈的右支,在起始部結紮、切斷肝左動脈和門靜脈左乾,在靠近肝左靜脈和肝中靜脈共乾處結紮、切斷,游離左半肝,尾葉切除由左側徑路,將肝臟向右側翻轉,結紮、切斷肝短靜脈各支。然後阻斷第一肝門行左半肝切除術(圖4)。
半肝切除後餘下半肝可能尚存左或右肝管,可將其與空腸吻合。有時餘下半肝之一級肝管也已切除,肝斷面上可能有數個小膽管開口,可以成形後與空腸吻合。無法成形者,可在兩個小膽管之間將肝實質刮除一部分,使兩管口溝通成為一個凹槽,然後與空腸吻合;如果開口較多,難以溝通,而開口又較小,不能一一吻合時,則可在其四周颳去部分肝組織,成為一個含有多個肝管開口的凹陷區,周邊與空腸行肝腸吻合。
⑥Ⅳ型膽管癌的姑息性切除:根據腫瘤切除時切緣有無癌細胞殘留可將手術方式分為:R0切除——切緣無癌細胞,R1切除——切緣鏡下可見癌細胞,R2切除——切緣肉眼見有癌組織。對惡性腫瘤的手術切除應當追求R0,但是Ⅳ型肝門部膽管癌的廣泛浸潤使R0切除變得不現實,以往對此類病人常常只用引流手術。目前觀點認為,即使不能達到根治性切除,採用姑息性切除的生存率仍然顯著高於單純引流手術。因此,只要有切除的可能,就應該爭取姑息性切除腫瘤。如果連膽道引流都不能完成,則不應該再作切除手術。採取姑息性切除時,往往附加肝方葉切除或第Ⅳ肝段切除術,左右肝斷面上的膽管能與空腸吻合則行Roux-en-Y吻合。如不能吻合或僅為R2切除,應該在肝內膽管插管進行外引流,或將插管的另一端置入空腸而轉為膽管空腸間“搭橋”式內引流,但要特別注意膽道逆行感染的防治問題。
⑦相鄰血管受累的處理:肝門部膽管癌有時浸潤生長至膽管外,可侵犯其後方的肝動脈和門靜脈主幹。若腫瘤很大、轉移又廣,應放棄切除手術;若是病變不屬於特別晚期,僅是侵犯部分肝動脈和(或)門靜脈,血管暴露又比較容易,可以行包括血管部分切除在內的腫瘤切除。
如膽管癌侵犯肝固有動脈,可以切除一段動脈,將肝總動脈、肝固有動脈充分游離,常能行斷端吻合。如侵犯肝左動脈或肝右動脈,需行肝葉切除時自然要切除病變肝葉的供血動脈;不行肝葉切除時,一般說來,肝左動脈或肝右動脈切斷,只要能維持門靜脈通暢,不會引起肝的壞死,除非病人有重度黃疸、肝功能失代償。如膽管癌侵犯門靜脈主幹,範圍較小時,可先將其無癌侵犯處充分游離,用無損傷血管鉗控制與癌腫粘連處的門靜脈上下端,將癌腫連同小部分門靜脈壁切除,用5-0無損傷縫合線修補門靜脈。如果門靜脈受侵必須切除一段,應儘量採用對端吻合,成功率高;如切除門靜脈長度超過2cm,應使用去掉靜脈瓣的髂外靜脈或Gore Tex人造血管搭橋吻合。這種方法因為吻合兩側門靜脈的壓力差較小,閉塞發生率較高,應儘量避免。
⑧肝門部膽管癌的肝移植:肝門部膽管癌的肝移植必須嚴格選擇病例,因為肝移植後癌復發率相對較高,可達20%~80%。
影響肝移植後膽管癌復發的因素有:
A.周圍淋巴結轉移狀況:肝周圍淋巴結有癌浸潤的受體僅生存7.25個月,而無浸潤者為35個月;
B.腫瘤分期:UICC分期Ⅲ、Ⅳ期者移植後無1例生存達3年,而Ⅰ、Ⅱ期病人移植後約半數人生存5年以上;
C.血管侵犯情況:有血管侵犯組和無血管侵犯組肝移植平均生存時間分別為18個月和41個月。因此,只有在下列情況下膽管癌才考慮行肝移植治療:
a.剖腹探查肯定是UICCⅡ期;
b.術中由於腫瘤浸潤,不能完成R0切除只能做R1或R2切除者;
c.肝內局灶性復發者。肝移植術後,病人還必須採用放射治療才能取得一定的療效。
⑨肝門部膽管癌的內引流手術:對無法切除的膽管癌,內引流手術是首選的方案,可在一定時期內改善患者的全身情況,提高生活質量。適用於肝內膽管擴張明顯,無急性感染,而且欲引流的肝葉有功能。根據分型不同手術方式也不同。
A.左側肝內膽管空腸吻合術:適用於BismuthⅢ型和少數Ⅳ型病變。經典的手術是Longmire手術,但需要切除肝左外葉,手術創傷大而不適用於肝管分叉部的梗阻。目前常採用的方法是圓韌帶徑路第Ⅲ段肝管空腸吻合術。此段膽管位於圓韌帶和鐮狀韌帶左旁,在門靜脈左支的前上方,在肝前緣、髒面切開肝包膜後逐漸分開肝組織應先遇到該段肝管,操作容易。可沿膽管縱軸切開0.5~1.0cm,然後與空腸做Roux-en-Y吻合。此方法創傷小,簡便、安全,當肝左葉有一定的代償時引流效果較好,缺點是不能引流整個肝臟。為達到同時引流右肝葉的目的,可加U形管引流,用探子從第Ⅲ段肝管切開處置入,通過匯合部狹窄段進入右肝管梗阻近端,然後引入一根矽膠U管,右肝管的膽汁通過U管側孔進入左肝管再經吻合口進入腸道。
B.右側肝內膽管空腸吻合術:右側肝內膽管不像左側的走向部位那樣恆定,尋找相對困難。最常用的方法是經膽囊床的肝右前葉膽管下段支的切開,與膽囊-十二指腸吻合,或與空腸行Roux-en-Y吻合。根據肝門部的解剖,此段的膽管在膽囊床處只有1~2cm的深度,當肝內膽管擴張時,很容易在此處切開找到,並擴大切口以供吻合。手術時先游離膽囊,注意保存血供,隨後膽囊也可作為一間置物,將膽囊與右肝內膽管吻合後,再與十二指腸吻合或與空腸行Roux-en-Y吻合,這樣使操作變得更容易。
C.雙側膽管空腸吻合:對Ⅲa或Ⅲb型以及Ⅵ型膽管癌,半肝引流是不充分的。理論上引流半肝可維持必要的肝功能,但是實際上半肝引流從緩解黃疸、改善營養和提高生活質量都是不夠的。因此,除Ⅰ、Ⅱ型膽管癌外,其他類型的如果可能均應作雙側膽管空腸吻合術,暴露和吻合的方法同上述。
2、中下段膽管癌的外科治療 位於中段的膽管癌,如果腫瘤比較局限,可採取腫瘤所在的膽總管部分切除、肝十二指腸韌帶淋巴結清掃和肝總管空腸Roux-en-Y吻合術;下段膽管癌一般需行胰頭十二指腸切除術(Whipple手術)。影響手術效果的關鍵是能否使肝十二指腸韌帶內達到“骨骼化”清掃。然而,有些學者認為,中段和下段膽管癌的惡性程度較高,發展迅速,容易轉移至胰腺後和腹腔動脈周圍淋巴結,根治性切除應包括膽囊、膽總管、胰頭部和十二指腸的廣泛切除,加上肝十二指腸韌帶內的徹底清掃。對此問題應該根據“個體化”的原則,針對不同的病人而做出相應的處理,不能一概而論。手術前準備及切口、探查等與肝門部膽管癌相同。
(1)中段膽管癌的切除:對於早期、局限和高分化的腫瘤,特別是向管腔內生長的乳頭狀腺癌,可以行膽總管切除加肝十二指腸韌帶內淋巴、神經等軟組織清掃,可參見肝門部膽管癌的手術方法,但上端膽管切除範圍至肝總管即可,最好能距腫瘤上緣2.0cm切除。膽道重建以肝總管空腸Roux-en-Y吻合為好,也可採用肝總管-間置空腸-十二指腸吻合的方式,但後者較為繁瑣,療效也與前者類似,故一般不採用。
(2)下段膽管癌的切除:
①Whippie手術及其改良術式:1935年Whippie首先套用胰頭十二指腸切除術治療Vater壺腹周圍腫瘤,取得了良好效果。對膽管癌病人,此手術要求一般情況好,年齡<70歲,無腹腔內擴散轉移或遠處轉移。標準的Whippie手術切除範圍(圖5)對治療膽總管下段癌、壺腹周圍癌是合適及有效的。
胰頭十二指腸切除後消化道重建方法主要有(圖6):A.Whippie法:順序為膽腸、胰腸、胃腸吻合,胰腸吻合方法可採取端側方法,胰管與空腸黏膜吻合,但在胰管不擴張時,難度較大,並容易發生胰瘺。B.Child法:吻合排列順序是胰腸、膽腸和胃腸吻合。Child法胰瘺發生率明顯低於Whippie法,該法一旦發生胰瘺,則僅有胰液流出,只要引流通暢,尚有癒合的機會。Whippie與Child法均將胃腸吻合口放在胰腸、膽腸吻合口下方,膽汁與胰液經過胃腸吻合口酸鹼得以中和,有助於減少吻合口潰瘍的發生。C.Cattell法:以胃腸、胰腸和膽腸吻合順序。
②保留幽門的胰頭十二指腸切除術(PPPD):保留全胃、幽門及十二指腸球部,在幽門以遠2~4cm切斷十二指腸,斷端與空腸起始部吻合,其餘範圍同Whippie術。1978年Travetso和Longmire首先倡用,20世紀80年代以來由於對生存質量的重視,套用逐漸增多。該術式的優點在於:簡化了手術操作,縮短了手術時間,保留了胃的消化貯存功能,可促進消化、預防傾倒綜合徵以及有利於改善營養,避免了與胃大部分切除相關的併發症。施行此手術的前提是腫瘤的惡性程度不高,幽門上下組淋巴結無轉移。該手術方式治療膽管下段癌一般不存在是否影響根治性的爭論,但是要注意一些併發症的防治,主要是術後胃排空延緩。胃排空延遲是指術後10天仍不能經口進流質飲食者,發生率為27%~30%。其原因可能是切斷了胃右動脈影響幽門與十二指腸的血供,迷走神經鴉爪的完整性破壞,切除了十二指腸蠕動起搏點以及胃運動起搏點受到抑制。胃排空延遲大多可經胃腸減壓與營養代謝支持等非手術療法獲得治癒,但有時長期不愈需要做胃造口術。
③十二指腸乳頭局部切除:
A.適應證:遠端膽管癌局限於Vater壺腹部或十二指腸乳頭;病人年齡較大或合併全身性疾病,不宜施行胰十二指腸切除術。手術前必須經影像學檢查及十二指腸鏡檢查證明膽管腫瘤局限於末端。
B.手術方法:應進一步探查證明本術式的可行性,切開十二指腸外側腹膜,充分游離十二指腸,用左手拇指和食指在腸壁外可觸及乳頭腫大。在乳頭對側(十二指腸前外側壁)縱行切開十二指腸壁,可見突入腸腔、腫大的十二指腸乳頭。縱行切開膽總管,並通過膽管切口插入膽道探子,儘量將膽道探子從乳頭開口處引出,上下結合探查,明確腫瘤的大小和活動度。確定行本手術後,在乳頭上方膽管兩側縫2針牽引線,沿牽引線上方0.5cm用高頻電刀橫行切開十二指腸後壁,直至切開擴張的膽管,可見有膽汁流出。輕輕向下牽引乳頭,用可吸收線縫合擬留下的十二指腸後壁和遠端膽總管;繼續繞十二指腸乳頭向左側環行擴大切口,邊切邊縫合十二指腸與膽管,直至胰管開口處。看清胰管開口後,將其上壁與膽總管縫合成共同開口,前壁與十二指腸壁縫合。相同方法切開乳頭下方和右側的十二指腸後壁,邊切邊縫合,待腫瘤完整切除,整個十二指腸後內壁與遠端膽總管和胰管的吻合也同時完成。用一直徑與胰管相適應的矽膠管,插入胰管並縫合固定,矽膠管另一端置於腸腔內,長約15cm。膽總管內常規置T管引流。
④中下段膽管癌膽汁內引流術:相對於肝門部膽管癌較為容易,一般選擇梗阻部位以上的膽管與空腸做Roux-en-Y吻合。下段膽管梗阻時,行膽囊空腸吻合術更加簡單,然而膽囊與肝管匯合部容易受膽管癌侵犯而堵塞,即使不堵塞,臨床發現其引流效果也較差,故儘量避免使用。吻合的部位要儘可能選擇肝總管高位,並切斷膽管,遠端結紮,近端與空腸吻合。不宜選擇膽管十二指腸吻合,因十二指腸上翻太多可增加吻合口的張力,加上膽管腫瘤的存在,可很快侵及吻合口。中下段膽管癌隨著腫瘤的生長,可能造成十二指腸梗阻,根據情況可做胃空腸吻合以曠置有可能被腫瘤梗阻的十二指腸。
⑤應慎行PTCD:關於膽管癌患者術前是否施行PTCD,一直持有兩種不同的觀點。日本學者認為,術前先行膽道引流減壓使總膽紅素值下降,可延長術後生存期。但英、美、南非的前瞻性臨床研究結果並不支持術前膽道減壓能改善肝外膽管癌病人預後的觀點。國內黃志強亦主張肝外膽管癌術前不行PTCD,其理由是:
A.PTCD後易導致膽道感染,並發嚴重的化膿性膽管炎以致喪失徹底手術機會。
B.肝內膽管呈分隔性阻塞,單側引流不能起到引流全部肝內膽管的預期效果。
C.引流後血清膽紅素值雖有下降,但未能恢復肝細胞功能。
D.PTCD本身可並發膽汁大量喪失、膽漏、腹膜炎、腹腔內出血、插管疼痛和不便。
為此,認為對肝外膽管癌患者應慎行PTCD。
2、放療治療
(1)膽管癌的放射治療:過去認為膽管癌對放射治療不敏感,甚至一度臨床上放棄了放射治療。近20年來,對膽管癌的放射治療進行了廣泛的研究,有些文獻報告放療能夠緩解膽管癌患者的症狀且可能延長生存期,取得了一定效果。放射治療可作為膽管癌的主要治療手段,也可作為手術的輔助治療。其主要方法有傳統的外照射療法、術中照射療法、內照射療法和放射免疫療法4種。放射治療的目的在於:①使腫瘤縮小,有助於膽道的再通而緩解黃疸;②減輕腫瘤壓迫,緩解患者的疼痛程度;③減慢腫瘤生長速度,或使腫瘤縮小,維持膽道內支撐導管的通暢。通過以上效應,延長病人的生存期。
①膽管癌的外照射治療:外放射治療有多種形式,通常用60鈷或直線加速器,根據CT檢查定位,用3~4個照射野在體外以每天2.0 Gy進行照射,總量達45~60Gy。由於肝、右腎、脊髓、十二指腸、胃等重要器官在放療區域內,因而照射中要用custom板保護,儘量減少對上述器官的放射損傷。如果手術後放療,應在手術時放置金屬標誌物指示照射野,使定位更準確,可以縮小放療區域,減少副損傷。對於膽道已經放置金屬內支撐導管的患者,前後對穿照射效果較好,但由於支架兩端常被生長的腫瘤堵塞,因此照射範圍應超過支架。有報告用60鈷外照射可在50%病人中獲得明顯效果,包括疼痛緩解、黃疸減退或腫瘤縮小等,尤其對腫瘤切除後膽管殘端有癌細胞殘留者更為有效,可以明顯延長生存期。
還有用立體定向技術X線照射治療膽管癌的報告,CT掃描定位並製作三維計畫,標示CTV(臨床腫瘤體積)及PTV(計畫腫瘤體積),根據等劑量曲線及劑量-體積直方圖來調整每照射野的入射方向及權重。一般布5~6個照射野,80%~90%等劑量線包繞PTV並歸一,照射腫瘤量35Gy,14天共照射7次,或腫瘤量36Gy,12天共照射6次。觀察表明腫瘤縮小,對減輕黃疸等症狀有良好效果。1997年,Pederson等報告了分子化療+放療增敏對膽管癌細胞殺傷作用的體外及動物實驗。該方法是利用分子生物學的方法構建一種毒素基因/前體複合物,使5-FU的前體5-氟胞嘧啶在細胞內轉化為5-FU,以增強5-FU的細胞內毒性作用,達到大量殺傷膽管癌細胞的作用。同時利用5-FU的放射增敏作用,繼以60鈷放療。據報導效果顯著,這種以毒素基因/前體藥物分子化療+放療方法可能會成為膽管癌綜合治療新的策略。
急性副作用通常不很嚴重,如噁心、十二指腸炎等,但有時可發生膽管炎和膽道出血,需及時治療。後期主要有十二指腸損傷和膽道狹窄。
②膽管癌的腔內放射治療:優點是能在局部對病灶高劑量照射,而幾乎不損害周圍正常組織。
內照射療法通常是經PTCD或ERCP,或經手術放置的T管、U管將放射源192Ir置入膽管腫瘤附近照射,一般7~8Gy/次,間隔5~7天1次,共4次,總量28~36Gy。如利用術後的管道通路放療,可在手術時預留通道,經膽總管逐步向膽管狹窄處進行擴張,至內徑達6~9mm,置入矽膠單管作支撐並引流,引流管直接由膽總管探查切口處引出,使膽總管與支撐引流管之間夾角>120°,便於放射源進入膽管內至癌腫處,術後2周病情穩定後即可進行。據報告效果良好,甚至部分病例術後經2~3次的照射後行纖維膽道鏡檢查腫瘤消失。
缺點:A.大部分患者單純內放射並不能提供足夠的殺滅腫瘤細胞的劑量。B.如使用大劑量,如2天內20Gy可能導致膽管上皮細胞的壞死而引起膽管狹窄與硬化。C.對於離開管腔一定距離的腫瘤組織將無效。
③膽管癌的聯合放射治療:外照射與腔內放射治療聯合套用是利用二者的優勢互補,提高療效,減少不良反應。未行手術者內照射可經PTC或ERCP管道進行;對於手術後預留放療通道的病人採取聯合放療尤其合適,應該較單獨套用一種療法取得更好的療效。
④膽管癌的手術中放射治療:
優點:A.能做到對腫瘤直接、有效放療,一次照射劑量大。B.可將非照射部位遮蓋,能使周圍重要的器官得到保護。C.使用電子束,表淺部位的照射劑量較大,放射性消失較快。D.放射的深度可以任意調配。6~22MeV的能量通常可以治療6cm厚度的腫瘤。
局限性:A.設備條件要求比較高,在手術室進行開腹後到放療科進行放射治療,然後病人回手術室繼續手術,非常繁瑣且病人有一定的危險。B.一些組織不能耐受單次大劑量的放射。肝動脈和門靜脈能耐受單次45Gy的放射治療,而膽管在單次15Gy的放療後就可以出現纖維化,大於30~40Gy的放射治療可以導致膽管繼發性硬化。C.儘管採用單次高劑量照射,但仍然可能不足以控制腫瘤。
改進:A.將相對低劑量的術中放療和外放射治療結合進行。B.術中放療結合放射增效劑的使用,可使缺氧細胞對放療更敏感。
3、質子治療
質子放療廣泛套用在膽管細胞癌的臨床治療。質子放療與普通的X光的光子放療不同,質子放療主要有二大特點:一是可以有效的避免X光射線對癌部主要功能區的照射,並且在入射皮膚時幾乎沒有劑量的損失。二是質子射線具有布拉格峰,它可以精準的到達體內特定位置的腫瘤,在腫瘤部位實行大劑量爆破,能夠有效的殺死癌細胞,腫瘤後方沒有劑量,對後方的組織沒有傷害。這種新技術在國外已經好多年,成功治療患者眾多,國內很多患者會選擇出國就診,攜康長榮協調腫瘤患者國際就醫,選擇質子治療膽管細胞癌,是首選!
4、其他特殊療法
膽管癌的化學治療:膽管癌較其他胃腸道腫瘤例如結腸癌化療敏感性差,原因尚不清楚,可能是由於膽管癌的耐藥性、腫瘤內藥物濃度低等因素有關。因而目前對膽管癌的化療仍無確實有效的方案。有報告用MTT法檢測10例肝門部膽管癌細胞對化療藥物的敏感性,結果8種藥物的敏感率分別為:表柔比星(表阿黴素)60%、多柔比星(阿黴素)40%,順鉑30%、卡鉑30%、絲裂黴素20%、甲氨蝶呤10%、氟尿嘧啶(5-Fu)0%、環磷醯胺0%。但實際上大多病例臨床套用效果並未達到以上有效率。1997年Lersch報告,單劑化療的緩解率只有12%,而聯合化療緩解率達23%。
①晚期膽管癌的治療性化療:常用的化療藥物與其他消化道癌相似,主要有氟尿嘧啶(5-FU)、多柔比星(阿黴素)、絲裂黴素(MMC)及亞硝基尿素等。可全身套用,也可經動脈插管套用,由於膽管的血液供應來自於肝動脈,故動脈化療可能較前者有更好的療效。有一些研究的確表明化療可能緩解膽管癌所引起的症狀、提高患者生活質量,還可能延長存活期。一組報告49例患者,以氟尿嘧啶(5-FU)為主要藥物化療,另一組41例只作一般護理,治療組有36%,而未治療組只有10%患者延長高質量的生活4個月,前者中位生存期為6個月,而後者只有2.5個月。
②輔助手術治療:新輔助放化療法即對實體瘤首先套用化療和放療,隨後再予以手術,術後輔助以化療及放療。理論基礎為術前或放療之前行有效的聯合化療,殺死大量敏感腫瘤細胞,降低腫瘤細胞的活力,然後再用手術切除或放療破壞殘存的包括對化療不敏感的癌細胞,達到治癒腫瘤的目的。有學者將此方案用於治療肝門部膽管癌,通常於術前靜脈滴注氟尿嘧啶(5-FU)[300mg/(m2·d)],共5天,然後再行腫瘤部位外放射治療(1.8Gy/d,總劑量不超過50Gy),結果增加了手術切除率,降低了膽管切緣鏡下癌細胞殘留率,從而減少局部復發,但能否提高生存率尚無結論。
③同放療聯合套用:一些公認的放射增敏劑如氟尿嘧啶(5-FU)的套用可提高放射治療的療效。分子化療與放射增敏對膽管癌細胞殺傷作用的體外及動物實驗研究,取得滿意的實驗結果,為膽管癌綜合治療提供了新的途徑。Minsky使用氟尿嘧啶(5-FU)和絲裂黴素協同放射治療:腫瘤床和淋巴結的照射量為50Gy,有大部分病人還接受了15Gy的腔內放療。患者均能耐受,3年的生存率達到了50%。還有術後使用外放射治療以及氟尿嘧啶(5-FU)化療,可減少放療劑量。
預防護理
一、預防
預防:1.保持愉快的心理狀態,養成良好的飲食習慣,禁食辛辣,少食厚膩食品,不要飲烈性酒。
2、對於40歲以上的人,特別是婦女,要定期進行B超檢查,發現有膽囊炎、膽結石或息肉等,更應追蹤檢查,發現病情有變化應及早進行治療。
3、積極治療癌病變前,遲早社除可能引起癌變的誘因。
膽管癌預後膽癌預後不太理想,其中膽管癌預後是極差的.膽管癌手術切除組一般平均生存期為13個月,很少存活5年.如單作膽管內或外引流,其平均生存僅6~7個月,很少超過1年。
術前的準備:由於肝門部膽管癌切除手術範圍廣,很多情況下需同時施行肝葉切除術,且病人往往有重度黃疸、營養不良、免疫功能低下,加上膽管癌患者一般年齡偏大,所以良好的術前準備是十分重要的。
一般準備:系統的實驗室和影像學檢查,了解全身情況,補充生理需要的水分、電解質等,並在術前和術中使用抗菌藥物。術前必須確認心肺功能是否能夠耐受手術,輕度心肺功能不良術前應糾正。凝血功能障礙也應在術前儘量予以糾正。
二、護理
一般來說,40歲以上中老年人,特別是肥胖女性是膽結石的高發人群。這是因為生育可改變女性激素的分泌,女性在40歲後雌激素的分泌較以前會有所改變,並會影響膽囊的正常活動,使女性膽囊的排空收縮能力比男性差。雌激素分泌的多少影響膽汁的成分,有輕度的淤膽作用,一旦肝臟分泌膽汁酸減少,就會增加結石形成的可能。如果女性本身肥胖則會加劇結石的形成,因為肥胖的人多數都有高血脂,而血脂中主要為膽固醇和甘油三酯。在正常人膽汁中膽固醇保持溶解狀態,這種狀態是因為膽汁中有足夠量的膽酸鹽和卵磷脂存在的緣故。它們以一定的比例關係存在著,使之保持平衡膽固醇不沉積,也就不容易形成結石。如果由於某種原因使這種平衡遭到破壞,膽固醇增多或膽鹽、卵磷脂減少,膽固醇就會在膽汁中漸漸結成團塊,形成膽固醇結石。

