概述
原發性局灶性腎小球硬化幾乎各種間質性腎炎都有淋巴細胞浸潤但除了移植排斥反應外其他疾病一般都未被證實是由這些淋巴細胞介導。然而有力的形態學和免疫學證據支持T細胞在藥物過敏類肉瘤病和特發性急性小管間質性腎炎葡萄膜炎綜合徵這三種間質性腎炎發病機制中的介導作用。這些疾病被稱為特發性T細胞介
特發性急性小管間質性腎炎導的小管間質性腎炎。這些病例中的少數伴有葡萄膜炎被稱為“腎-眼綜合徵”(renal-ocularsyndrome)或“小管間質腎病-葡萄膜炎綜合徵”(tubulointerstitialnephropathyanduveitissyndromeTINU綜合徵)。自1975年Dobrin等報導第1例TINU綜合徵以來至今已發現40餘例特發性ATIN的另一特點是可發生骨髓肉芽腫。
已認識到有兩類由抗體介導的小管間質性腎炎:一類由針對小管基底膜的抗體介導稱為抗小管基底膜病(anti-tubularbasementmembranedisease);一類由針對其他未知抗原的抗體介導有循環或原位形成的免疫複合物沉積這兩種類型的小管間質性腎炎可作為原發病變出現或作為其他腎疾病時的繼發表現。
發病機制
小管間質腎病書籍特發性ATIN發病機制尚不清楚,可能與抗小管基底膜抗體血嗜酸性粒細胞增多和血清IgE水平增高甚或包括膜病變的腎小球損傷有關部分病例伴有腎臟、骨髓和葡萄膜肉芽腫浸潤,提示本此病可能是一種系統性疾病以單個核細胞為主的間質浸潤症狀的持續性以及自發起病的特點,提示此病發病機制可能有免疫學基礎。
最近在一例5歲女性和一例37歲男性小管間質腎病-葡萄膜炎綜合徵患者檢測到抗中性粒細胞胞質抗體(ANCA)為核周型提示在部分病例自身免疫可能參與此病發病機制。幾乎各種間質性腎炎都有淋巴細胞浸潤,但除了移植排斥反應外其他疾病一般都未被證實是由這些淋巴細胞介導。然而有力的形態學和免疫學證據支持T細胞在藥物過敏、類肉瘤病和特發性急性小管間質性腎炎、葡萄膜炎綜合徵這三種間質性腎炎發病機制中的介導作用這些疾病被稱為特發性T細胞介導的小管間質性腎炎。
已認識到有兩類由抗體介導的小管間質性腎炎:一類由針對小管基底膜的抗體介導稱為抗小管基底膜病;一類由針對其他未知抗原的抗體介導有循環或原位形成的免疫複合物沉積。這兩種類型的小管間質性腎炎可作為原發病變出現或作為其他腎疾病時的繼發表現。
臨床表現
此病臨床表現為急性小管間質性腎炎與藥物引起的ATIN不同的是特發性ATIN不常伴有皮疹血嗜酸性粒細胞增多。此病伴有乏力、厭食、噁心肌痛、體重減輕,輕到中度貧血,血沉增快,尿檢查可發現有血尿、白細胞尿,24h尿蛋白在1.5g以下,血肌酐和尿素氮水平增高有抗TBM抗體的特發ATIN偶可發生特別嚴重的腎損害。
在小管間質腎病-葡萄膜炎綜合徵患者,發熱亦常見。臨床表現除持續性腎功能和小管功能損害、骨髓和淋巴肉芽腫外,還在病程某一時刻出現葡萄膜炎。部分病例可發生骨髓肉芽腫。
併發症:1.眼色素膜炎;2.貧血和發生骨髓肉芽腫、慢性腎功能不全。
病情診斷
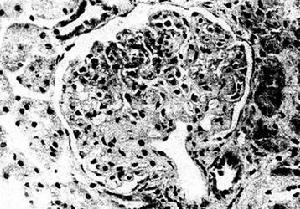
成人膜性腎炎蛋白尿在小管間質腎病-葡萄膜炎綜合徵患者,發熱亦常見。臨床表現除持續性腎功能和小管功能損害骨髓和淋巴肉芽腫外,還在病程某一時刻出現葡萄膜炎部分病例可發生骨髓肉芽腫。腎活檢病理檢查可見間質浸潤淋巴細胞、漿細胞嗜酸粒細胞,系膜免疫球蛋白沉澱小管顆粒狀IgE和C3沉澱。根據以上特點可作出診斷。
鑑別診斷:1.與藥物引起的ATIN鑑別不同的是不常伴有皮疹、血嗜酸性粒細胞增多。常有乏力、厭食噁心、肌痛體重減輕,輕到中度貧血血沉增快尿檢查可發現有血尿白細胞尿,24h尿蛋白在1.5g以下,血肌酐和尿素氮水平增高。有抗TBM抗體的特發ATIN偶可發生特別嚴重的損害;2.與其他原因引起的ATIN鑑別的特點是在小管間質腎病-葡萄膜炎綜合徵患者在病程某一時刻出現葡萄膜炎及發熱;臨床表現除持續性腎功能和小管功能損害、淋巴肉芽腫外,部分病例可發生骨髓肉芽腫。
檢查途徑
實驗室檢查:1.特發性急性間質性腎炎血中IgG、IgE、IgM水平升高,嗜酸粒細胞升高血肌酐和尿素氮水平增高。有抗TBM抗體(有抗TBM抗體的特發ATIN偶可發生特別嚴重的損害)。患者常有輕度貧血C反應蛋白陽性、高丙種球蛋白血症和血沉增快;2.尿檢查可發現有血尿蛋白尿和白細胞尿24h尿蛋白在1.5g以下。
其它輔助檢查:腎活檢病理檢查可見間質浸潤淋巴細胞、漿細胞嗜酸粒細胞系膜免疫球蛋白沉澱,小管顆粒狀IgE和C3沉澱。
相關檢查:免疫球蛋白G;免疫球蛋白IgE;免疫球蛋白M;尿素;蘄蛇酶時間;血沉
治療方法
此病使用皮質類固醇治療對腎臟和眼部病變的好轉均有價值使用皮質類固醇治療方法和用量同常規激素治療。兒童特發性急性小管間質性腎炎不論是否接受激素治療,其預後均表現良好。對成人病例病程及預後的判斷則應慎重。成人病例一般在皮質類固醇治療數周后腎功能出現部分恢復特發性ATIN儘管可有自愈者但仍有50%的病例成為殘餘腎和慢性腎功能不全1例伴有中度腎功能損害的小管間質腎病-葡萄膜炎綜合徵患者兩年後腎功能無改善重複腎活檢顯示局灶性小管間質病變。
預防措施
預後:多數病人經激素治療後,腎功能可很快恢復。兒童特發性急性小管間質性腎炎不論是否接受激素治療其預後均表現良好成人病例病程及預後較兒童差,一般在皮質類固醇治療數周后腎功能出現部分恢復特發性ATIN儘管有自愈傾向,但仍有50%的病例成為殘餘腎和慢性腎功能不全。
預防:病因不明,尚無有效預防措施但如平時注意合理飲食積極加強體育活動不斷提高機體抗病能力可有效預防疾病的發生。
