概述
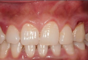
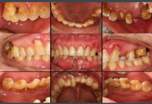
牙菌斑是口腔內鏈球菌屬、乳桿菌屬、放線菌屬等多種菌屬微生物細胞與胞外多聚物基質組成的複雜的三維結構,粘附、定植於牙齒表面,是一種典型的細菌性生物膜。已有研究表明,存在於牙菌斑生物膜中的細菌,利用一套完全不同的基因系統發揮其致病性,與浮游狀態的細菌明顯不同。與浮游狀態的同種細菌相比,其具有更強的耐藥性、毒力及對抗宿主免疫防禦的能力。由此可見,牙菌斑生物膜對口腔菌群的生存乃至發揮其致病性方面都有至關重要的意義。
形成
牙菌斑生物膜 1.獲得性薄膜(acquiredpellicle)形成,最初有唾液蛋白或糖蛋白吸附至牙面,形成一層無結構、無細胞的薄膜。它形成的速度很快,在剛清潔過的牙面上。數分鐘內便可形成,1-2小時迅速成層增厚,厚度為1-20 um,在跟緣區較厚,牙尖區較薄,由蛋白質、碳水化合物和脂肪組成,能為細菌勃附提供特殊受體,具選擇性吸附細菌至牙面的作用,可促進早期細菌的勃附定植及細菌共聚,能決定細菌附著的順序,又可作為細菌的營養。
2.細菌粘附(adhesion)和共聚(coaggregation),獲得性薄膜一旦形成,口腔內的細菌便陸續地定殖(colonization)於薄膜,細菌表面與宿主組織表面間存在著高度選擇性,僅少數細菌具有直接X附於薄膜的能力。最初附著的主要是一些革蘭陽性球菌,附著機制十分複雜,這些早期菌的定植又為後期菌的附著提供表面。不同類型細菌表面的相應分子間的互相特異性識別並粘附稱為共聚。
3.菌斑成熟,細菌通過粘附共聚相互連線。定植菌迅速分裂、繁殖和生長,導致菌斑細菌數量和種類增多,形成複雜菌群。在菌斑成熟過程中,細菌定植有一定的順序,首先吸附到牙面的是革蘭陽性球菌,鏈球菌占優勢,然後是絲狀菌、放線菌,以後隨著菌斑的成熟,細菌種類逐漸增多,菌斑大小和厚度增加,厭氧菌、能動菌和螺鏇體(如彎曲菌、密螺鏇體)等比例上升。早期定植菌間可相互共聚,後期定植菌間也可互相共聚,早期定植菌一般不識別後期定植菌,僅少數細菌例外,如梭桿菌既可識別早期定植菌,又可識別後期定植菌,使早、後期定植菌的豁結橋在菌斑生物膜形成中起重要作用。一般12小時的菌斑便可被菌斑顯示劑著色。早期菌斑增長較快,成熟時則較慢,9天后便形成各種細菌的複雜生態群體,10-30天的菌斑發展成熟達高峰。
結構
在雷射共聚焦顯微鏡下觀察牙菌斑生物膜,可見不同生物量的細菌群體被獲得性薄膜和胞外基質包裹著,內部為大小不等的水性通道所間隔,通道內有液體流動。測定活菌斑內的氧溶解量,顯示細菌群體內部幾乎無氧,為厭氧生存,而各層水性通道內則發現有效濃度的溶解氧,鄰近水性通道的細菌為需氧生存,這種差異使同一生物膜內的不同細菌能和諧地一起生活。這種生物間的生理協作和獨特結構,可能與菌斑內細菌快速增殖及其在宿主體內具高度抵抗力密切有關。菌斑生物膜具較強的抵抗力,耐受乾燥、高R度的基質的屏障作用,影響宿主防禦成分或藥物滲入,使菌斑對杭藥物的敏感性降低。
作用
牙菌斑生物膜 1、抑制細菌代謝活性,保護菌斑菌叢抵抗口腔的苛刻環境,使細菌在某些不很適合的生存條件下仍能存留。
2、生物膜內所含的多聚體基質起約束性網路的作用,可維持菌斑結構的完整和保持膜內的通道,以攝取和貯藏食物,控制基質成分的移動速度。
3、菌斑生物膜中高水平的巰基能中和氧基,抵抗氧化損傷,使自菌斑表層擴散穿透的氧氣流不致使多數菌細胞被氧化。
4、濃縮從環境來的營養物質和其他元素,保留一些從菌體細胞遺漏出來的溶解物質。
5、表達新基因,使某些基因脫遏制而賦予細菌新的表型。
6、保護微生物抵禦抗菌藥物。生物膜中細菌對抗生素的抵抗力約為同種浮游細菌的1000倍。

