熱帶性嗜酸性粒細胞增多症病徵
一般認為是寄生於其他動物的絲蟲偶而感染人體時產生的過敏反應,因人體的免疫機制消滅微絲蚴釋放出致敏物質所致,此過程主要發生於肺部,故本病實為潛隱性絲蟲病。主要表現長期陣發性咳嗽、哮喘、末梢血液嗜酸性粒細胞明顯增多。曾有人以猴絲蟲及貓絲蟲的感染期幼蟲注射於志願者皮下,志願者於第10周及第14周后分別出現與上述相似的臨床徵象,但從未發現微絲蚴血症。
此外,其他蠕蟲如蛔蟲、鉤蟲、糞類圓線蟲、旋毛蟲、血吸蟲、肺吸蟲及犬弓首線蟲等有時也可引起類似本病的現象。本病多見於熱帶及亞熱帶,溫帶地區亦可見到;中國曾報導過少數病例。患者多為20~30歲的青壯年,男多於女,約90%的病例為印度族。基本病理變化為嗜酸性粒細胞性支氣管炎、細支氣管炎及支氣管肺炎,肺組織內可見直徑3~5mm的白色結節,其中心為嗜酸性粒細胞性膿腫,有時在結節中可見到微絲蚴。
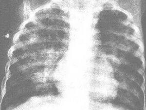
發病緩慢,病程較長,常遷延數月或數年不愈。臨床症狀主要為疲乏、食慾減退、體重減輕及低熱、咳嗽等。初為乾咳,以後有少量白色粘痰,偶帶血絲,咳嗽多於晚間加重,常伴有哮喘發作。肺部可聞乾性囉音,偶有濕性囉音。部分病例出現全身淺表淋巴結輕度腫大及肝臟腫大,在兒童中尤為明顯。偶有脾臟腫大。末梢血液嗜酸性粒細胞明顯增多,血沉增快。約半數病例的血清瓦瑟曼氏反應出現暫時性陽性,血清絲蟲補體結合試驗常呈陽性。肺部 X射線檢查顯示肺紋理增強,有時可見粟粒狀陰影及肺門陰影增寬。診斷時需與過敏性肺炎或勒夫勒氏綜合徵鑑別。砷劑或海群生治療有特效,大劑量左旋咪唑也有效。
