概述
有絲分裂 真核生物是細胞分裂的基本形式。又稱間接分裂、核分裂。在這種分裂過程中出現由許多紡錘絲構成的紡錘體,染色質集縮成棒狀的染色體。1882年W.弗勒明最先將此種分裂方式命名為有絲分裂。通過有絲分裂,作為遺傳物質的(DNA)得以準確地在細胞世代間相傳。通過有絲分裂和才能實現組織發生和個體發育。致癌因子通過使有絲分裂的調控失常而導致腫瘤發生。細胞在進行有絲分裂時,核和胞質都發生形態上的變化,稱有絲分裂期。兩次有絲分裂之間稱為分裂間期。有絲分裂期和間期合起來稱。有絲分裂的準備工作,例如DNA複製、組蛋白合成、微管蛋白合成、能量準備等都是在間期進行的。動植物的許多組織細胞都進行有絲分裂。特別是胚胎髮育時期細胞的有絲分裂旺盛。高等植物的根尖和莖端分生組織,高等動物的骨髓和一些上皮組織,都是觀察有絲分裂現象的適宜部位。
過程
前期 細胞進行有絲分裂具有周期性。即連續分裂的細胞,從一次分裂完成時開始,到下一次分裂完成時為止,為一個細胞周期。一個細胞周期包括兩個階段:分裂間期和分裂期。在整個細胞周期中分裂間期和分列期的時間比例是不均衡的,分裂間期占整個分裂期的90%左右,分裂期占5%—10%左右。細胞周期可以用一個圓表示,不同的細胞細胞周期是不一樣的,有的細胞周期長有的細胞周期短。細胞在進行有絲分裂時,核和胞質都發生形態上的變化,稱有絲分裂期。有絲分裂過程是一個連續的過程,為了便於描述人為的劃分為六個時期:間期(interphase)、前期(prophase)、前中期(premetaphase)、中期(metaphase)、後期(anaphase)和末期(telophase)。其中間期包括G1期、S期和G2期,主要進行DNA複製等準備工作。①前期。自分裂期開始到核膜解體為止的時期。間期細胞進入有絲分裂前期時,核的體積增大,由染色質構成的細染色線逐漸縮短變粗,形成染色體。因為染色體在間期中已經複製,所以每條染色體由兩條染色單體組成。核仁在前期的後半漸漸消失。在前期末核膜破裂,於是染色體散於細胞質中。動物細胞有絲分裂前期時靠近核膜有兩個中心體。中心體放射出星體絲,即放射狀微管。帶有星體絲的兩個中心體逐漸分開,移向相對的兩極。核膜破裂後形成兩極之間的紡錘體。
中期 ②前中期。自核膜破裂起到染色體排列在赤道面上為止。前中期的主要過程是紡錘體的最終形成和染色體向赤道面的運動。紡綞體有兩種類型:一為有星紡錘體,即兩極各有一個以一對中心粒為核心的星體,見於絕大多數動物細胞和某些低等植物細胞。一為無星紡錘體。兩極無星體,見於高等植物細胞。有星紡錘體含有3種紡錘絲,即三種微管。一種是星體微管,由星體散射出的微管;二是極微管,是由兩極分別向相對一極方向伸展的微管。三是動粒微管,與動粒聯結的微管,亦稱動粒絲或牽引絲。無星紡錘體只有極微管與著絲點微管。核膜破裂後染色體分散於細胞質中。每條染色體的兩條染色單體其動粒分別通過動粒與兩極相連。由於極微管和動粒微管之間的相互作用,染色體向赤道面運動。最後各種力達到平衡,染色體乃排列到赤道面上。③中期。從染色體排列到赤道面上,到它們的染色單體開始分向兩極之前,這段時間稱為中期。有時把前中期也包括在中期之內。中期染色體濃縮變粗,顯示出該物種所特有的數目和形態。
後期 ④後期。每條染色體的兩條姊妹染色單體分開並移向兩極的時期。分開的染色體稱為子染色體。子染色體到達兩極時後期結束。子染色體向兩極的移動是靠紡錘體的活動實現的。⑤末期。從子染色體到達兩極開始至形成兩個子細胞為止稱為末期。此期的主要過程是子核的形成和細胞體的分裂。子核的形成大體上是經歷一個與前期相反的過程。到達兩極的子染色體首先解螺鏇而輪廓消失,其周圍集合核膜成分,融合而形成子核的核膜,核內出現核仁。細胞體的分裂稱胞質分裂。動物和某些低等植物細胞的胞質分裂是以縊束或起溝的方式完成的。高等植物細胞的胞質分裂是靠細胞板的形成。細胞板逐漸擴展到原來的細胞壁乃把細胞質一分為二。有絲分裂期所用時間,因生物和細胞的種類不同而有很大差別。一般要1~3小時,但快者有10多分鐘就可完成,慢者需5~6個小時,甚至更長時間。通常,胚胎髮生早期細胞分裂快,而成體組織細胞分裂慢。在有絲分裂期中通常是前期和末期時間較長,而中期和後期時間較短。許多理化因素都影響有絲分裂過程。對於植物和低等動物的細胞,在一定範圍內(約8~25℃)溫度越低,細胞周期越長,有絲分裂過程也越慢。接近零度的低溫可抑制紡鍾體的形成,使細胞受阻在有絲分裂中期。電離輻射,如X射線和γ射線能抑制細胞進入有絲分裂。許多化學藥物都有抑制有絲分裂的作用,如秋水仙素、對二氯苯等。促進有絲分裂的化學物質有植物凝集素、赤黴素等。
不同動植物
動物細胞有絲分裂 動物細胞有絲分裂的過程,與植物細胞的基本相同,不同的特點是:1.動物細胞有中心體,在細胞分裂的間期,中心體的兩個中心粒各自產生了一個新的中心粒,因而細胞中有兩組中心粒。在細胞分裂的過程中,兩組中心粒分別移向細胞的兩極。在這兩組中心粒的周圍,發出無數條放射線,兩組中心粒之間的星射線形成了紡錘體。2.動物細胞分裂末期,細胞的中部並不形成細胞板,而是細胞膜從細胞的中部向內凹陷,最後把細胞縊裂成兩部分,每部分都含有一個細胞核。這樣,一個細胞就分裂成了兩個子細胞。
相同
動物細胞有絲分裂的過程與植物細胞的分裂過程存在一個十分重要的相同點:
無論是動物細胞分裂過程還是植物細胞分裂過程都會有染色體的出現和紡錘體的形成。(植物:無星射線紡錘體;動物:星射線紡錘體)。染色體複製後平均分配。
分裂機制
染色體的集縮 構成染色體的細線在分裂前期縮短變粗,染色體的這種集縮運動是通過染色線的螺鏇化實現的。染色質濃縮過程和細胞質中的某些因素有關。如果用實驗方法使分裂期細胞與間期細胞融合,可以觀察到間期細胞染色質會提前集縮成染色體。這說明分裂期細胞的細胞質中有某種物質能促使染色體集縮。
紡錘體的形成
由微管蛋白聚合成紡錘體微管的過程。微管蛋白的聚合有兩種基本形式:一種是自我裝配型,另一種是位點起始裝配型,後者有特殊位點做為聚合的起始部位,前者沒有這種特殊位點。形成紡錘體時的位點統稱為“微管組織中心”(MTOC)。中心體和著絲點都是MTOC,它們在離體情況下都能表現出使微管蛋白聚合成微管的能力。紡錘體的形成顯然和這些MTOC的活動是分不開的。
中期染色體運動
分裂後期 用藥物(秋水仙素、巰基乙醇等)破壞紡錘體,則染色體不能排列到赤道面,除去藥物後,紡錘體重新形成,則染色體又能排列到赤道面,由此可見,染色體向赤道面的排列和紡錘體的活動有關。由輻射損傷或其他原因造成的沒有著絲點的染色體斷片不能排列到赤道面上。因此說明,染色體向赤道面的排列和著絲點的活動有關。用微束紫外線照射時二價體的一側著絲點或著絲點絲,則染色體不能正好位於赤道面,而偏近於未受照射的著絲點所面向的一極。這說明染色體在赤道面的配位必須兩個著絲點及與兩極相連的兩側著絲點絲都正常地發揮作用。根據以上事實和其他觀察,推測在前中期時兩個著絲點分別以著絲點絲與兩極相連,靠兩極牽引力的平衡,使染色體位於赤道面上。除這種牽引平衡的力量外,還可能有其他一些因素起輔助作用。
後期染色體運動
後期時兩組子染色體向兩極移動,而在有些細胞兩極也被推開更遠。關於這種運動的機制尚無定論。後期時著絲點微管在向極的末端不斷解聚,因而逐漸變短。這可能是使染色體被拉向兩極的重要原因。 因為在體外實驗中給模型細胞添加O以阻抑微管的解聚時,則染色體向兩極移動過程停止,反之,如果添加少量秋水仙素以促使微管解聚速度加快,則染色體向兩極移動速度也加快。有些細胞在分裂後期兩極分開更遠可能是由下述機製造成的:來自兩極的極微管在赤道區互相重疊,微管蛋白在它們的自由末端聚合而使微管加長。這些重疊的來自兩極的微管互相滑動,使兩極推開更遠。
意義
有絲分裂的重要意義,是將親代細胞的染色體經過複製(實質為DNA的複製)以後,精確地平均分配到兩個子細胞中去。由於染色體上有遺傳物質DNA,因而在生物的親代和子代之間保持了遺傳性狀的穩定性。可見,細胞的有絲分裂對於生物的遺傳有重要意義。
實驗步驟
實驗目標
1、初步掌握製作根尖細胞有絲分裂裝片的技術。
2、觀察植物細胞有絲分裂的過程,識別分裂的不同時期。
3、初步掌握繪製生物圖的方法。
實驗原理
細胞的有絲分裂是一個連續動態的變化過程,但可以通過它的形態變化,特別是細胞核中的染色體行為,人為地劃分階段,並進行比較研究。在自然狀態下,一大群處於各個分裂期的細胞混雜在一起。必須仔細觀察,尋找有絲分裂過程各期典型形態特徵的細胞,從而建立起細胞周期的概念。
植物的分生組織(如根尖分生區、莖尖生長點等)細胞,能夠通過有絲分裂增加其數目。依據植物細胞分裂周期中各個時期細胞中染色質或染色體的形態、數目、位置變化,確定該細胞所處的時期。為了看清染色體或染色質,要用鹼性染料將其染色。
實驗材料
蠶豆、蒜和蔥的根尖。
試劑儀器
洋蔥鱗莖,鑷子,刀片,培養皿,載玻片,蓋玻片,滴管,紗布,吸水紙,酒精燈,顯微鏡;固定液,15%鹽酸,醋酸洋紅染液,95%乙醇。
方法步驟
1、洋蔥根尖的培養
(1)培養洋蔥生根時,避免用新採收的洋蔥,因它尚在休眠不易生根。如果必須用當年剛採收的新洋蔥培養生根,則應設法打破它的休眠。常用的方法是用低濃度的赤黴素溶液浸泡洋蔥底盤,這樣可以促使其生根。培養過程中,注意每天至少換水一次,以防爛根。
(2)對於頭年收下的洋蔥,可以採用如下方法促使它生根:
①選擇底盤大的洋蔥作生根材料。
②剝去外層老皮,用刀削去老根(從底盤中央向四周削),注意不要削掉四周的“根芽”。
③用燒杯裝滿清水,放上洋蔥,放置在光照處。水要保持清潔,注意每天換水l~2次。一般2~3d即可獲得實驗所需材料(根長5cm)。
(3)固定時間取材。洋蔥根尖細胞有絲分裂的時間是有規律的。通常在每天上午10時至下午2時分裂活躍,尤其以下午2時最活躍,可在這時取材。可以把培養好的洋蔥根用卡洛氏固定液固定起來備用。因為培養一次洋蔥根不容易。
2、解離。用刀片切下長約2~3mm的根尖,放入盛有15%鹽酸和體積分數為95%的酒精溶液的混合液(1︰1)的培養皿中,解離3~5min,使根尖組織的細胞相互分開,待根尖透明酥軟即停止解離。如果要使解離加快,可以把培養皿放在酒精燈上微微加熱(不可煮沸)3~5
min。待根酥軟後,用鑷子取出。
解離充分是實驗成功的必備條件;解離的目的是用藥液溶解細胞間質,使組織細胞相互分離開。
3、漂洗。把取出的根尖放入清水漂洗約10min,也可以在培養皿口上蒙上—層紗布,用自來水細小的水流漂洗3~5min。
漂洗的目的是洗去根中多餘的解離液。如果不把多餘的解離液洗去,一方面會影響染色效果,因為解離液中含有HCl溶液,而用來染色的染料呈鹼性;另一方面還會腐蝕顯微鏡的鏡頭。
4、染色。把漂洗好的根尖置於載玻片上,用鑷子頭截下長約3mm的根尖,其餘部分丟棄,在根尖上滴一滴醋酸洋紅染液染色3~5min,如果要使染色加快,可把載玻片在酒精燈的火焰上快速過幾下(不可煮沸)。
5、裝片。在染好色的材料上蓋上蓋玻片,上面再覆一片載玻片,用拇指輕輕壓一下,使根尖組織成為均勻薄層的細胞層。
6、鏡檢
(1)低倍鏡觀察
把製成的洋蔥根尖裝片先放在低倍鏡下觀察,慢慢移動裝片,找到分生區細胞,其特點是:細胞呈正方形,排列緊密,有的細胞正在分裂。
(2)高倍鏡觀察
找到分生區細胞後,把低倍鏡移走,換上高倍鏡,用細準焦螺鏇和反光鏡把視野調整清晰,直到看清細胞物像為止。
(3)仔細觀察
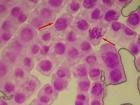
仔細觀察的目的是區分細胞分裂中各個時期內染色體變化的特點。可先找出處於細胞分裂中期的細胞,然後再找出前期、後期、末期的細胞,處於間期的細胞數目最多,最容易找到。
(4)在一個視野里,往往不容易找全有絲分裂過程中各個時期的細胞。如果是這樣,可以慢慢地移動裝片,從鄰近的分生區細胞中尋找。
7、繪圖。在仔細觀察清楚有絲分裂各個時期的細胞的以後,繪出洋蔥根尖細胞有絲分裂的簡圖。
注意事項
1、培養產生洋蔥根尖的材料是洋蔥鱗莖。鱗莖底部接觸水,不能離開水,也不能被水淹。其目的是同時滿足其對水和空氣的需要。同時要經常換水,因為水中由於微生物的活動和根細胞的活動,代謝產物增多;此外,還由於根細胞的呼吸不斷產生CO2,使水中H2CO3增多,氧氣缺少;微生物,如細菌的大量繁殖也使水質受到污染,這些都不利於根尖生長,所以要經常換水。—般一天至少一次,還要提供適宜的溫度。
2、剪取洋蔥根尖材料時,應該在洋蔥一天之中分裂最活躍的時間,一般在上午11點左右。如果因氣溫影響或不在—上述時間做實驗的話,可以在細胞有絲分裂最盛時取材,放人盛有固定液的培養皿中固定,即浸泡半天到一天。固定後用75%乙醇沖洗幾次,再放入盛有70%乙醇的小廣口瓶中保存。注意要等根尖長到l~5cm時才能切取,而切取的洋蔥根尖長度是2~3mm。根據實驗得知,根長到1~5cm時,根的長勢最佳,此時細胞分裂最旺盛,容易找到不同時期的分裂圖象。此時可取生長健壯的根進行觀察,切取洋蔥根尖2~3mm,這個長度要從根的頂端(根冠)開始算起,這個長度已將分生區包括了進來。若取材過長,在低倍鏡下尋找分生區就會很困難。
3、根尖培養好以後,裝片製作是否成功,關鍵的步驟是解離。15%的鹽酸溶液能溶解細胞壁之間的中層物質(胞間質),使組織中的細胞相互分開。否則,在顯微鏡下觀察時,細胞將發生重疊現象,導致實驗失敗。解離不充分,細胞重疊;解離過度,細胞會腐爛,所以解離要適度。為達到這一目的,配製的鹽酸濃度要適宜,切取的根尖應立即放入15%的鹽酸中,在室溫下解離10~15min。解離時間要視室內溫度而定,溫度低,時間稍長,溫度高,時間短。也可手拿鑷子,輕輕按正在解離的根尖,感覺酥軟即可。
4、漂洗的目的是洗去根中多餘的解離液。如果不把多餘的解離液洗去,一方面會影響染色效果,因為解離液中含HCl,而用染色的染料呈鹼性;另一方面還會腐蝕顯微鏡的鏡頭。
5、染色時,染色液的濃度和染色時間必須掌握好。特別是染色不能過深,否則鏡下一片紫色,無法觀察。也不能過淺,否則染色質和染色體的形態和數目不易辨清。
6、製片時,一方面要用鑷子把洋蔥根尖弄碎,另一方面要壓片,這樣可以使細胞分散開來。壓片時,在蓋玻片上再加一片載玻片的目的,一是避免壓碎和移動蓋玻片。二是使壓力大小適中,從而使組織細胞均勻分散。同時用力必須恰當,過重時會將組織壓爛,過輕則細胞未分散開,二者都將影響觀察。
7、結果與討論
在顯微鏡的一個視野中看到的細胞,多數處於細胞有絲分裂的間期,因為在一個細胞周期中,間期所占的時間占整個細胞周期的90%一95%,時間與細胞數目成正比。另外,在一個視野中,往往不容易找全有絲分裂過程中各個時期的細胞,可以慢慢地移動裝片,從鄰近的分生區細胞中尋找。
細胞生活學相關知識
| 細胞生物學(cell biology)是研究細胞結構、功能及生活史的一門科學。細胞生物學由Cytology發展而來,Cytology是關於細胞結構與功能(特別是染色體)的研究。細胞生物學是以細胞為研究對象,從細胞的整體水平、亞顯微水平、分子水平等三個層次,以動態的觀點,研究細胞和細胞器的結構和功能、細胞的生活史和各種生命活動規律的學科。 |

