病因及常見疾病
1963年報導一例19歲病人,雙側附睪乳頭狀囊腺瘤同時伴有小腦血管母細胞瘤,在隨後的文獻中,發現無論是單側還是雙側的附睪乳頭狀囊腺瘤,與von Hippel-Lindau病有關。小腦血管母細胞瘤是其中一種表現,其他病症還有視網膜血管瘤,脊髓血管瘤,皮膚、肺、胰腺和腎等臟器囊腫、腎細胞癌。現如今認為附睪乳頭狀囊腺瘤有家族性。有些附睪乳頭狀囊腺瘤的病人,臨床上沒有von Hippel-Lindau病的其他表現,但是,臨床要密切隨訪,以便及早發現von Hippel-Lindau病的其他病變。單側附睪乳頭狀囊腺瘤的病人比雙側附睪乳頭狀囊腺瘤的病人伴發von Hippel-Lindau病的要少。
附睪頭囊腺瘤多發生在附睪頭部,亦有發生在精索和睪丸的報導。40%為雙側性。平均年齡36歲。臨床上表現為無痛性腫塊,往往在體檢時發現。病程進展緩慢。65%的雙側病人和18%的非雙側病人合併von Hippel-Lindau綜合徵。
鑑別診斷
主要與畸胎瘤、腺瘤樣瘤和轉移的腎細胞癌相鑑別。其來源有不同說法,大多數學者認為是從附睪輸出管來的,因為電鏡觀察腫瘤細胞游離緣有短而不規則的微絨毛突向腔內,與正常輸出管上皮相似。
①畸胎瘤:乳頭狀囊腺瘤的間質有時可見少量平滑肌束,而與囊性畸胎瘤混淆。但囊性畸胎瘤的壁為鱗狀上皮,可能見到多個胚層成分。
②腺瘤樣瘤:腫瘤體積一般較本瘤小。腺腔為小管狀,一般無囊腔,也無乳頭狀突起。被覆的上皮細胞一般也不呈高柱狀。
③腎透明細胞癌轉移:間質血管豐富,很少形成緻密的纖維間質。透明細胞胞膜較清楚,臨床上主要表現為無痛性血尿。
檢查
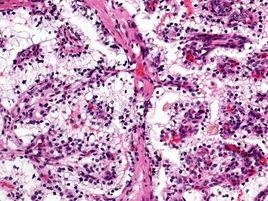
肉眼所見:多位於附睪頭部,直徑1~6cm。境界清楚,部分有包膜,切面呈囊性。囊壁有實性的乳頭狀突起,囊內有液體。亦有的切面呈多囊海綿狀。
鏡下聽見:腫瘤有三種基本結構:
①擴張的導管和小囊腫,囊壁由纖維結締組織構成,被覆扁平上皮或者低立方上皮。腔內可見少量嗜酸性物質,PAS染色陽性。②有較多乳頭形成突入囊腔,乳頭以纖維血管間質為軸心,單層或雙層的立方形和柱狀上皮被覆,表面有纖毛或嗜酸性小滴突入囊腔。瘤細胞胞漿淡嗜酸性或透明、胞界清楚。組織化學證明含有糖原或類脂,無黏液。核無異形性,③緻密的纖維性間質,可伴玻璃樣變性。另外,囊壁間質中可見慢性炎細胞。
免疫組化:瘤細胞表達低和中分子量Keratin,EMA、vimentin,AAT,AACT和S-100,而CEA是陰性的。這與腎透明細胞癌的特點相似。因為本瘤與腎細胞癌同是vonHippel-Lindau綜合徵的組成部分,所以,應注意鑑別腎透明細胞癌的轉移。
治療原則
文獻報導採用單純手術治療,尚未見復發及轉移。

